非抜歯治療の強い味方!奥歯を後ろに下げる矯正器具(大臼歯遠心移動装置)の治療について

でこぼこ歯並び・出っ歯を改善 | 大臼歯遠心移動装置とは、奥歯を後ろに下げる矯正装置です。これを使って、歯に隙間をつくることで、抜歯をせずに矯正治療を行った治療例をご紹介。抜歯をせずに、歯並びを改善したい方におすすめの治療方法です。

記事提供

目次

  1. 奥歯を後ろに下げる矯正器具「大臼歯遠心移動装置」の基礎知識
  2. 【症例1】30代女性 - 上顎の歯を移動する装置(透明の上顎用の大臼歯遠心移動装置)を使用した場合
  3. 【症例1】症例写真ごとの治療の経過
  4. 【症例2】30代男性 - 大臼歯遠心移動装置で犬歯から臼歯を後方へ移動させながら、上顎前歯にブラケットを付けて正中離開(隙っ歯)を閉鎖した場合
  5. 【症例2】症例写真ごとの治療の経過
  6. 【症例3】20代女性 - 歯を後方移動させてからマウスピース矯正に移行した場合(矯正用インプラント使用)
  7. 【症例3】症例写真ごとの治療の経過

奥歯を後ろに下げる矯正器具「大臼歯遠心移動装置」の基礎知識

大臼歯遠心移動装置を用いて、歯並びを治療した症例について解説します。

※治療結果は患者様によって個人差がございます。

【症例1】30代女性 - 上顎の歯を移動する装置(透明の上顎用の大臼歯遠心移動装置)を使用した場合

透明なタイプの大臼歯遠心移動装置が登場したことで、目立たない矯正装置をご希望される人にとって治療の選択肢が増えました。

症例1の患者様の場合、前歯部の叢生(そうせい・歯のでこぼこ)がほどけて、犬歯から臼歯が後ろに下がり矢印部分に隙間ができています。
この隙間を利用して前歯のでこぼこをきれいに並べます。

主訴
・上顎前突
・下顎前歯のでこぼこ
治療期間: 治療中
抜歯の有無:なし

【症例1】症例写真ごとの治療の経過

【症例1】30代女性

治療前:上顎前歯の捻転(歯のねじれ)があります。
治療中:下顎の大臼歯遠心移動装置の透明タイプを上顎にセットし、上顎の歯列を引っ込めています。

【症例2】30代男性 - 大臼歯遠心移動装置で犬歯から臼歯を後方へ移動させながら、上顎前歯にブラケットを付けて正中離開(隙っ歯)を閉鎖した場合

主訴:上顎前歯の隙間が気になる
治療期間: 治療中
抜歯の有無:なし

【症例2】症例写真ごとの治療の経過

【症例2】30代男性

治療前:上顎前歯に正中離開があります。また上顎前突の傾向があるので、上顎の歯列全体を下げながら正中離開を改善する治療計画を立てました。
治療中:透明タイプの大臼歯遠心移動装置を使用しながら、上顎前歯2本にブラケットをつけています。

【症例3】20代女性 - 歯を後方移動させてからマウスピース矯正に移行した場合(矯正用インプラント使用)

歯の移動をより確実にするために、矯正用インプラントも使用しています。

主訴
・前歯の突出が気になる
・歯並びのでこぼこも改善したい
治療期間:治療中
抜歯の有無:左下顎の親知らずを抜歯

【症例3】症例写真ごとの治療の経過

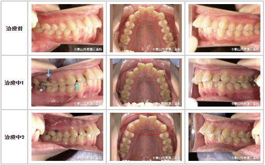
【症例3】20代女性

治療前:左側は大臼歯遠心移動装置からマウスピースに顎間ゴムをかけます。
右側は歯の動きをより確実にするため、大臼歯遠心移動装置から矯正用インプラントに顎間ゴムをかけることにしました。
治療中1:大臼歯遠心移動装置を効果的に使う事で、前歯部全体的に歯間に隙間が広がってきました。
治療中2:前歯部全体に隙間が広がってきました。

あわせて読みたい記事

メディア運用会社について

メディカルネット

株式会社メディカルネット(東証グロース上場)は、より良い歯科医療環境の実現を目指し、インターネットを活用したサービスの提供にとどまらず、歯科医療を取り巻く全ての需要に対して課題解決を行っています。

当サイト「矯正歯科ネット」を通して生活者に有益な医療情報を歯科治療の「理解」と「普及」をテーマに、自分に最適な歯科医院についての情報や、歯の基礎知識、矯正歯科などの専門治療の説明など、生活者にとって有益な情報の提供を目指しています。

矯正歯科歯科医院を探すなら「矯正歯科ネット」

矯正歯科治療を行なっている歯科医院を、全国から簡単に検索できます。お近くの矯正歯科歯科医院をお探しの場合にもぜひご活用ください。