矯正期間が1年以内で終了した3症例(隙っ歯、すれ違い咬合)

矯正期間が1年以内で終了した症例

1年以内で矯正期間が終わった歯列矯正の例。ワイヤーとブラケットの間の摩擦が軽減されて、効率的に歯が動きやすくなったセルフライゲーションブラケットを使用して、隙っ歯や、すれ違い咬合を改善した例を写真で紹介します。

記事提供

目次

  1. <症例1> 15歳 男性  治療期間:4ヵ月
  2. <症例2> 24歳 女性  治療期間:8ヵ月
  3. <症例3> 31歳 男性  治療期間:8ヵ月

<症例1> 15歳 男性  治療期間:4ヵ月

治療内容:上顎のみの矯正希望
隙っ歯(空隙歯列)が気になって、上顎のみ矯正治療を希望した15歳の男性の治療例。
金属製のセルフライゲーションブラケットを使用して、4ヵ月でキレイになりました。


※治療効果は、患者様によって個人差があります。

治療前

隙っぱ治療後(正面)治療前

治療中

隙っぱ治療後(正面)治療中

治療後

隙っぱ治療後(正面)治療後

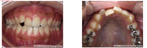
<症例2> 24歳 女性  治療期間:8ヵ月

■治療内容:上下の矯正希望
上下のかみ合わせが左右でクロスしているすれ違い咬合(交叉咬合)を治療した24歳の女性の治療例。
上側は目立たないクリアタイプのセルフライゲーションブラケットを使用し、見えにくい下顎は金属製のブラケットを使用しました。

8か月後、キレイに歯が並んだあとはプレートタイプのリテーナー(左図)で歯並びを保定させます。

※治療効果は、患者様によって個人差があります。

治療前

すれちがい咬合治療後(正面)治療前

治療中

すれちがい咬合治療後(正面)治療中

治療後

すれちがい咬合治療後(正面)治療後

<症例3> 31歳 男性  治療期間:8ヵ月

■治療内容:上顎のみの矯正希望
前歯の隙間が気になって、上顎のみ矯正治療を希望した31歳の男性の治療例。
目立たないクリアタイプのセルフライゲーションブラケットを使用して、8ヵ月でキレイになりました。治療後は、プレートタイプのリテーナーを一定期間装着して、後戻りを防ぎます。


※治療効果は、患者様によって個人差があります

治療前

隙っぱ治療後(正面)治療前

治療中

隙っぱ治療後(正面)治療中

治療後

隙っぱ治療後(正面)治療後

あわせて読みたい記事

メディア運用会社について

メディカルネット

株式会社メディカルネット(東証グロース上場)は、より良い歯科医療環境の実現を目指し、インターネットを活用したサービスの提供にとどまらず、歯科医療を取り巻く全ての需要に対して課題解決を行っています。

当サイト「矯正歯科ネット」を通して生活者に有益な医療情報を歯科治療の「理解」と「普及」をテーマに、自分に最適な歯科医院についての情報や、歯の基礎知識、矯正歯科などの専門治療の説明など、生活者にとって有益な情報の提供を目指しています。

矯正歯科歯科医院を探すなら「矯正歯科ネット」

矯正歯科治療を行なっている歯科医院を、全国から簡単に検索できます。お近くの矯正歯科歯科医院をお探しの場合にもぜひご活用ください。