°åÎÅË¡¿ÍÁ±Ï²ñ °æ¸ý¶ºÀµ»õ²Ê-¿ÇÎÅ°ÆÆâ
- Ï²λ³±Ø
- Ï²λ³¸©Ï²λ³»ÔÈþ±àÄ®5-1-2¿·µÌ¥Ó¥ë2³¬ ÃÏ¿Þ
Åö±¡¤Î¼£ÎŤˤĤ¤¤Æ
¼£ÎÅÊý¿Ë¤Ë¤Ä¤¤¤Æ

Åö±¡¤Ç¤ÏÆüËܶºÀµ»õ²Ê³Ø²ñ ǧÄê°å¤Î»ñ³Ê¤òͤ¹¤ë°æ¸ý±¡Ä¹¤¬¡¢¤¹¤Ù¤Æ¤Î¶ºÀµ¼£ÎŤòÀÕǤ¤ò»ý¤Ã¤ÆÃ´Åö¤·¤Þ¤¹¡£
¶ºÀµ¼£ÎŤϡ¢±Êµ×»õ¤¬À¸¤¨¤ëÁ°¤Ë¤ª¸ý¤Î´Ä¶¤òÀ°¤¨¤ë¾®»ù¶ºÀµ¤«¤é¡¢¸«¤¿Ìܤä³ú¤ß¹ç¤ï¤»¤Î¥È¥é¥Ö¥ë¤ò¼£ÎŤ¹¤ëÀ®¿Í¶ºÀµ¤Þ¤Ç¡¢´µ¼ÔÍͤȰ屡¤¬Ä¹¤¤¤ªÉÕ¤¹ç¤¤¤Ë¤Ê¤ë»õ²Ê¼£ÎŤǤ¹¡£
¾®»ù¤Î¶ºÀµ¼£ÎŤǤϡ¢Ëܿͤ¬¼£ÎŤÎɬÍ×À¤òÍý²ò¤·¼õ¤±Æþ¤ì¤ë¤³¤È¡¢»×½Õ´ü¤«¤éÀ®¿Í¤Î¶ºÀµ¼£ÎŤǤϡ¢´µ¼ÔÍͤÈôÅö¤Î»õ²Ê°å»Õ¤¬»õʤӤò¼£ÎŤ·¤Æ¤¤¤³¤¦¤È¶¦¤Ë¼ê¤ò¤¿¤º¤µ¤¨¤Æ¤¤¤¯¤³¤È¤¬À®¸ù¤Î¥«¥®¤À¤È¹Í¤¨¤Æ¤¤¤Þ¤¹¡£
¤½¤Î¤¿¤á¤Ë¤Ï¡¢¤Þ¤º¡¢´µ¼ÔÍͤ´Ëܿͤˡ¢¼£ÎÅÆâÍÆ¤ä¥¹¥±¥¸¥å¡¼¥ë¤ò¤·¤Ã¤«¤êÍý²ò¤·¤Æ¤¤¤¿¤À¤¯¤³¤È¤¬ÂçÀÚ¤À¤È¹Í¤¨¤Æ¤¤¤Þ¤¹¡£
¤Þ¤¿¡¢°ì¿Í¤Ò¤È¤ê¤Î´µ¼ÔÍͤ¬¡¢²÷Ŭ¤Ë¼£ÎŤò¼õ¤±¤é¤ì¤ë´Ä¶¤Å¤¯¤ê¡¢Îɤ¤¤È´¶¤¸¤Æ¤¤¤¿¤À¤±¤ë·ë²Ì¤Ø¤ÈƳ¤¯¼£ÎŤò¿´¤¬¤±¤Æ¤¤¤Þ¤¹¡£
JR¡ØÏ²λ³±Ø¡Ù¤è¤êÅÌÊâ1ʬ¤Î»õ²Ê°å±¡

Åö±¡¤ÏJR¡ØÏ²λ³±Ø¡Ù¤è¤êÅÌÊâ1ʬ¤ÎΩÃϤˤ¢¤ë»õ²Ê°å±¡¤Ç¤¹¡£
Ä̶С¦Ä̳ؤÎÅÓÃæ¤ä¡¢Ç㤤ʪ¤Î¤Ä¤¤¤Ç¤Ê¤É¤Ë¡¢¤ªµ¤·Ú¤ËÄ̱¡¤¤¤¿¤À¤±¤ë¤È»×¤¤¤Þ¤¹¡£
ŬÀڤʿÇÃǤò¿´³Ý¤±´µ¼ÔÍͤ˹ç¤ï¤»¤¿¤´Äó°Æ

¶ºÀµ¼£ÎŤò¼õ¤±¤¿¤¤¤È»×¤Ã¤Æ¤¤¤ë¤±¤ì¤É¡¢¤´¼«Ê¬¤Ë¹ç¤¦¼£ÎÅÊýË¡¤¬Ê¬¤«¤é¤Ê¤¤Êý¤ä¡¢ÄˤߤäÈñÍѤο´ÇÛ¤«¤é°ìÊâ¤òƧ¤ß½Ð¤»¤Ê¤¤Êý¤Î¤¿¤á¤Ë¡¢Åö±¡¤Ç¤Ï̵ÎÁ¤Î¶ºÀµ¼£ÎÅÁêÃ̤ò¼Â»Ü¤·¤Æ¤¤¤Þ¤¹¡£
¤½¤Î¸å¡¢ÀºÌ©¸¡ºº¤È¤½¤ì¤ò´ð¤Ë¤·¤¿Ê¬ÀϤò¹Ô¤¤¡¢¤½¤Î·ë²Ì¤«¤é´µ¼ÔÍͰì¿Í¤Ò¤È¤ê¤Ë¹ç¤ï¤»¤¿¼£ÎÅÊýË¡¤Î¤´Ä󰯤ËÅØ¤á¤Æ¤¤¤Þ¤¹¡£
Åö±¡¤Î¼£ÎŤϡ¢¸«¤¿ÌܤÎÈþ¤·¤µ¤òµá¤á¤ë¤À¤±¤Ç¤Ê¤¯¡¢³ú¤ß¹ç¤ï¤»¤äµ¡Ç½Ì̤â½Å»ë¤·¤Æ¤¤¤Þ¤¹¡£¤½¤Î¾å¤Ç¡¢»õ¤ä³Ü¤Î¼«Á³¤Êư¤¤òÂçÀڤˤ·¡¢ÌµÍý¤Î¤Ê¤¤¶ºÀµ¼£ÎŤò¿´¤¬¤±¤Æ¤¤¤Þ¤¹¡£
¤Þ¤¿¡¢´µ¼ÔÍͤ¬Ç¼ÆÀ¤·¤Æ¼£ÎŤò»Ï¤á¤é¤ì¤ë¤è¤¦¤Ë¡¢Ê£¿ô¤Î¼£ÎÅ¥×¥é¥ó¤ò¤´ÍѰդ·¤Æ¤¤¤Þ¤¹¡£
É԰¤䵿Ì䤬¤¢¤ì¤Ð¡¢¤É¤ó¤Ê¤³¤È¤Ç¤â¤ªµ¤·Ú¤Ë¤´ÁêÃ̤¯¤À¤µ¤¤¡£
½é¿ÇÁêÃ̸å¤Îή¤ì
½é¿ÇÁêÃ̤ò¼õ¤±¤é¤ì¤¿´µ¼ÔÍͤˤϡ¢¸åÆü¡Ø¸¡ººÎÁ¤Î¤´°ÆÆâ¥á¡¼¥ë¡Ù¤ò¤ªÁ÷¤ê¤¤¤¿¤·¤Þ¤¹¡£
¤´ÁêÃ̤¤¤¿¤À¤¤¤¿ÆâÍÆ¤ò¤â¤È¤Ë¡¢¤¸¤Ã¤¯¤ê¼£ÎŤˤĤ¤¤Æ¤´¸¡Æ¤¤¤¤¿¤À¤¤¤¿¤¦¤¨¤Ç¡¢¸¡ºº¤ò¼õ¤±¤¿¤¤¥¿¥¤¥ß¥ó¥°¤Ç¡¢¸¡ººÎÁ¤Î¤ª»Ùʧ¤¤¤ò¤ª´ê¤¤¤¤¤¿¤·¤Þ¤¹¡£
¸¡ººÎÁ¤Î¤ª»Ùʧ¤¤¤¬³Îǧ¤Ç¤¤Þ¤·¤¿Êý¤«¤é½ç¤Ë¡¢¼õÉÕ¤è¤ê¤ªÅÅÏäˤƤ´Ï¢Íí¤·¡¢¸¡ººÆü¤Î¤´Í½Ìó¤ò¤ª¼è¤ê¤¤¤¿¤·¤Þ¤¹¡£
Âç¿Í¤Ë¤Ê¤Ã¤Æ¤«¤é¹Í¤¨¤ë¶ºÀµ¼£ÎÅ

Âç¿Í¤Ë¤Ê¤Ã¤¿º£¤³¤½¶ºÀµ¼£ÎŤò¹Í¤¨¤Æ¤ß¤Æ¤¯¤À¤µ¤¤¡£
´µ¼ÔÍͤÎÃæ¤Ë¤Ï¡¢»Ò¤É¤â¤Î¤³¤í¤Ë¶ºÀµ¼£ÎŤò¼õ¤±¤¿¤«¤Ã¤¿¤±¤ì¤Éµ¡²ñ¤¬¤Ê¤«¤Ã¤¿¡¢Âç¿Í¤Ë¤Ê¤Ã¤Æ¤«¤é»õʤӤ¬µ¤¤Ë¤Ê¤ê»Ï¤á¤¿Êý¤â¤¤¤é¤Ã¤·¤ã¤¤¤Þ¤¹¡£
¶ºÀµ¼£ÎŤϡ¢¸«¤¿ÌܤÎÈþ¤·¤µ¤À¤±¤Ç¤Ê¤¯¡¢¤à¤·»õ¤ä»õ¼þɤÎͽËɤˤâ¤Ä¤Ê¤¬¤ë¤È¤µ¤ì¡¢·ò¹¯Ì̤ǤÎÍøÅÀ¤â¤¢¤ë¤È¹Í¤¨¤Æ¤ª¤ê¤Þ¤¹¡£
»õʤӤ¬À°¤¦¤³¤È¤Ï¡¢¾Ð´é¤Ø¤Î¼«¿®¤Ë·Ò¤¬¤ê¡¢¿Í¤È¤Î¥³¥ß¥å¥Ë¥±¡¼¥·¥ç¥ó¤ä»Å»ö¤Ø¤Î»ÑÀª¤Ê¤É¡¢ËèÆü¤ÎÀ¸³è¤ò¤è¤êÁ°¸þ¤¤ËÊѤ¨¤Æ¤¯¤ì¤ë²ÄǽÀ¤¬¤¢¤ê¤Þ¤¹¡£
8020±¿Æ°¤È¤Ï
»õʤӤä³ú¤ß¹ç¤ï¤»¤Ï»õ¤Î¼÷Ì¿¤Ë¤â´Ø¤ï¤Ã¤Æ¤¯¤ë¤È¹Í¤¨¤Æ¤¤¤Þ¤¹¡£
¡Ö80ºÐ¤Ç20Ëܤλõ¤ò»Ä¤½¤¦¡×¤È¤¤¤¦8020±¿Æ°¤Ç¤Ï¡¢À°¤Ã¤¿³ú¤ß¹ç¤ï¤»¤ò¤ª»ý¤Á¤ÎÊý¤¬Ã£À®¤·¤ä¤¹¤¤·¹¸þ¤¬¤¢¤ê¡¢·ò¹¯¤Ê»õ¤òŤ¯ÊݤĤ¿¤á¤Ë¤â¡¢Å¬Àڤʳú¤ß¹ç¤ï¤»¤ÏÂçÀÚ¤À¤È¹Í¤¨¤é¤ì¤Þ¤¹¡£
²¿ºÐ¤«¤é¶ºÀµ¼£ÎŤò»Ï¤á¤Æ¤â·è¤·¤ÆÃÙ¤¯¤Ï¤Ê¤¤¤È»×¤Ã¤Æ¤¤¤Þ¤¹¡£
¸«¤¿Ìܤâ·ò¹¯¤âÂçÀڤˤǤ¤ë¡ÖÂç¿Í¤Î¶ºÀµ¼£Îšפò¤´¸¡Æ¤¤¤¤¿¤À¤¡¢¤Þ¤º¤Ï¤ªµ¤·Ú¤Ë¤´ÁêÃ̤¯¤À¤µ¤¤¡£
¶ºÀµÁõÃ֤μïÎà
¥»¥ë¥Õ¥é¥¤¥²¡¼¥·¥ç¥ó¼°¤Î¥Ö¥é¥±¥Ã¥ÈÁõÃÖ

¥»¥ë¥Õ¥é¥¤¥²¡¼¥·¥ç¥ó¼°¥Ö¥é¥±¥Ã¥ÈÁõÃ֤ϡ¢¼å¤¤ÎϤǻõ¤ò¤æ¤Ã¤¯¤êư¤«¤¹¤È¤¤¤¦¹Í¤¨Êý¤ò¤â¤È¤Ë¼£ÎŤò¿Ê¤á¤ë¶ºÀµ¼£ÎŤΥ·¥¹¥Æ¥à¤Ç»ÈÍѤ¹¤ëÁõÃ֤Ǥ¹¡£
¤³¤Î¶ºÀµÁõÃÖ¤ò»ÈÍѤ¹¤ë¾ì¹ç¡¢¥Ö¥é¥±¥Ã¥È¤È¥ï¥¤¥ä¡¼¤ÏË໤¤òÍÞ¤¨¤é¤ì¤ë¹½Â¤¤È¤Ê¤Ã¤Æ¤¤¤Þ¤¹¡£
»ÈÍѤ¹¤ë¥ï¥¤¥ä¡¼¤â¡¢Ä¶ÃÆÀÀ¼Á¤¬¤¢¤ë¥ï¥¤¥ä¡¼¤ä¡¢¼å¤¤ÎϤǻõ¤ò3¼¡¸µÅª¤Ë¥³¥ó¥È¥í¡¼¥ë¤¹¤ë¥ï¥¤¥ä¡¼¤òÁȤ߹ç¤ï¤»¤¿¼£ÎŤòÄ󶡤·¤Æ¤¤¤Þ¤¹¡£
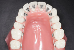
΢¦¶ºÀµÁõÃÖ(¥ê¥ó¥¬¥ë¥Ö¥é¥±¥Ã¥È¶ºÀµÁõÃÖ)

»õ¤Î΢¦¤ËÁõÃÖ¤òÀÜÃ夷¤Æ¶ºÀµ¼£ÎŤò¹Ô¤¦¡¢Î¢Â¦¶ºÀµ(¥ê¥ó¥¬¥ë¥Ö¥é¥±¥Ã¥È¶ºÀµ)¤Ç»ÈÍѤ¹¤ëÁõÃ֤Ǥ¹¡£
»õ¤Î΢¦¤ËÁõÃÖ¤òÀÜÃ夷¤Æ¶ºÀµ¼£ÎŤò¹Ô¤¦¤Î¤Ç¡¢¤Û¤«¤ÎÊý¤Ë¸ý¸µ¤ò¸«¤é¤ì¤Æ¤â¡¢¶ºÀµ¼£ÎŤò¤·¤Æ¤¤¤ë¤³¤È¤¬µ¤¤Å¤«¤ì¤Ë¤¯¤¯¤Ê¤Ã¤Æ¤¤¤Þ¤¹¡£
Åö±¡¤Ç»ÈÍѤ·¤Æ¤¤¤ë¥ê¥ó¥¬¥ë¥Ö¥é¥±¥Ã¥È¤Ï¡¢Çö¤¯À߷פµ¤ì¤Æ¤¤¤ë¤â¤Î¤Ê¤Î¤Ç¡¢¶ºÀµÁõÃÖ¤òÉÕ¤±¤Æ¤¤¤ë¤È¤¤Î°ãÏ´¶¤ä²ñÏäΤ·¤Å¤é¤µ¤¬·Ú¸º¤µ¤ì¤ë·¹¸þ¤Ë¤¢¤ê¤Þ¤¹¡£
¥Þ¥¦¥¹¥Ô¡¼¥¹·¿¥«¥¹¥¿¥à¥á¥¤¥É¶ºÀµ»õ²ÊÁõÃÖ

Æ©ÌÀ¤Ê¥Þ¥¦¥¹¥Ô¡¼¥¹¤òÁõÃ夷¤Æ¡¢¾¯¤·¤º¤Ä»õ¤òư¤«¤·¤Æ¤¤¤¯¶ºÀµÁõÃ֤Ǥ¹¡£
ÌÜΩ¤Á¤Ë¤¯¤¯¡¢´µ¼ÔÍͤ´¼«¿È¤Ç¼«Í³¤Ë¼è¤ê³°¤·¤¬¤Ç¤¤ë¤¿¤á¡¢¿©»ö¤ä»õ¤ß¤¬¤¤â¤·¤ä¤¹¤¤¤Î¤¬ÆÃħ¤Ç¤¹¡£
¤Þ¤¿¡¢¥Þ¥¦¥¹¥Ô¡¼¥¹¤Ï¥×¥é¥¹¥Á¥Ã¥¯À½¤Î¤¿¤á¡¢¶â°¥¢¥ì¥ë¥®¡¼¤ÎÊý¤â°Â¿´¤·¤Æ¼£ÎŤò¼õ¤±¤Æ¤¤¤¿¤À¤±¤Þ¤¹¡£
»Ò¤É¤â¤Î¤¦¤Á¤«¤é¶ºÀµ¼£ÎŤò»Ï¤á¤ëÂçÀÚ¤µ

»Ò¤É¤â¤Î¤¦¤Á¤«¤é¶ºÀµ¼£ÎŤò»Ï¤á¤ëÂçÀÚ¤µ¤Ë¤Ä¤¤¤Æ¤ªÅÁ¤¨¤·¤Þ¤¹¡£
¤ª»ÒÍͤζºÀµ¼£ÎŤϡ¢À®Ä¹¤Ë¹ç¤ï¤»¤Æ2¤Ä¤ÎÃʳ¬¤Ëʬ¤«¤ì¤Þ¤¹¡£
Æý»õ¤¬»Ä¤Ã¤Æ¤¤¤ë»þ´ü¤Î¶ºÀµ¼£ÎŤÏÂèµ´ü¼£ÎÅ(Áá´ü¼£ÎÅ)¡¢±Êµ×»õ¤¬À¸¤¨¤½¤í¤Ã¤Æ¤«¤é¹Ô¤¦¶ºÀµ¼£ÎŤòÂè¶´ü¼£ÎŤȸƤó¤Ç¤¤¤Þ¤¹¡£
6ºÐ¡Á10ºÐº¢¤ÏÆÃ¤Ë³Ü¤ÎÀ®Ä¹¤¬³èȯ¤Ê»þ´ü¤Ç¤¹¡£¤³¤Î»þ´ü¤Ë¹Ô¤¦Âèµ´ü¼£ÎŤϡ¢¹ü¤¬½À¤é¤«¤¯¡¢À®Ä¹¤òÍøÍѤ·¤Ê¤¬¤é¡¢»õʤӤä³ú¤ß¹ç¤ï¤»¤Î´ðÁäòÀ°¤¨¤ä¤¹¤¤ÆÃħ¤¬¤¢¤ê¤Þ¤¹¡£
¤³¤Î»þ´ü¤Ë¼£ÎŤò»Ï¤á¤ë¤³¤È¤Ç¡¢¾ÍèŪ¤Ë»õ¤òÈ´¤«¤º¤Ë¤¹¤à²ÄǽÀ¤ä¡¢Âè¶´ü¼£ÎŤμ£ÎÅ´ü´Ö¤òû¤¯ºÑ¤Þ¤»¤é¤ì¤ë²ÄǽÀ¤¬¹Í¤¨¤é¤ì¤Þ¤¹¡£
°ìÊý¤Ç¡¢ËˤŤ¨¡¦»Ø¤·¤ã¤Ö¤ê¡¦¸ý¸ÆµÛ¤Ê¤É¤ÎÊʤòÊüÃÖ¤¹¤ë¤³¤È¤Ç¡¢³Ü¤ÎÀ®Ä¹¤Ë°¤¤±Æ¶Á¤òÍ¿¤¨¤ë¤³¤È¤¬¤¢¤ê¡¢»õʤӤ¬Íð¤ì¤Æ¤·¤Þ¤¦¤³¤È¤¬¤¢¤ê¤Þ¤¹¡£
»õʤӤÎÍð¤ì¤Ï¡¢¤à¤·»õ¤ä»õ·Ô¤Î¥È¥é¥Ö¥ë¤Ë¤â¤Ä¤Ê¤¬¤ë¤¿¤á¡¢Áá¤á¤Î¥Á¥§¥Ã¥¯¤ò¤´Ä󰯤·¤Æ¤¤¤Þ¤¹¡£
¤ª»ÒÍͤÎÀ®Ä¹¤òºÇÂç¸Â¤Ë³è¤«¤»¤ë»þ´ü¤À¤«¤é¤³¤½¡¢¤¼¤Ò°ìÅÙ¤´ÁêÃ̤¯¤À¤µ¤¤¡£
¶ºÀµÁõÃ֤μïÎà
¸ÇÄê¼°³ÈÂçÁõÃÖ(µÞ®³ÈÂçÁõÃÖ)

¼«Ê¬¤Ç¼è¤ê³°¤»¤Ê¤¤(¸ÇÄê¼°)¥¿¥¤¥×¤ÎÁõÃ֤ǡ¢»õ¤Ë¤·¤Ã¤«¤êÉÕ¤±¤¿¾õÂ֤Ǿ¯¤·¤º¤Ä³Ü¹ü¤ä»õÎó¤ò¹¤²¤ë¼£ÎŤò¹Ô¤¤¤Þ¤¹¡£
Èæ³ÓŪû´ü´Ö¤Ç¤Î¼£ÎŤ¬´üÂԤǤ¡¢°ìÅÙ´·¤ì¤Æ¤·¤Þ¤¨¤ÐÁõÃå»þ¤Î°ãÏ´¶¤¬¾¯¤Ê¤¤·¹¸þ¤Ë¤¢¤ê¤Þ¤¹¡£
¥ê¥ó¥¬¥ë¥¢¡¼¥Á

¤³¤ÎÁõÃ֤ϡ¢¿¿¤óÃæ¤«¤é¿ô¤¨¤Æ3ÈÖÌܤ«¤é5ÈÖÌÜ¤ÎÆý»õ¤¬±Êµ×»õ¤ËÀ¸¤¨ÊѤï¤ë¥¿¥¤¥ß¥ó¥°¤ÇÁõÃ夹¤ë¤³¤È¤Ë¤è¤ê¡¢±Êµ×»õ¤ÎÀ¸¤¨¤ë¥¹¥Ú¡¼¥¹¤ò³ÎÊݤ¹¤ëÁõÃ֤Ǥ¹¡£
¥Ø¥Ã¥É¥®¥¢

¾å³Ü¤Î¹ü¤ÏƬ¤ËÂФ·¤ÆÁ°²¼Êý¤ÎÊý¸þ¤Ë¸þ¤«¤Ã¤ÆÀ®Ä¹¤·¤Þ¤¹¡£
¤½¤ÎÀ®Ä¹¤ÎÎ̤òÍÞ¤¨¤¿¤ê¡¢À®Ä¹Êý¸þ¤òÊѤ¨¤¿¤ê¤¹¤ë¤³¤È¤Ç¡¢¾å³ÜÁ°ÆÍ¤Î¼£ÎŤò¹Ô¤¦¤Î¤¬¥Ø¥Ã¥É¥®¥¢¤Ç¤¹¡£
¥×¥í¥È¥é¥¯¥¿¡¼

¥Ø¥Ã¥É¥®¥¢¤È¤ÏµÕ¤Ë¡¢¾å³Ü¤ÎÁ°²¼Êý¤Ø¤ÎÀ®Ä¹¤ò¼ê½õ¤±¤·¡¢À®Ä¹Â¥¿Ê¤¹¤ë¤Î¤¬¥×¥í¥È¥é¥¯¥¿¡¼¤Ç¤¹¡£
³Û¤È²¼³Ü¤ò»ÙÅÀ¤Ë¡¢¥´¥à¤Ç¾å³Ü¤òÁ°¸þ¤¤Ë¸£°ú¤·¡¢¼õ¤±¸ý¤Î¼£ÎŤΤ¿¤á¤Î¾å³Ü¤ÎÀ®Ä¹¤òÂ¥¤·¤Þ¤¹¡£
¥Ð¥¤¥È¥¸¥ã¥ó¥Ô¥ó¥°¥¢¥×¥é¥¤¥¢¥ó¥¹(BJA)

²¼³Ü¤¬¸åÂष¤Æ¤¤¤ë´µ¼ÔÍͤËÍѤ¤¤ëÁõÃ֤ǡ¢²¼³Ü¹ü¤Î¼ç¤Ë´ØÀá¤Ë¶á¤¤¤È¤³¤í¤ÎÀ®Ä¹¤òÂ¥¤¹ÁõÃ֤Ǥ¹¡£
¢¨¼£ÎÅ·ë²Ì¤Ï¸Ä¿Íº¹¤¬¤¢¤ê¤Þ¤¹¡£
Åö±¡¤Î¶ºÀµ¼£ÎžÉÎã
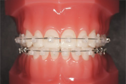
¡Ú¾ÉÎã1¡Û¥Þ¥ë¥Á¥Ö¥é¥±¥Ã¥ÈË¡¤Ç¼£ÎŤò¹Ô¤Ã¤¿À®¿Í¶ºÀµ¤Î¾ÉÎã
- ¼£ÎÅÁ°
- ¼£ÎÅÃæ
- ¼£ÎŸå
- ¼£ÎÅ̾
- ¥Þ¥ë¥Á¥Ö¥é¥±¥Ã¥ÈË¡¤Ç¼£ÎŤò¹Ô¤Ã¤¿À®¿Í¶ºÀµ¤Î¾ÉÎã
- ÈñÍÑ
- 832,000±ß(Àǹþ)
- ÈñÍÑÆâÌõ
- ¸¡ºº¿ÇÃÇÎÁ:60,000±ß(Àǹþ)
¶ºÀµ¼£ÎÅÈñ:700,000±ß(Àǹþ)
È´»õÎÁ:5,000±ß(Àǹþ)
Ä´À°ÎÁ:5,000±ß¡ß11²ó=55,000±ß(Àǹþ)
´Ñ»¡ÎÁ:3,000±ß¡ß4²ó=12,000±ß(Àǹþ) - ´ü´Ö
- ¶ºÀµÁõÃÖűµî¤Þ¤Ç17¥ö·î ¢¨¸½ºßÊÝÄêÃæ
- Ä̱¡ÉÑÅÙ
- 6½µ´Ö¤´¤È
- ǯÎð¡¦ÀÊÌ
- ½é¿Ç»þǯÎð:34ºÐ ½÷À
¼£ÎÅÆâÍÆ
-
´µ¼ÔÍͤξɾõ
-
Angle Iµé¡¢±±»õ¤Î³ú¤ß¹ç¤ï¤»¤ËÁ°¸åÊý¸þ¡¢Æâ³°¤ÎÊý¸þ¤Î³ú¤ß¹ç¤ï¤»¤Î¤º¤ì¤Ïǧ¤á¤Þ¤»¤ó¤Ç¤·¤¿¤¬¡¢Á°»õ¤Î¥¹¥Ú¡¼¥¹ÉÔÂ(Í𹺻õ)¤È±¦Â¦¤Î¦ÀÚ»õ¤Î¸òºµÒû¹ç(ËÜÍè¡¢¾å¤Î»õ¤¬³°Â¦¡¢²¼¤Î»õ¤¬Æâ¦¤Ë¤¢¤ë¤â¤Î¤¬¡¢µÕ¤Ë¤Ê¤Ã¤Æ¤¤¤ë¾õÂÖ)¤òǧ¤á¤Þ¤·¤¿¡£
¤Þ¤¿¡¢¾å¤Î¦ÀÚ»õ¤Ïâä¾®»õ¤È¤Ê¤Ã¤Æ¤¤¤Þ¤·¤¿¡£ -
¼£ÎÅË¡
-
¾å¤Î¦ÀÚ»õ¤¬âä¾®»õ¤Ç¡¢¥µ¥¤¥º¤¬¾®¤µ¤¤¤¿¤á¡¢¾å²¼¤ÎÁ°»õ¤Î¥µ¥¤¥º¥Ð¥é¥ó¥¹¤¬°¤¤¾õÂ֤Ǥ·¤¿¡£
¤½¤Î¤¿¤á¡¢º¸²¼¤ÎÁ°»õ1ËܤòÈ´»õ¤·¤Æ¡¢¥µ¥¤¥º¥Ð¥é¥ó¥¹¤òÀ°¤¨¤ë¤È¤È¤â¤Ë¡¢»õÊÂ¤Ó¤ÎÆÌ±ú¤ò¤Û¤°¤¹¤¿¤á¤Î¥¹¥Ú¡¼¥¹¤È¤·¤ÆÍøÍѤ·¤Þ¤·¤¿¡£
¥Þ¥ë¥Á¥Ö¥é¥±¥Ã¥ÈÁõÃÖ¤òÁõÃ夷¡¢ÇÓÎó¤ò¹Ô¤¤¤Þ¤·¤¿¡£ -
¼£ÎÅ·ë²Ì
-
¸òºµÒû¹ç¡¢ÁÑÀ¸¤Ï²þÁ±¤·¡¢¤¤ì¤¤¤ËÇÓÎ󤵤ì¤Þ¤·¤¿¡£
¢¨¼£ÎÅ·ë²Ì¤Ï¸Ä¿Íº¹¤¬¤¢¤ê¤Þ¤¹¡£
¼£ÎŤò¹Ô¤¦¾å¤Ç¤Î Ãí°ÕÅÀ (¥ê¥¹¥¯¡¦ÉûºîÍÑ)
¶ºÀµ»õ²Ê¼£ÎŤΰìÈÌŪ¤Ê¥ê¥¹¥¯¤È¤·¤Æ¡¢¼£ÎŤˤè¤ë»õ¤Î°ãÏ´¶¤äÄˤߡ¢À¶Áݤ¬Æñ¤·¤¯¤Ê¤ë¤³¤È¤Ë¤è¤ëÃî»õ¤Î¥ê¥¹¥¯¤¬¤¢¤ë¤Û¤«¡¢À®¿Í¤Î¶ºÀµ»õ²Ê¼£ÎŤǤϡ¢»õÆù¤ÎÂà½Ì¤ä¤½¤ì¤Ëȼ¤¦ÃγвáÉҾɾõ¤Ê¤É¤¬¹Í¤¨¤é¤ì¤Þ¤¹¡£
¡Ú¾ÉÎã2¡Û¥Þ¥¦¥¹¥Ô¡¼¥¹·¿¥«¥¹¥¿¥à¥á¥¤¥É¶ºÀµÁõÃ֤Ǽ£ÎŤò¹Ô¤Ã¤¿À®¿Í¶ºÀµ¤Î¾ÉÎã(¥¤¥ó¥Ó¥¶¥é¥¤¥ó»ÈÍÑ)
- ¼£ÎÅÁ°
- ¼£ÎŸå
- ¼£ÎÅ̾
- ¥Þ¥¦¥¹¥Ô¡¼¥¹·¿¥«¥¹¥¿¥à¥á¥¤¥É¶ºÀµÁõÃ֤Ǽ£ÎŤò¹Ô¤Ã¤¿À®¿Í¶ºÀµ¤Î¾ÉÎã(¥¤¥ó¥Ó¥¶¥é¥¤¥ó»ÈÍÑ)
- ÈñÍÑ
- 993,000±ß (Àǹþ)
- ÈñÍÑÆâÌõ
- ¸¡ºº¿ÇÃÇÎÁ:60,000±ß(Àǹþ)
¶ºÀµ¼£ÎÅÈñ:900,000±ß(Àǹþ)
Ä´À°ÎÁ:3,000±ß×7²ó=21,000±ß(Àǹþ)
´Ñ»¡ÎÁ:3,000±ß×4²ó=12,000±ß(Àǹþ) - ´ü´Ö
- ưŪ¼£ÎÅ15¥ö·î
ÊÝÄê24¥ö·î - Ä̱¡ÉÑÅÙ
- 8½µ´Ö¤´¤È
- ǯÎð¡¦ÀÊÌ
- ½é¿Ç»þǯÎð:21ºÐ ½÷À
¼£ÎÅÆâÍÆ
-
´µ¼ÔÍͤξɾõ
-
±ü»õ¤Î°ÌÃÖ´Ø·¸¤Ï´ð½à¤È¤Ê¤ë¤È¤³¤í¤«¤é¼õ¤±¸ýÊý¸þ¤Ë¥º¥ì¤Æ¤ª¤ê¡¢Á°»õ¤Î³ú¤ß¹ç¤ï¤»¤Ï·ÚÅÙ¤ÎÈ¿ÂÐÒû¹ç¤È¤Ê¤Ã¤Æ¤¤¤¿¡£
¾å¤ÎÁ°»õ¤ËÁÑÀ¸(»õ¤Ê¤é¤Ó¤Î¥¬¥¿¥¬¥¿)¤òǧ¤á¡¢¤Þ¤¿¿âľŪ¤Ë¤â³«Òû¤È¤Ê¤Ã¤Æ¤¤¤¿¡£ -
¼£ÎÅË¡
-
¥Þ¥¦¥¹¥Ô¡¼¥¹·¿¥«¥¹¥¿¥à¥á¥¤¥É¶ºÀµÁõÃÖ¤ò»ÈÍѤ·¡¢ÈóÈ´»õ¤ÇÇÛÎó¤ò¹Ô¤¤¤Þ¤·¤¿¡£
-
¼£ÎÅ·ë²Ì
-
±±»õ´Ø·¸¤Î¥º¥ì¡¢Á°»õ¤ÎÈ¿ÂÐÒû¹ç¡¢³«Òû¤Ï²þÁ±¤·¤Þ¤·¤¿¡£
¢¨¼£ÎÅ·ë²Ì¤Ï¸Ä¿Íº¹¤¬¤¢¤ê¤Þ¤¹¡£
¼£ÎŤò¹Ô¤¦¾å¤Ç¤Î Ãí°ÕÅÀ (¥ê¥¹¥¯¡¦ÉûºîÍÑ)
¶ºÀµ»õ²Ê¼£ÎŰìÈ̤Υꥹ¥¯¤È¤·¤Æ¡¢»õ¤Î°ãÏ´¶¡¦Äˤߡ¢Ãî»õ¤Î¥ê¥¹¥¯¡¢»õÆùÂà½Ì¡¢¸åÌá¤ê¤Î¥ê¥¹¥¯¤Ë²Ã¤¨¡¢¥Þ¥¦¥¹¥Ô¡¼¥¹·¿¥«¥¹¥¿¥à¥á¥¤¥É¶ºÀµÁõÃ֤Υꥹ¥¯¤È¤·¤Æ¡¢¥Þ¥¦¥¹¥Ô¡¼¥¹¤ÎÉÔŬ¹ç¤Ë¤è¤ë¥Þ¥¦¥¹¥Ô¡¼¥¹¤ÎºÆÀ߷ס¢Äɲä¬É¬ÍפȤʤë¾ì¹ç¤¬¤¢¤ê¤Þ¤¹¡£
¤½¤Î¾ì¹ç¤Ï¼£ÎÅ´ü´Ö¤ÎÃٱ䤬¹Í¤¨¤é¤ì¤Þ¤¹¡£
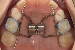
¡Ú¾ÉÎã3¡Û¹ü³Ê¤ÎÀ®Ä¹¥³¥ó¥È¥í¡¼¥ë¤ò¹Ô¤Ã¤¿¾®»ù¶ºÀµ¤Î¾ÉÎã
- ¼£ÎÅÁ°
- ¼£ÎŸå
- ¼£ÎÅ̾
- ¹ü³Ê¤ÎÀ®Ä¹¥³¥ó¥È¥í¡¼¥ë¤ò¹Ô¤Ã¤¿¾®»ù¶ºÀµ¤Î¾ÉÎã
- ÈñÍÑ
- 490,000±ß (Àǹþ)
- ÈñÍÑÆâÌõ
- ¸¡ºº¿ÇÃÇÎÁ:60,000±ß(Àǹþ)
¶ºÀµ¼£ÎÅÈñ:400,000(Àǹþ)
Ä´À°ÎÁ:3,000±ß×10²ó=30,000±ß(Àǹþ) - ´ü´Ö
- 24¥ö·î
- Ä̱¡ÉÑÅÙ
- 2¥ö·î¤´¤È
- ǯÎð¡¦ÀÊÌ
- ½é¿Ç»þǯÎð:10ºÐ ½÷À
¼£ÎÅÆâÍÆ
-
´µ¼ÔÍͤξɾõ
-
¹ü³ÊŪ¤Ê¼õ¤±¸ý¤Î¾ÉÎã¡¢¾å²¼¤Î»õ¤Ê¤é¤Ó¤Î¥¬¥¿¥¬¥¿¡¢ÆÃ¤Ë¾å¤Î»õ¤Ï¡¢Á°»õ¤È±ü»õ¤È¤ÎÁ°¸åŪ¤Ê¥¹¥Ú¡¼¥¹¤âÉÔ¤·¤Æ¤ª¤ê¡¢Á°»õ¤Î³ú¤ß¹ç¤ï¤»¤âÈ¿ÂÐÒû¹ç¤È¤Ê¤Ã¤Æ¤¤¤Þ¤·¤¿¡£
-
¼£ÎÅË¡
-
¹ü³Ê¸ÇÄê¼°¤Î³ÈÂ硦±ó¿´°ÜưÁõÃ֤Ȥ¤¤¦¾å³Ü¤Î¦Êý³ÈÂç¤È¾å¤Î±ü»õ¤ò¸åÊý¤Ëư¤«¤¹¤³¤È¤òƱ»þ¤Ë¹Ô¤¦ÁõÃ֤ȡ¢¥×¥í¥È¥é¥¯¥¿¡¼¤È¤¤¤¦¾å³Ü¡¢Ãæ´éÌ̤ÎÁ°²¼Êý¤Ø¤ÎÀ®Ä¹¤òÂ¥¤¹ÁõÃ֤ȤòÊ»ÍѤ·¡¢À®Ä¹¥³¥ó¥È¥í¡¼¥ë¤ò¹Ô¤¤¤Þ¤·¤¿¡£
ÁõÃ֤ϡ¢¸ý¹ÐÆâ¥¹¥¥ã¥Ê¤Ç¸÷³Ø°õ¾Ý¤·¡¢3D¥×¥ê¥ó¥¿¤Ç¥«¥¹¥¿¥à¥á¥¤¥É¤·¤Þ¤·¤¿¡£ -
¼£ÎÅ·ë²Ì
-
ÂèI´ü¤Î¶ºÀµ¼£ÎÅ(»Ò¤É¤â¤Î»þ´ü¤Î¶ºÀµ¼£ÎÅ)¤ò½ª¤¨¤Æ¡¢¼õ¤±¸ý¤Î²þÁ±¡¢»õʤӤΥ¬¥¿¥¬¥¿¤Î·Ú¸º¡¢¸ý¸µ¤Î¥Ð¥é¥ó¥¹¤Î²þÁ±¤òǧ¤á¤Þ¤·¤¿¡£
º£¸å¡¢»×½Õ´üÀ®Ä¹´ü¤¬²á¤®¤ë¤Î¤òÂԤäơ¢ÂèII´ü¤Î¶ºÀµ¼£ÎÅ(Âç¿Í¤Î»õ¤òºÇ½ªÅª¤Ëʤ٤뼣ÎÅ)¤ò¹Ô¤¦Í½Äê¤Ç¤¹¡£
¢¨¼£ÎÅ·ë²Ì¤Ï¸Ä¿Íº¹¤¬¤¢¤ê¤Þ¤¹¡£
¼£ÎŤò¹Ô¤¦¾å¤Ç¤Î Ãí°ÕÅÀ (¥ê¥¹¥¯¡¦ÉûºîÍÑ)
¹ü³Ê¸ÇÄê¼°¤Î³ÈÂ硦±ó¿´°ÜưÁõÃÖ¤òºîÀ®¤¹¤ëºÝ¤Ë¡¢¾å³Ü¤Ë¶ºÀµÍÑ¥¢¥ó¥«¡¼¥¹¥¯¥ê¥å¡¼¤ò»ÈÍѤ¹¤ë¤¿¤á¡¢¾¯Î̤ÎËã¿ì¤¬É¬ÍפǤ¹¡£
¼õ¤±¸ý¤Î¼£ÎŤϡ¢¤½¤Î¸å¤Î»×½Õ´üÀ®Ä¹´ü¤Î¹ü³ÊŪ¤ÊÀ®Ä¹¤Ë¤è¤ê¡¢ºÆÈ¯¤òǧ¤á¤ë¥ê¥¹¥¯¤¬¤¢¤ê¤Þ¤¹¡£
¼£ÎÅ¥µ¡¼¥Ó¥¹
| ¶ºÀµ¤Î¼ïÎà | Éôʬ¶ºÀµ / ¥¤¥ó¥×¥é¥ó¥È¶ºÀµ / À®¿Í¶ºÀµ / ÌÜΩ¤Á¤Ë¤¯¤¤¥ï¥¤¥ä¡¼ / ¿³Èþ¥Ö¥é¥±¥Ã¥È |
|---|---|
| ¶ºÀµÁõÃ֤μïÎà | ¥¤¥ó¥Ó¥¶¥é¥¤¥ó / ¥à¡¼¥·¡¼¥ë¥É |
| ¤½¤Î¾¤Î¥µ¡¼¥Ó¥¹ | È´»õÂбþ / ž±¡Âбþ / ¶ºÀµºÆ¼£ÎÅÁêÃÌ |
°å±¡¾ðÊó
| ½»½ê | ¢©640-8331 Ï²λ³¸©Ï²λ³»ÔÈþ±àÄ®5-1-2¿·µÌ¥Ó¥ë2³¬ ÃÏ¿Þ |
|---|---|
| TEL | 073-425-7182 ¢¨¤ªÅÅÏäˤƤ´Í½Ì󡦤´ÁêÃ̤¤¤¿¤À¤¯¾ì¹ç¤Ï¡¢¡Ö¶ºÀµ»õ²Ê¥Í¥Ã¥È¤ò¸«¤¿¡×¤È¸À¤Ã¤Æ¤¤¤¿¤À¤±¤ë¤È¥¹¥à¡¼¥º¤Ç¤¹¡£ |
| ¸ø¼°¥Û¡¼¥à¥Ú¡¼¥¸ |
|
| ¿ÇÎÅ»þ´Ö | ·î¡¦²Ð¡¦¿å¡¦¶âÍË 13:00¡Á18:40(ºÇ½ª¼õÉÕ 18:00) ÅÚÍË 09:20¡Á12:00 / 13:00¡Á18:40(ºÇ½ª¼õÉÕ 18:00) |
| µÙ¿ÇÆü | ÌÚ¡¦Æü¡¦½Ë ¢¨Æü¡¦½ËÆü¤Ë¿ÇÎŤ·¡¢Ê¿Æü¤¬ÂåµÙ¤È¤¹¤ë¾ì¹ç¤¬¤¢¤ê¤Þ¤¹ |
| ¥¢¥¯¥»¥¹ |
JRºåÏÂÀþ¡ØÏ²λ³±Ø¡ÙÃæ±û¸ý¤è¤êÅÌÊâ1ʬ JRϲλ³Àþ¡ØÏ²λ³±Ø¡ÙÃæ±û¸ý¤è¤êÅÌÊâ1ʬ JR¤¤Î¤¯¤ËÀþ¡ØÏ²λ³±Ø¡ÙÃæ±û¸ý¤è¤êÅÌÊâ1ʬ ϲλ³ÅÅïŵ®»ÖÀîÀþ¡ØÏ²λ³±Ø¡ÙÃæ±û¸ý¤è¤êÅÌÊâ5ʬ ¢¨Äó·ÈÃó¼Ö¾ì¤â¤¢¤ê¤Þ¤¹ |






























