スピード矯正 ... 外科処置を併用して治療期間を短縮する治療

スピード矯正は、矯正治療と、コルチコトミーやオステオトミーなどの外科処置を併用して矯正期間を短縮する方法です。

記事提供

目次

  1. スピード矯正(コルチコトミー手術と矯正治療の併用)とは?
  2. 簡単な外科処置を併用して治療期間を短縮させる矯正治療法です。
  3. コルチコトミー、オステオトミー併用矯正とは?
  4. どのような治療法?
  5. 痛みや腫れは?
  6. スピード矯正 症例紹介
  7. <症例1>  37歳 男性 治療期間:6ヶ月
  8. <症例 2>  27歳 女性 治療期間:8ヶ月
  9. <症例 3> スピード矯正体験談
  10. 治療のきっかけ
  11. 治療開始~外科処置
  12. 治療終了

スピード矯正(コルチコトミー手術と矯正治療の併用)とは?

簡単な外科処置を併用して治療期間を短縮させる矯正治療法です。

治療期間が長くなるからという理由で、矯正治療を断念される方も少なくありません。
スピード矯正とは、その名の通り、通常より短期間で終了する矯正治療です。その技術の中心となるのが、「コルチコトミー」、「オステオトミー」または「歯槽骨皮質骨切除術」という簡単な外科処置です。歯並びや歯、歯ぐきの状態は十人十色で異なり、矯正治療期間は様々ですが、一人ひとりの歯並びに応じた最新の技術を組み合わせる事によって、多くの患者様が1年以内に治療を終了しています。

コルチコトミー、オステオトミー併用矯正とは?

どのような治療法?

コルチコトミー、オステオトミー併用矯正とは、簡単に言うと、歯を支える骨(歯槽骨)に切れ目を入れることです。その骨の部位により名称(コルチコトミー、オステオトミー)が異なります。歯を支える骨に切れ目を入れることにより、歯が動きやすい環境をつくり、矯正装置を装着する期間を通常の1/3?1/2に短縮することが可能となりました(個人差はあります)。多くは1年程度、症例によってはわずか3、4ヶ月で矯正治療を終了できる場合もあります。なお、骨に切り込みを入れるため、成人が対象です。

コルチコトミー、オステオトミー併用矯正は、矯正治療期間が短縮されるだけでなく、歯にかかる負担を減らせることや、後戻りしにくいなどのメリットがあります。外科処置を併用するこれらの治療法を行うには、歯科矯正学だけでなく、解剖学、口腔外科学、歯周病学など多岐にわたる知識・技術を必要です。コルチコトミー(オステオトミー)併用矯正を行える歯科医はまだ限られるかもしれませんが、納得できる治療のために、信頼できる医院を探していただきたいと思います。

痛みや腫れは?

「歯を支える骨(歯槽骨)に切れ目を入れる処置」とご説明すると恐ろしく感じますが、実際の外科処置は、局所麻酔(無痛注射で痛みを感じません)で通常30~40分で終わります。腫れも残らない程度の処置を行う症例がほとんどです。
大掛かりな症例でも、2、3時間程度の簡単な手術(もちろん入院の必要はありません)で、親知らずを抜いた程度の痛みや腫れが2、3日あるといったものです(個人差はあります)。また、矯正治療後には、切れ目を入れた骨はしっかり固まり、以前より強固な骨とになることができます。

スピード矯正 症例紹介

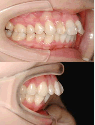
<症例1>  37歳 男性 治療期間:6ヶ月



■治療内容
矯正治療終了と同時にホワイトニング、審美治療(補綴)を行いました。


治療前

<症例1>  37歳 男性 治療期間:6ヶ月治療前

治療後

<症例1>  37歳 男性 治療期間:6ヶ月治療後

<症例 2>  27歳 女性 治療期間:8ヶ月

■治療内容
結婚式直前に矯正治療を行いました。

治療前

<症例 2>  27歳 女性 治療期間:8ヶ月治療前

治療後

<症例 2>  27歳 女性 治療期間:8ヶ月治療後

<症例 3> スピード矯正体験談

H・Iさん 22歳女性 (治療期間:12ヶ月/主訴:出っ歯、すきっ歯)

子供のころから出っ歯とすきっ歯に悩んでいたH・Iさん。従来の矯正治療法では、矯正装置をはずすまでに約3年かかる症例ですが、コルチコトミーと矯正治療を併用する治療方法によって、治療を開始してから1年で歯並びは改善されて、矯正装置をはずすことができました。

治療前

<症例 3> スピード矯正体験談治療前

治療後

<症例 3> スピード矯正体験談治療後

治療のきっかけ

人と話したり写真を撮る時など、上の前歯が出ていて“すきっ歯”になっているのが、子供のころから気になっていました。噛み合わせも悪く、奥歯の一部しか噛み合わないためあごにも違和感があり…時々痛くて悩んでいました。
矯正治療には前から興味があり、一度、診察にいって検査もしましたが、当時は「3年くらいはかかる」とのことで断念しましたが、その後、スピード矯正を知りました。私の症例でも「あごの位置を少しずつ安定させながら、短期間で治療ができる」と聞き、スピード矯正をすることにしました。

治療開始~外科処置

まず初めに、矯正装置を歯に装着した時は違和感があり、2、3日噛むと痛みがありましたが、しだいになくなってきました。違和感に慣れてくる頃には自分の歯が綺麗になっていくのがよく分かり、嬉しくなりました。
次に、スピード矯正ということで、簡単な外科手術をすることになりました。手術前は少し不安がありましたが、手術時間は15分ほどで終わりました。腫れもなく、痛みは手術直後に少しだけしみた程度でした。

治療終了

矯正装置を装着してから、1年という短い期間で装置をはずすことができました。
歯並びが綺麗になったのはもちろん、あごの痛みもなくなり良く噛めるようになり、矯正をやってよかったと心の底から思います。

あわせて読みたい記事

メディア運用会社について

メディカルネット

株式会社メディカルネット(東証グロース上場)は、より良い歯科医療環境の実現を目指し、インターネットを活用したサービスの提供にとどまらず、歯科医療を取り巻く全ての需要に対して課題解決を行っています。

当サイト「矯正歯科ネット」を通して生活者に有益な医療情報を歯科治療の「理解」と「普及」をテーマに、自分に最適な歯科医院についての情報や、歯の基礎知識、矯正歯科などの専門治療の説明など、生活者にとって有益な情報の提供を目指しています。

矯正歯科歯科医院を探すなら「矯正歯科ネット」

矯正歯科治療を行なっている歯科医院を、全国から簡単に検索できます。お近くの矯正歯科歯科医院をお探しの場合にもぜひご活用ください。