開咬(オープンバイト)

開咬の特徴と症例写真をご紹介します

記事提供

目次

  1. 開咬 [かいこう] とは
  2. 奥歯をかみしめても、前歯の上下の歯に隙間があいている症状
  3. 開咬の症例写真
  4. CASE1:小児(お子様)の症例
  5. CASE2:成人(永久歯が生えそろった方)の症例

開咬 [かいこう] とは

奥歯をかみしめても、前歯の上下の歯に隙間があいている症状

開咬[かいこう]は、あごを閉じて咬み合わせても、上下の歯にすき間ができて、咬み合わない状態のことをいいます (別名:オープンバイト - open bite -)。通常、開咬は前歯に多くみられますが、横側の側方歯にもみられる場合があります。

開咬の主な原因には、「(1)遺伝的なケース」や、「(2)指しゃぶりや舌を出す癖、舌を噛む癖などの習癖によって上下の歯の隙間が押し広げられてしまうケース」などがあります。

主な治療方法は、年齢は症状によって個人差はありますが、舌や唇の癖がないかを確認したあと、舌を抑える柵のような装置「タンクガード」の装着したり、MFT(筋機能トレーニング)を行って、舌の正しい位置や正しい使い方を習得したりして、開咬の原因となる癖を是正をしながら、矯正治療を行います。

開咬の症例写真

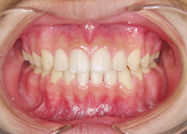
CASE1:小児(お子様)の症例

<治療前>奥歯は咬んでも前歯が咬みません

<治療後>前歯がしっかり咬みあいました

治療前

治療後

治療前

CASE1:小児(お子様)の症例治療前

治療後

CASE1:小児(お子様)の症例治療後

CASE2:成人(永久歯が生えそろった方)の症例

<治療前>前歯から犬歯まで隙間があります

<治療後>上下の隙間が改善されました

治療前

CASE2:成人(永久歯が生えそろった方)の症例治療前

治療後

CASE2:成人(永久歯が生えそろった方)の症例治療後

治療前

CASE2:成人(永久歯が生えそろった方)の症例治療前

治療後

CASE2:成人(永久歯が生えそろった方)の症例治療後

あわせて読みたい記事

メディア運用会社について

メディカルネット

株式会社メディカルネット(東証グロース上場)は、より良い歯科医療環境の実現を目指し、インターネットを活用したサービスの提供にとどまらず、歯科医療を取り巻く全ての需要に対して課題解決を行っています。

当サイト「矯正歯科ネット」を通して生活者に有益な医療情報を歯科治療の「理解」と「普及」をテーマに、自分に最適な歯科医院についての情報や、歯の基礎知識、矯正歯科などの専門治療の説明など、生活者にとって有益な情報の提供を目指しています。

矯正歯科歯科医院を探すなら「矯正歯科ネット」

矯正歯科治療を行なっている歯科医院を、全国から簡単に検索できます。お近くの矯正歯科歯科医院をお探しの場合にもぜひご活用ください。