裏側矯正とマウスピース矯正に注力した歯科医院です
目立ちにくい矯正の特徴
目立ちにくい矯正治療は、矯正治療中であることがまわりに気づかれにくいので、装置の見た目によって矯正治療に踏み出せなかった方の敷居が下がることの期待に繋がります。
当院では治療を開始した後でも、裏側矯正とマウスピース矯正、双方の切り替えが可能なシステムを導入していますので、変更をご希望される方はお申し付けください。
また、裏側矯正やマウスピース矯正は早い段階で実感しやすい傾向があります。
マウスピース矯正は事前に治療後までの歯並びをシミュレーションし、マウスピースを作製します。
段階的にマウスピースを付け替えることで、歯並びが変化しているのを実感しやすいと思います。
裏側矯正は歯の裏側に装置を付けるので、表側に装置を付ける治療法よりも歯並びの変化が外から見えやすい治療法です。
院内には精度の向上、スピーディーな技工に繋がるように歯科技工室を設けています。
これにより、外部委託による費用・時間が発生しないので治療費を抑えることにも繋がります。
裏側矯正

裏側矯正は舌側矯正・リンガル矯正ともいい、歯の裏側に金属の装置とワイヤーを装着して行う矯正治療です。
大きな特徴は装着が外から見えにくい点で、それが特徴にもなっています。
まわりから気づかれにくいので、歯並びをきれいにしたいけど装置の見た目が気になって矯正治療に踏み出せないという方にご提案しやすい治療法です。
マウスピース矯正

マウスピース矯正は、透明なマウスピースを使用して歯並びや噛み合わせを整える治療法です。
主な特徴としては、「装置が透明なので目立ちにくい」「矯正治療中でも装置を取り外せるので治療前と同じようにお食事や歯磨きができる」「金属アレルギーの方にも対応できる」などがあります。
ただし、症例によっては対応できない場合がありますので、詳しくはお気軽にご相談ください。
非抜歯へのこだわり

歯を抜ずに治療を行うことで、抜歯した場合より治療期間が短縮を期待でき、後戻りのリスクを抑えやすい特徴ががあります。
歯を抜かない矯正治療をご提供できるように、当院ではその努力を惜しみません。
ただ、歯を抜かないと治療が行えない場合もあります。
より良い選択は患者様によって異なりますので、一人ひとり求めるゴールや治療内容を考慮しながら治療を進めるように努めています。
詳しくはお気軽にご相談ください。
治療期間へのこだわり

「患者様のご負担を削減する」ことが当院の治療方針です。
その実現を図る一環として、歯科用CT、セルフライゲーションシステムを活用した治療期間の短縮にも力を入れています。
進学・就活・ご結婚を控えているなど、矯正治療の時間を多くとることが難しい方のために、できる限り早く治療を終えられるように治療計画を立てています。
安全面へのこだわり

当院は2006年に「裏側矯正」「マウスピース矯正」をご提供する歯科医院として開業しました。
日々実績を蓄積し、患者様一人ひとりの治療に活かせるようにしています。
医療現場では、より良い治療結果を目指すことは当然として、安全面に配慮した医療設備の充実を図ることも大切だと考えています。
当院は「裏側矯正」「マウスピース矯正」をご提供する歯科医院として、歯科用CTをはじめとした矯正治療に関する医療設備を備え、治療環境作りに努めています。
また、衛生管理として診療器具は、患者様ごとに滅菌・消毒してパック保管するサイクルを徹底しています。
診療時には患者様が納得して治療を受けていただけるように、丁寧な治療説明を心掛けています。
診察室はプライバシーを確保できるよう個室になっていますので、気になることがありましたら、どんなことでもお話ください。
違和感を抑えやすい『裏側矯正』

当院では、見えにくい裏側矯正に力を入れています。
裏側矯正の特徴として、周りから気づかれにくい点が考えられます。周りの目を気にしにくいことで矯正治療に踏み出せるようになっていただければ幸いです。
また、裏側矯正装置を前歯の裏側に極力限局使用することで、ブラケットの数を少なくしています。
また薄型のブラケットを使用するなどして、異物感の軽減に努めています。
ここでは裏側矯正の「特徴」「注意点」「治療の流れ」についてご紹介します。
裏側矯正の特徴
裏側矯正には治療中の見た目以外にも、様々な特徴があります。
・後戻りのリスクを抑えやすい
特に上顎前突(出っ歯)でお悩みの方は、舌で前歯を押してしまう癖をお持ちの傾向がみられます。
この癖に対し、裏側矯正では前歯の裏に装置を取り付けるので必然的に下で前歯を押すことができなくなり、癖の改善に繋がります。
矯正期間中に癖の改善を行える、治療終了後に歯並びが再び乱れる後戻りのリスク軽減に繋がることが期待できます。
・虫歯のリスク軽減に繋がる
矯正装置を装着すると食べ物のカスが装置に溜まりやすくなり、さらに普段よりも歯が磨きにくくなるため虫歯リスクも上がります。
しかし、歯の裏側は表側よりもエナメル質が3倍ほど厚く、細菌の出す酸にも強くできています。
その上で、唾液による静菌作用や殺菌作用で細菌が増殖しにくいので虫歯になりにくい環境だといえるます。
・スポーツ・部活にも向いている
運動時に転倒したり、ボールがぶつかったりしても、装置の金具やワイヤーで口内を傷つけにくいので、スポーツをやられている方が裏側矯正を選択するということもあります。
裏側矯正の注意点
・表側矯正に比べ、治療費がかかる傾向があります
・特性上、常に舌が装置に当たる分、多少の違和感や喋りづらさに繋がります
・当院の裏側矯正は薄型の装置を使用しているほか、治療を前歯数本に限定しているため、対応できない症例があります
裏側矯正の治療の流れ
-
無料カウンセリング

患者様のお口のお悩みや治療について疑問に思っていることなどを伺い、治療法・治療期間などを説明します。
WEBまたはお電話にてご予約してご来院ください。 -
治療をご検討するための時間

矯正治療のご相談後は、お家に帰られてから治療法とそのリスク・治療期間・治療費などについてじっくり検討いただけるように時間を設けています。
検討の結果、矯正治療を受けることを決められた場合はお申し込みいただき、治療開始の準備に入ります。準備期間に必要があれば虫歯や親知らず、歯周病などの処置を行います。
これらの処置が必要ない場合は、クリーニングで口腔内環境を整えます。 -
精密検査(約45分)

この時点での歯並びの状態と問題点について診察します。
検査では歯科用CT撮影・レントゲン撮影(前面・側面)・歯型採取・お顔とお口の写真撮影・虫歯検査・歯周検査を行います。
ただ、小さなお子様や妊娠の可能性がある方は一部の検査を行わない場合があります。 -
治療開始(約90分)

精密検査の結果をもとに、適切かつ治療期間の短縮を考慮して治療計画を立ててから、具体的な治療方法や期間をご説明します。
実際の治療は、患者様に理解と納得をしていただいてから進めるように努めています。患者様の歯型に合う矯正装置を作製し、それを用いて適切な位置にブラケットを取り付けていきます。
装置を装着した後はブラッシングのレクチャーや注意点についてご案内します。 -
矯正装置の整備(約60分)

歯の動きなどを確認しながら装置の調整、装置周囲のクリーニングを行います。
矯正治療期間中は通常1ヵ月に1回ほど通院いただき、毎月この工程を繰り返していきます。 -
歯並びがきれいになったら後戻りの防止を

歯の機能面や審美面の改善が確認できたら、歯を動かす動的治療は終了です。
その後、歯が元の位置に戻ろうとする後戻りを防ぐためにリテーナーで保定します。
保定期間は3ヵ月〜半年のペースで通院いただき、歯列チェック・口腔内清掃など定期健診を受けていただくようになります。
リテーナーは裏側に付ける装置か、マウスピース型かを選んでいただけます。
※治療結果は個人差があります。
矯正治療の症例
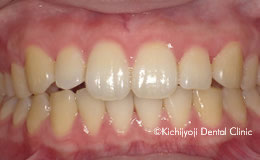
【症例1】正中部の前突と隙間を治療
- 治療前
- 治療後
- 治療名
- 正中部の前突と隙間を治療
- 費用
- 677,600円(税込)
- 費用内訳
- 基本料金:638,000円(税込)
再診料金:39,600円(税込)(6,600円(税込)×6回) - 期間
- 6ヶ月
- 通院頻度
- 月1回
- 患者様
- 女性 28歳
治療内容
-
患者様の症状
-
前歯が大き目で、正中部に大きな隙間があり、前突しておりました。
-
治療法
-
上の前歯6本、下の前歯6本計12本に裏側矯正装置を着けて矯正治療をしました。
歯を少し削ることで非抜歯矯正を行うことができました。 -
治療結果
-
抜歯はせずに、前歯の大きさを整えた上で前歯の裏側に矯正装置をつけて矯正治療を行いました。
正中部の隙間も埋まり、前突していた前歯も綺麗に並んでいます。
※治療結果は個人差があります。
治療を行う上での 注意点 (リスク・副作用)
矯正治療全般に共通して、虫歯、歯周炎・歯肉炎、歯根吸収、後戻りなどのリスクがあります。
【症例2】上下顎のデコボコ(叢生)を治療
- 治療前
- 治療後
- 治療名
- 上下顎のデコボコ(叢生)を治療
- 費用
- 710,600円(税込)
- 費用内訳
- 基本料金:638,000円(税込)
再診料金:72,600円(税込)(6,600円(税込)×11回) - 期間
- 10ヶ月
- 通院頻度
- 月1回
- 患者様
- 女性 33歳
治療内容
-
患者様の症状
-
上顎・下顎ともにデコボコしている状態で歯並びをきれいにしたいという希望でご来院されました。
-
治療法
-
上の前歯6本、下の前歯6本計12本に裏側矯正装置を着けて矯正治療をしました。
歯を少し削ることで非抜歯矯正を行うことができました。 -
治療結果
-
抜歯はせずに、前歯の裏側に矯正装置をつけて歯のアーチを整えながら、歯を動かしていきました。
上顎・下顎ともにデコボコ(叢生)は改善されました。
※治療結果は個人差があります。
治療を行う上での 注意点 (リスク・副作用)
矯正治療全般に共通して、虫歯、歯周炎・歯肉炎、歯根吸収、後戻りなどのリスクがあります。
【症例3】前歯の横向きを治療
- 治療前
- 治療後
- 治療名
- 前歯の横向きを治療
- 費用
- 710,600円(税込)
- 費用内訳
- 基本料金:638,000円(税込)
再診料金:72,600円(税込)(6,600円(税込)×11回) - 期間
- 10ヶ月
- 通院頻度
- 月1回
- 患者様
- 女性 25歳
治療内容
-
患者様の症状
-
前歯が横向きになっているのを始め、上下顎ともに全体的にデコボコしている状態で全体的なガタガタを治したいという希望でご来院されました。
-
治療法
-
上の前歯6本、下の前歯6本計12本に裏側矯正装置を着けて矯正治療をしました。
歯を少し削ることで非抜歯矯正を行うことができました。 -
治療結果
-
抜歯はせずに、前歯の裏側に矯正装置をつけて前歯のねじれや下顎のデコボコを治療し、横向きになっていた前歯も改善され、綺麗な歯並びになりました。
※治療結果は個人差があります。
治療を行う上での 注意点 (リスク・副作用)
矯正治療全般に共通して、虫歯、歯周炎・歯肉炎、歯根吸収、後戻りなどのリスクがあります。
治療サービス
| 矯正の種類 | 部分矯正 / インプラント矯正 / 成人矯正 / 目立ちにくいワイヤー / 審美ブラケット |
|---|---|
| 矯正中の治療 | 虫歯治療対応 |
| その他のサービス | 矯正再治療相談 |
医院情報
| 住所 | 〒180-0003 東京都武蔵野市吉祥寺南町1-15-5伊藤ビル2階 地図 |
|---|---|
| TEL |
0120-834-918
0422-47-8148 ※お電話にてご予約・ご相談いただく場合は、「矯正歯科ネットを見た」と言っていただけるとスムーズです。 |
| 公式ホームページ |
|
| 診療時間 | 月・水・木・金曜 10:30〜14:00 / 15:00〜18:45(休憩 14:00〜15:00) 土・日曜 10:30〜17:30 |
| 休診日 | 火・祝 |
| アクセス | JR中央線・JR総武線・京王井の頭線 『吉祥寺駅』公園口より徒歩3分 |



























