医療法人社団ファミリアソサイエティ ファミリア歯科矯正 医院HP
埼玉県さいたま市大宮区桜木町1-7-5 ソニックシティビル12階![]()
矯正治療について
治療の方向性

当院では、できるだけ歯を抜くことなく非抜歯矯正治療を行うことを心掛けております。しかし、「歯を抜かない」矯正治療を行うことで、無理に顎を広げすぎて全体的に「出っ歯」になっていたり、奥歯でまったく噛めなくなってしまうなどの無理な矯正治療を行っては、本当に改善されたとはいえないでしょう。
        抜歯の要否を含めて「美しさ」と「機能」のふたつのゴールをきちんと達成するという歯科矯正学の基本を大切にしています。
      
治療結果
の「美しさ」のみならず、治療後の「安定性」まで考慮しながら、治療計画を立てて治療を行っております。また診断・治療計画のご説明には十分な時間をお取りして、ご納得していただいた場合にのみ治療を開始しております。治療の種類について

審美ブラケットなど目立ちにくい装置、リンガルブラケットやマウスピース型矯正装置のように外から目立たない装置、歯茎に矯正用の小インプラント(ミニスクリュー)を施すことにより、患者様の負担を大きく軽減できるインプラント矯正など様々な治療方法を取り入れております。
        これまでの治療経験のみならず、新しい治療方法や材料などを取り入れ、より快適な矯正治療を受けていただけるように心掛けております。
        歯を移動する際に使用するワイヤー類は、超弾性・形状記憶合金を使用し、調整直後に生じやすい歯の痛みの軽減に役立てております。
矯正治療の流れ
STEP1 初診相談

院長の私・大塚と副院長の大隈とで初診カウンセリングを分担して行っております。アンケートにご記入いただくとともに、お口の写真を撮影して簡単な診査を行います。カウンセリングルームにて、装置の模型などをお見せしながら、治療の概要や治療期間・費用の概算をご説明致します。ご希望に応じて、必要な場合には検査のお約束をお取りします。
STEP2 検査資料採得
 診断に必要な頭部や歯のX線写真、お口や顔の写真などを撮ります。歯型や噛み合わせを記録します。歯茎の検査・虫歯の有無・顎の関節の状態もチェックさせていただきます。特に、横顔をほぼ実寸大で撮影する頭部X線規格写真(セファログラム)は、矯正治療の診断を行うのに必須な資料です。治療方法や装置に対するご希望(透明な矯正装置を使いたいなど)も改めてお伺いします。
STEP3 コンサルテーション

診断結果に基づき、治療方針・治療方法・治療期間・費用などの説明を行います。治療契約書には、治療費総額を明記させていただいております。コンサルテーションには時間は十分にお取りしております。また、治療契約書を一度ご自宅にお持ち帰りいただき、ご家庭で検討のうえで開始される患者様もいらっしゃいます。
STEP4 治療開始

『矯正金具(マルチブラケット装置)を取り付ける』もしくは、『使用する装置を製作するための歯型取り』から治療が始まります。装置が付きましたら、装置の説明・基本的なブラッシング指導・何かトラブルが起きたときの対処方法などをご説明致します。
          2回目の診察時にブラッシングの状態を確認させていただき、衛生士によるブラッシング指導を行います。通常4〜6週間に1度の通院のお約束をお取りします。
STEP5 治療終了
矯正装置を外し歯のクリーニングを行います。
          後戻りを防ぐための簡単な装置(リテーナー)に変更し、
        
治療結果
の最終確認を行うための検査が行われます。STEP6 治療後コンサルテーション
最終検査の結果をご説明し、治療前の状態と比較して
治療結果
をご確認いただきます。次回のご来院からは、保定・経過観察となります。
STEP7 保定
 4〜6ヵ月に1回の間隔で治療後の経過を観察します。一般的には2年間の保定で終了になります。当院の治療費には、この2年間の保定終了までの経過観察費もすべて含まれております。
※成人矯正、小児矯正ともに、治療結果にはそれぞれ個人差がございます。
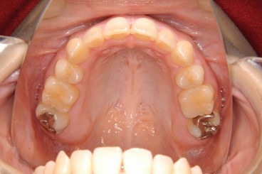
症例写真
【症例】叢生の治療(でこぼこ、凹凸、ガタガタの治療)
- 治療前
 - 治療後
 
- 治療名
 - 叢生の治療(でこぼこ、凹凸、ガタガタの治療)
 - 費用
 - 検査費 40,000円(税抜) 、
治療費用 820,000円(税抜) (トータルフィー)
 - 期間
 - 
          
30ヶ月(2年6ヵ月)
 
治療内容
- 
        
患者様の症状
 - 
        
右上の八重歯と、歯並びのでこぼこを治したいと希望して来院されました。セファロ(横顔のレントゲン)分析より、上下のあごのバランスは良い状態で、上下の前歯がやや前方に出ている状態でした
 - 
        
治療法
 - 
        
上下左右の小臼歯を一本ずつ抜歯して八重歯を治したり前歯を後退させたりするスペースを作って、マルチブラケット装置により歯の移動を行い、かみ合わせを整えました。
 - 
        
治療結果
 - 
        
治療後は上下の歯がしっかりかみ合いました。
※治療結果は患者様によって個人差があります。
 
治療を行う上での 注意点 (リスク・副作用)
歯を移動する量が大きくなると、歯根吸収(根が短くなること)や歯肉退縮(歯ぐきの下がり)のリスクが高くなります。歯磨きが悪いと、歯の変色や虫歯の危険性が高くなりますが、ブラッシング状況もよく、きれいな歯が維持できました。
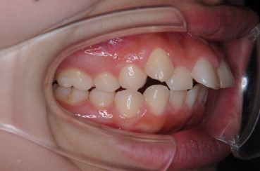
【症例】下顎前突(受け口)と叢生(でこぼこ、凹凸、ガタガタ)の治療
- 治療前
 - 治療後
 
- 治療名
 - 下顎前突(受け口)と叢生(でこぼこ、凹凸、ガタガタ)の治療
 - 費用
 - 検査費 40,000円(税抜) 、
治療費用 850,000円(税抜) (トータルフィー) - 期間
 - 約26ヶ月(2年2ヵ月)
 
治療内容
- 
        
患者様の症状
 - 
        
初診時年齢24歳の女性
受け口と、上の前歯のでこぼこ、歯並びを治したいと希望して来院されました。セファロ(横顔のレントゲン)分析より、下あごがやや上より大きく、上下の歯並びの前後的なずれがありました。上の歯並びのガタガタは、中程度〜重度と判断しました。 - 
        
治療法
 - 
        
上下左右の小臼歯を一本ずつ抜歯して下の前歯を後退させるとともに、上のでこぼこを解消するスペースを作りました。
 - 
        
治療結果
 - 
        
マルチブラケット装置により前歯が反対なのを治して、かみ合わせを整えました。
※治療結果は患者様によって個人差があります。
 
治療を行う上での 注意点 (リスク・副作用)
歯を移動する量が大きくなると、歯根吸収(根が短くなること)や歯肉退縮(歯ぐきの下がり)のリスクが高くなります。歯磨きが悪いと、歯の変色や虫歯の危険性が高くなりますが、ブラッシング状況もよく、きれいな歯が維持できました。
【症例】上顎前突(出っ歯)と開咬(前歯が咬み合わない)の治療
- 治療前
 - 治療後
 
- 治療名
 - 上顎前突(出っ歯)と開咬(前歯が咬み合わない)の治療
 - 費用
 - 検査費 40,000円(税抜) 、
治療費用 850,000円(税抜) (トータルフィー) - 期間
 - 
          
約28ヶ月(2年4ヵ月)
 
治療内容
- 
        
患者様の症状
 - 
        
初診時年齢23歳の女性
上下の前歯がかみ合わないことと、歯並びのガタガタを治したいと希望して来院されました。セファロ(横顔のレントゲン)分析より、下あごの後退により上下の歯並びの前後的なずれとともに、上下的にも歯のかみ合わせが浅い(前歯のかぶさりが少ない)状態でした。さらに、歯並びからそれて生えてきた右上の小臼歯がすでに一本抜歯されていて、隙間がなくなってしまっていました。 - 
        
治療法
 - 
        
左上と左右下顎の小臼歯を抜歯するとともに、すでに歯が一本少ない無い右上は、虫歯を治してある第二大臼歯を抜歯してすべての歯を後ろに下げてスペースを作ることにしました。歯科矯正用アンカースクリューというネジも支えに使って、マルチブラケット装置によりかみ合わせを整えました。
 - 
        
治療結果
 - 
        
上の奥歯の後方移動も充分に行いましたので、強い出っ歯と開咬(前歯が咬み合わない)がともにきれいに治りました。咬み合わせもしっかりと改善しています。
※治療結果は患者様によって個人差があります。
 
治療を行う上での 注意点 (リスク・副作用)
歯を移動する量が大きくなると、歯根吸収(根が短くなること)や歯肉退縮(歯ぐきの下がり)のリスクが高くなります。歯磨きが悪いと、歯の変色や虫歯の危険性が高くなりますが、ブラッシング状況もよく、きれいな歯が維持できました。
【症例】上顎前突(出っ歯の治療)
- 治療前
 - 治療後
 
- 治療名
 - 上顎前突(出っ歯の治療)
 - 費用
 - 検査費 40,000円(税抜) 、
治療費用 850,000円(税抜) (トータルフィー) - 期間
 - 約24ヶ月(2年)
 
治療内容
- 
        
患者様の症状
 - 
        
初診時年齢20歳の女性
上の前歯を引っ込めたい、歯並びのガタガタを治したいと希望して来院されました。
セファロ(横顔のレントゲン)分析より、上の前歯の前方への傾斜が強く、上下の歯並びの前後的なずれも歯一本分ありました。 - 
        
治療法
 - 
        
上顎小臼歯を左右抜歯して前歯を後退するスペースを作りました。
 - 
        
治療結果
 - 
        
マルチブラケット装置により前歯を後退させながら、かみ合わせを整えました。
※治療結果は患者様によって個人差があります。
 
治療を行う上での 注意点 (リスク・副作用)
前歯の移動量が大きい分、歯根吸収(根が短くなること)のリスクが高くなります。
医療法人社団ファミリアソサイエティ ファミリア歯科矯正の治療サービス
- 矯正の種類
 - 部分矯正 / インプラント矯正 / 成人矯正 / 目立ちにくいワイヤー / 審美ブラケット
 - 矯正中の治療
 - 口腔筋機能療法(MFT)
 - その他のサービス
 - 転院対応
 
医療法人社団ファミリアソサイエティ ファミリア歯科矯正の基本情報
- 住所
 - 
			〒330-0854
埼玉県さいたま市大宮区桜木町1-7-5 ソニックシティビル12階
 - ホームページ
 - 
						
						
				医療法人社団ファミリアソサイエティ ファミリア歯科矯正
			
			
ホームページを見て、医院や治療についてもっと詳しく知りましょう! - 診療時間
 - 
			月・火・水・金曜 10:00〜13:00 / 14:30〜19:00
土曜 9:00〜13:00 / 14:00〜18:00 - 休診日
 - 木・日・祝 ※月曜(第1・第3)