クリア矯正歯科 医院HP
![]()
矯正治療の無料相談について
無料相談を実施しています

矯正治療を希望していてもどうしていいかわからない、治療の相談をしたい方に向けて、当院では矯正に関する質問に無料でお答えさせていただく、矯正無料相談を行っています。
これは少しでも多くの方にマウスピース型のカスタムメイド矯正装置の存在を知っていただきたいと思っているからです。
矯正治療を受けることで、中には人生が変わったと感じていただけることもあります。
歯並びを改善するだけでなく心身により良い影響を、矯正治療を通じて与えることができると当院でも考えています。
少しでもお気軽にご相談いただければと思っていますので、まずは話だけでも当院にしてください。
【初診カウンセリングについて】
初診カウンセリングでは患者様の要望をお伺いします。
その上で、お口の中を詳しく拝見し、この段階で考えられる矯正治療の期間や費用についてご説明します。
矯正治療はどうしても時間のかかる治療です。だからこそ、患者様と当院の間に信頼関係を築いていくことも大切だと考えています。
WEBにてご予約しご来院ください。
カウンセリングの流れ(60分)
- 問診
気になる歯並びや矯正治療での希望を伺います。 - 口腔内診査
歯並びや噛み合わせの状態を詳しく確認します。
当院ではマウスピース矯正装置を使用した治療をご提供しています。 - 口腔内写真
初診カウンセリング時に口腔内の写真を撮影し、それを元に噛み合わせの問題についてご説明します。 - 口腔内光学スキャナを活用したシミュレーション
口腔内光学スキャナで歯型をデジタルデータとして採取し、簡単なシミュレーションを作成します。
治療後の歯並びのイメージをご覧いただけるので、治療を受けるかの判断材料としてみてください。 - 治療方法の説明
矯正治療の詳しい内容や使用する装置、治療期間などについて説明します。
メリット・デメリットについてもお伝えさせていただきます。 - 治療費の説明
治療にかかる費用について詳しく説明します。
ご希望があれば見積書もお渡ししますので、治療の検討の材料としてください。
当院の矯正治療
マウスピース矯正(インビザライン)を諦めたことがある方
患者様の中にはマウスピース矯正(インビザライン)での治療を諦めたことのある方もいるかと思います。
マウスピース型矯正装置での治療は、その特徴から治療へのハードルが下がり、治療に踏み切りやすい反面、診断によっては治療が難しいと判断されることもあります。
当院ではそういったケースでも再度診断を行い、患者様のご希望に添えるように努めています。
これは当院が矯正治療を専門的にご提供している歯科医院であることからの強みだとも考えています。
マウスピース矯正(インビザライン)を諦めたことがある方だけでなく、過去矯正治療を受けたことがあるけれど、十分な治療結果を得られなかったような場合などでもご相談ください。
日々進歩する治療へのアプローチ方法を取り入れ、患者様により良い治療をご提供できるように努めています。
後戻りをしたときの再治療

矯正治療後、再び歯並びが乱れてしまうことを後戻りと呼びます。
歯並びは、噛み合わせ、舌の圧力などの影響で動いてしまうことがあります。これらが原因となり、矯正治療後も再び歯並びが乱れることや、矯正治療では歯の周りにある歯周靱帯という部分を伸縮させながら歯を動かすのですが、治療後はこの靭帯が元に戻ろうと伸縮することで、後戻りが起こる場合があります。
通常矯正治療後はこれを防ぐためにリテーナー(保定装置)を装着することで予防するのですが、きちんと装着されていなかったり、食事や歯磨きで外した際に少しずつ後戻りが起こり、それが積み重なり歯並びが乱れる原因となることが考えられます。
後戻りが起きてしまった場合は当院では、マウスピース矯正や、ワイヤー矯正で再治療を行うことがあります。
学生の治療について
当院では、中高生や大学生といった学生の患者様もいらっしゃいます。
大学生の方の場合は、学生時代に矯正治療を始める場合、ご自身の口元に自信が持てたり、口腔内のトラブルの予防に繋がることが考えられます。
また、就職活動や社会人になる前に矯正治療を完了できる場合など、お口のお悩みを過度に心配することなく、就職活動などに支障をきたさない方法で治療を受けていただける方法を、患者様と一緒に考えたいと思っています。
一方、中高生の時期に矯正治療を受けることは、早い段階で歯並びのコンプレックスの解消に繋がると考えられます。
コンプレックスがあることでコミュニケーションに支障をきたしたり、自信を持てなくて勉強に影響が出るようなケースを避けられます。
それだけでなく、お子様自身の将来的な様々な負担軽減にも繋がる場合もあります。
特に、学生の方でマウスピース矯正での治療が可能な場合、通院回数を抑えられたり、運動や、吹奏楽での楽器演奏などへの影響を抑えて治療を受けられることもメリットだといえるかと思います。
矯正治療に関するQ&A
治療期間はどのくらい掛かりますか?いつ矯正治療が終わるのか、具体的な期間を知りたいです。
当院では、患者様一人ひとりの歯並びやご希望に合わせて、オーダーメイドの治療計画をご提案しております。
平均的な治療期間は1年半から3年程度ですが、簡単なケースでは半年程度で終わることもあります。
まずは無料カウンセリングにて、お気軽にご相談ください。
治療期間を短縮する方法はありますか?早く矯正を終わらせたいです。
1日20時間以上の装着時間を守っていただくことが、治療期間短縮の鍵となります。
当院では、治療中の細やかなサポートと、定期的な通院で治療の進捗状況を確認し、必要に応じてマウスピースの調整を行うことで、効率的な治療を心掛けています。
マウスピース矯正(インビザライン)矯正中の痛みはありますか?
マウスピース矯正(インビザライン)は、ワイヤー矯正より痛みを抑えられるケースがあります。
しかし、新しいマウスピースに交換した時や歯が動く時には、痛みや違和感を感じることがあります。
当院では、患者様の痛みに配慮し、必要に応じてマウスピースの調整や、痛みを和らげるためのアドバイスをいたします。痛みが心配な方も、安心してご相談ください。
※治療結果は個人差があります。
症例
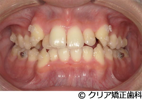
【症例1】マウスピース矯正/インビザライン(過蓋咬合・叢生)
- 治療前
- 治療中
- 治療後
- 治療名
- マウスピース矯正/インビザライン(過蓋咬合・叢生)
- 費用
- 786,500円(税込)
- 費用備考
- 検査・診断料 22,000円(税込)
矯正治療費 693,000円(税込)
調整料 5,500円(税込)×7
保定装置料 33,000円(税込) - 治療期間
- 1年3ヵ月
- 通院頻度
- 7回(1〜3ヵ月に1回)
- 患者様の性別/年齢
- 女性/初診時年齢20歳
治療内容
-
患者様の症状
-
上下ともに叢生(ガタガタ)の状態を主訴に来院されました。
また、患者様は気にされていませんでしたが、過蓋咬合(噛み合わせが深い状態)とガミースマイル(笑った時に歯茎が見える状態)でもありました。 -
治療方法
-
上顎の親知らずを抜歯して、上顎全体を後に動かすスペースを作り叢生を改善しました。また過蓋咬合の改善のため上下の前歯の高さを適切な位置に動かしました。
-
治療結果
-
叢生・ 過蓋咬合・ ガミースマイルを改善しました。
※治療結果は患者様によって個人差があります。
治療を行う上での注意点(リスク・副作用)
矯正治療による歯の移動に伴う痛み、歯根吸収、虫歯
【症例2】マウスピース矯正/インビザライン(開咬・上顎前突・叢生・非抜歯)
- 治療前
- 治療中
- 治療後
- 治療名
- マウスピース矯正/インビザライン(開咬・上顎前突・叢生・非抜歯)
- 費用
- 814,000円(税込)
- 費用備考
- 検査・診断料 22,000円(税込)
矯正治療費 693,000円(税込)
調整料 5,500円(税込)×12
保定装置料 33,000円(税込) - 治療期間
- 1年7ヵ月
- 通院頻度
- 12回(1〜3ヵ月に1回)
- 患者様の性別/年齢
- 女性/初診時年齢16歳
治療内容
-
患者様の症状
-
開咬(全体で噛むことができない状態)・上顎前突(上顎が前にある状態)で前歯で物が噛めないことと叢生(ガタガタ)を主訴に来院されました。奥歯だけで当たっている状態でした。
-
治療方法
-
上顎歯列を後方に移動して奥歯の前後的な位置を適切な位置に動かしました。また、上下の奥歯を歯茎に押し込んでいく力をかけて開咬を改善しました。
-
治療結果
-
開咬・上顎前突・叢生を改善しました。
※治療結果は患者様によって個人差があります。
治療を行う上での注意点(リスク・副作用)
矯正治療による歯の移動に伴う痛み、歯根吸収、虫歯
【症例3】マウスピース矯正/インビザライン(叢生・小臼歯抜歯)
- 治療前
- 治療中
- 治療後
- 治療名
- マウスピース矯正/インビザライン(叢生・小臼歯抜歯)
- 費用
- 824,500円(税込)
- 費用備考
- 検査・診断料 22,000円(税込)
矯正治療費 720,000円(税込)
調整料 5,500円(税込)×9
保定装置料 33,000円(税込) - 治療期間
- 1年3ヵ月
- 通院頻度
- 9回(1〜3ヵ月に1回)
- 患者様の性別/年齢
- 女性/初診時年齢20歳
治療内容
-
患者様の症状
-
上下顎の著しい叢生(ガタガタ)を主訴に来院されました。上下の真ん中も大きくずれている状態でした。
-
治療方法
-
上顎の左右、下顎の右側の第一小臼歯(4番目)を抜歯して治療を行いました。
-
治療結果
-
主訴であった叢生を改善し、良好な咬合状態を獲得できました。
※治療結果は患者様によって個人差があります。
治療を行う上での注意点(リスク・副作用)
矯正治療による歯の移動に伴う痛み、歯根吸収、虫歯
クリア矯正歯科の治療サービス
- 矯正の種類
- 部分矯正 / 成人矯正 / 目立ちにくいワイヤー / 審美ブラケット
- 矯正装置の種類
- インビザライン
- その他のサービス
- 転院対応 / 矯正再治療相談