青山アール矯正歯科 大阪 医院HP
大阪府大阪市浪速区幸町1-3-19 昭和綜合管理本社ビル 3階![]()
当院の矯正治療の特長について
マウスピース型矯正装置に特化した歯科クリニック

当院はマウスピース型矯正装置に特化した歯科クリニックです。
マウスピースの臨床経験として、3,965件(2006年〜2023年10月25日時点の実績)を積み重ねてきました。
重度と判断されるような不正咬合でもマウスピースで治療を受けていただける場合があります。まずはご相談ください。
マウスピース型矯正装置は、ワイヤーを使用しないため目立ちにくく、比較的周りからきがつかれにくい矯正装置です。
さらに、ワイヤーを使用した矯正治療に比べて、通院回数を抑えることも可能です。
治療期間中でも食事の際は取り外すことができ、会話への影響も出にくい特徴があります。
歯の移動に過度の力をかけないので、比較的痛みを抑えた治療にも繋がり、3Dのシュミレーションで最終の歯並びも確認することができます。
矯正費用はトータルフィーシステムを採用

当院での矯正費用は、治療開始前にご提示し、トータルフィーシステム(定額制)を採用しています。
処置内容の変更や毎回の診察の費用も全て含まれているため、治療中の通院による追加の費用は発生しません。
治療計画の変更がない限り、治療開始前に明示した費用と変わりませんので、お気兼ねなく治療に専念していただければと思います。
東京院・大阪院どちらも受診可能

青山アール矯正歯科は東京と大阪にクリニックがあり、矯正治療中はどちらのクリニックにも通院可能です。
追加費用などもなく通院できるため、就職や結婚などの転居も気にすることなく矯正治療を続けていただけると思います。
※オンライン診療に関しては、基本的には契約した医院で経過観察ができます
チーム体制の診療・各分野の歯科医院との連携

患者様一人ひとりに対して、複数の歯科医師がチームを組み、適切な矯正治療の相談、治療計画の立案を行います。
当院と同ビル内にある一般歯科治療に対応している歯科医院とも連携することで、虫歯治療や歯周病治療も受けていただけます。
マウスピースによる矯正治療について

マウスピース矯正は、透明なマウスピース型の矯正装置を歯に装着することで、歯並びを改善する矯正治療の方法です。
透明なので目立ちにくい
マウスピース矯正は透明なプラスチック製の装置を使用します。
そのため、目立ちにくい状態で矯正治療を受けていただくことができます。
また、装置自体が薄く、なめらかな素材でできているので、装着時の違和感も抑えられ、話しにくさの軽減にも繋がります。
痛みが抑えられやすい
治療において過度な力をかけずに歯を動かしていくので、比較的痛みを抑えて治療が受けられるとされています。
また、矯正装置にワイヤーやブラケットという、突起物になるような部分がないので、歯肉に刺さって痛みを感じたり、傷ができてしまい口内炎ができるということが抑えられます。
取り外しができて衛生的に保ちやすい
装置を自分で取り外しできるので、治療前と同様に歯磨きを行えます。
それによって、矯正装置が邪魔で歯が磨きにくかったり、プラークが矯正装置に沈着してしまうということを抑えることができます。
また、装置自体も歯ブラシで簡単にお手入れができ、お口の中の環境を衛生的に保ちやすいです。
食べたいものが食べられる
ワイヤーやブラケットを使用した矯正装置では、繊維の多い葉物や、粘着性のある食べ物は、矯正装置に絡まったり、くっついてしまうため、控えた方が良い場合がありました。
マウスピース矯正では、食事のときなどに装置を取り外すことができるので、治療開始前と同じように食事を楽しむことができます。
金属アレルギーでも治療を受けやすい
マウスピース矯正装置の素材はプラスチック製です。
金属アレルギーの原因となる、金属のパーツがないため、今まで金属アレルギーが原因で治療を断念してきたという患者様でも矯正治療を受けられる場合があります。
通院回数が抑えられる
矯正用のマウスピースは1〜2週間ごとに新しいものに交換していきますが、自分で交換ができるので、装置を交換する度に歯科医院へ通う必要がありません。
治療状況を確認するため、定期的に通院する必要はありますが、当院の場合1.5〜3ヶ月ごとの通院となりますので、頻繁な通院を必要とせず、お仕事などで忙しい方や、遠方の方でも通院による負担を抑えられます。
光学3Dカメラによる型どりシステム

従来のシリコン材料を使用した型取りでは、シリコン材料が喉へと流れ込んでしまい、嘔吐反射が起こる場合がありました。
しかし、3D光学印象では嘔吐反射が起こりにくく型取りを行えます。
また、型取りしたデータの変形などもなく、細かい部分まで型取りしたデータを取得可能です。
矯正治療の流れ
-
初診相談

患者様のお口の悩みをお伺いし、口腔内写真や顔貌を撮影して必要な処置や治療期間、費用などをご説明します。
治療をお急ぎの方は、初診相談と同日に精密検査を受けることも可能です。
ご予約の際に、ご相談と精密検査を同日に希望されていることをお伝えください。 -
精密検査

マウスピース矯正の診断に必要なレントゲン写真、歯の型どり(3D光学印象)、虫歯・歯周病のチェックを行います。
虫歯などが見つかった場合は、同ビル内にある、一般的な歯科治療を行っている歯科医院をご紹介することも可能です。 -
コンサルテーション

診断結果や治療計画、治療期間のついて3Dシュミレーションを見ながらご説明します。
ご希望の治療計画についてご相談させていただきます。
※治療計画は、専用ソフトなどを使い、精密検査の検査の結果を元に診断して立案します。
当院では、東京院と大阪院の両院でインターネットを通じ、シミュレーション会議を行っています。 -
お支払い
治療費についても丁寧にご説明させていただきます。
コンサルテーションの結果で納得いただけましたら、支払いの手続きをします。【お支払い方法】
・銀行振り込み
・クレジットカード(受付での決済)
・デンタルローン(利息付の分割払い) -
マウスピース型矯正装置の作製

シュミレーションのデータを元に、米国の製造元に矯正装置の作成を発注します。
矯正装置が到着するまで約3〜4週間ほどを要します。 -
マウスピース矯正がスタート

最初のマウスピース型矯正装置を装着して、マウスピースの取り外しの練習や注意事項などを説明します。
マウスピースは1日22時間以上装着し、通院頻度は1〜3ヶ月に1回、約30〜60分ほどで、毎回の診察時に追加費用はかかりません。 -
治療終了・保定

歯科医師が仕上がりを確認し、患者様と相談して問題がなければ歯を動かす期間は終了です。
そして、歯の後戻りを防ぐマウスピース(リテーナー)を装着します。これを「保定」といいます。
通院期間は2年で定期的なチェックを行います。
※治療結果は個人差があります。
治療症例
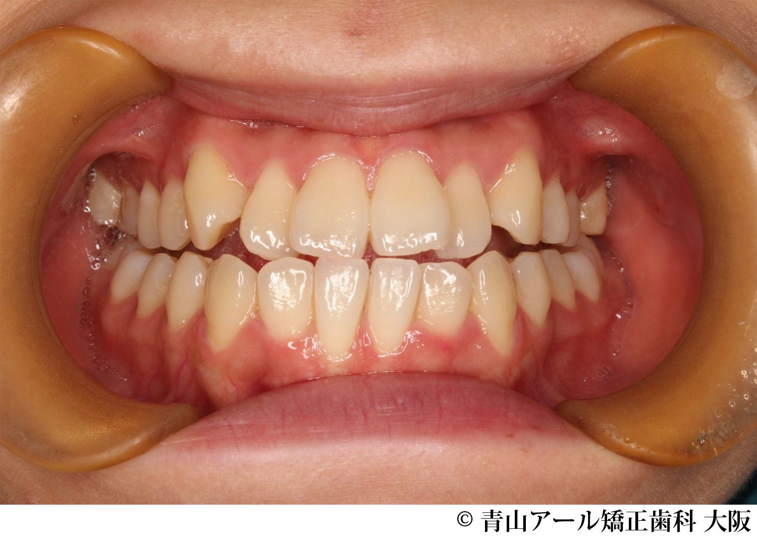
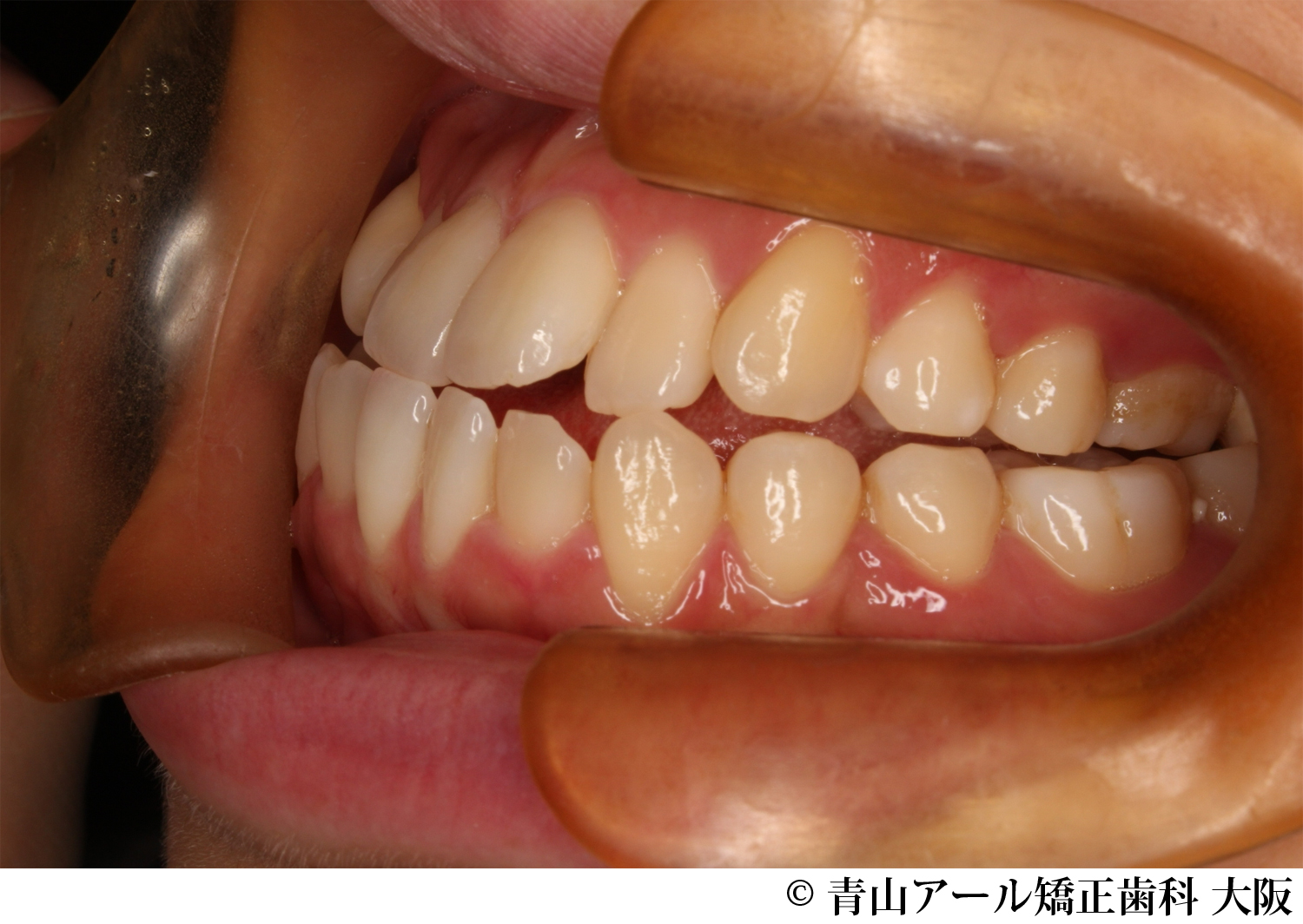
【症例1】上の前歯が下の前歯より1cm前に出ている上顎前突・上の前歯と下の前歯が5mm以上重なっている過蓋咬合 非抜歯で治療を行った症例
- 治療前
- 治療後
- 治療名
- 上の前歯が下の前歯より1cm前に出ている上顎前突・上の前歯と下の前歯が5mm以上重なっている過蓋咬合 非抜歯で治療を行った症例
- 費用
- 990,000円(税込)
- 期間
- 2年(24ヶ月)
- 通院頻度・回数
- 2.5ヶ月ごと
- 患者様
- 20代 男性
治療内容
-
患者様の症状
-
口元の突出感を気にさせており、非抜歯での矯正治療を希望されて来院されました。
-
治療法
-
抜歯をせずにマウスピース矯正装置を使用して、上の前歯の突出を改善しました。
噛み合わせも深いので、下の前歯で上顎の歯茎を噛まなくなるように改善しました。 -
治療結果
-
非抜歯で上の前歯を後ろに下げた。
また、上の前歯と下の前歯の重なりも標準的な重なりになり、口元の突出感も改善した。
審美面、機能面において良好な結果になった。
※治療結果は個人差があります。
治療を行う上での 注意点 (リスク・副作用)
矯正治療による歯の移動に伴う、歯根吸収、虫歯
【症例2】前歯のガタガタの症状が重い叢生 抜歯治療
- 治療前
- 治療後
- 治療名
- 前歯のガタガタの症状が重い叢生 抜歯治療
- 費用
- 1,100,000円(税込)
- 期間
- 2年6ヶ月(30ヶ月)
- 通院頻度・回数
- 1〜2ヶ月に1回
治療内容
-
患者様の症状
-
上顎の左右犬歯が歯列から外にはみ出た八重歯と、全体的な叢生を気にされてご来院されました。
-
治療法
-
上顎の小臼歯2本を抜歯した後、マウスピース矯正装置を使用して主訴である叢生の改善を行いました。
-
治療結果
-
上顎の小臼歯2本のみ抜歯して、上下の叢生を改善した。
審美的、機能面において良好な結果が得られた。
※治療結果は個人差があります。
治療を行う上での 注意点 (リスク・副作用)
矯正治療による歯の移動に伴う、歯根吸収、虫歯
【症例3】反対咬合(前歯の交叉咬合)・小児
- 治療前
- 治療後
- 治療名
- 反対咬合(前歯の交叉咬合)・小児
- 費用
- 275,000円(税込)
- 期間
- 4年2ヶ月(50ヶ月)
- 通院頻度・回数
- 1〜2ヶ月に1回
治療内容
-
患者様の症状
-
前歯の噛み合わせが反対
-
治療法
-
小児用の上下一体型マウスピースを就寝中に使用して、主訴である前歯の交叉咬合を改善しました。
-
治療結果
-
夜間のみ使用する取り外し可能なマウスピース矯正装置を使うことで、小児の患者様にも負担の少ない形で反対咬合(前歯の交叉咬合)の改善が得られた。
※治療結果は個人差があります。
治療を行う上での 注意点 (リスク・副作用)
矯正治療による歯の移動に伴う、歯根吸収、虫歯
【症例4】反対咬合・非抜歯
- 治療前
- 治療後
- 治療名
- 反対咬合・非抜歯
- 費用
- 990,000円(税込)
- 期間
- 2年(24ヶ月)
- 通院頻度・回数
- 2.5ヶ月に1回
治療内容
-
患者様の症状
-
前歯の噛み合わせが反対
-
治療法
-
抜歯をせずにマウスピース矯正装置を使用して、主訴である反対咬合を改善しました。
-
治療結果
-
診断の結果、骨格には異常はなかった為,非抜歯での治療が適応と判断し反対咬合の改善が得られました。
※治療結果は個人差があります。
治療を行う上での 注意点 (リスク・副作用)
矯正治療による歯の移動に伴う、歯根吸収、虫歯
【症例5】開口・非抜歯
- 治療前
- 治療後
- 治療名
- 開口・非抜歯
- 費用
- 990,000円(税込)
- 期間
- 2年(24ヶ月)
- 通院頻度・回数
- 1〜2ヶ月に1回
治療内容
-
患者様の症状
-
前歯が噛み合わず、隙間が空いている。
-
治療法
-
非抜歯にてマウスピース矯正装置を使用して、主訴である開咬を改善しました。
-
治療結果
-
この方の場合抜歯をしてしまうと前歯部に、より隙間が空いてしまう為、非抜歯にて空隙歯列を改善すると同時に開口の改善が得られました。
※治療結果は個人差があります。
治療を行う上での 注意点 (リスク・副作用)
矯正治療による歯の移動に伴う、歯根吸収、虫歯
青山アール矯正歯科 大阪の治療サービス
- 矯正の種類
- 部分矯正 / 成人矯正
- その他のサービス
- 矯正再治療相談
青山アール矯正歯科 大阪の基本情報
- 住所
-
〒556-0021
大阪府大阪市浪速区幸町1-3-19 昭和綜合管理本社ビル 3階
- ホームページ
-
青山アール矯正歯科 大阪
ホームページを見て、医院や治療についてもっと詳しく知りましょう! - 診療時間
-
月・火・水・金曜 11:00〜14:00 / 15:00〜19:30
土曜 10:00〜13:00 / 14:00〜18:30 - 休診日
- 木・日・祝





























