当クリニックの矯正治療

当クリニックでは、筋機能トレーニングを行うことで、歯並びが乱れる要因となる悪い癖・原因を取り除き、正しい顎の成長を促す、矯正治療をご提供しています。
【当クリニックの矯正治療の特徴】
・矯正装置を使う期間が抑えやすい
・抜歯の可能性を抑えやすい
・後戻りをすることが抑えやすい
・理想的な顔立ち、姿勢の改善を期待できる
歯並びが乱れる要因となる悪い癖として、指しゃぶり・舌の位置や嚥下時の癖・呼吸の仕方・離乳食の食べ方などが歯並びに影響すると考えられます。
詳しいことは当クリニックにて毎月開催している「歯ならび相談会」(第1または第2土曜開催)や、「乳児口腔機能検診」でお伝えしていますので、興味がある方はお気軽にご参加いただきたいと思っています。WEBからも予約が可能です。
健康的な歯並び・噛み合わせの予防
当クリニックではお子様から大人まで、それぞれの年代ごとの歯並び、噛み合わせの予防、治療に関するプログラムをご用意しています。
・パオクラブベイビー

0〜6ヵ月の方が対象です。
助産師による授乳指導や離乳食の進め方、抱っこの仕方などをお伝えしています。
舌小帯(ぜつしょうたい)・上唇小帯(じょうしんしょうたい)に異常がないか診査を行い、切除手術も行っています。
お気軽にお尋ねください。
・パオクラブチャイルド
1〜3歳の未就園児教室です。
保育士によるお遊戯(絵本・歌など)、歯科衛生士の仕上げ磨きなどを行っています。
・パオたんクラブ

【パオたんキッズ/パオたんキッズプラス】
3〜6歳のお子様が対象です。
歌や体操、遊びを通して、お子様に楽しんでいただきながら唇や舌の機能トレーニングを進めます。
パオたんキッズプラスはそれに加えて、マウスピース型の装置を使用した治療を行います。
・小児矯正
4〜12歳ごろの方が対象で、治療期間が短い・抜歯や後戻りを抑えやすいなどの特徴があります。
担当制のため、お子様に合わせた方法でトレーニングをご提供しやすい特徴があります。
また全身の健康の維持に繋がるように、管理栄養士による食事指導もご案内しています。
・成人矯正

矯正治療に関する知識・治療技術の研鑽を積んでいる歯科医師による治療をご提供しています。
できるだけ歯を抜かないようにする治療法を取り入れているほか、見た目が気になりにくいマウスピース矯正も取り扱っています。
オンラインでの歯並び予防

当クリニックにご来院が難しい、遠方の方などにお勧めしております。
矯正装置は使用せず、オンラインでトレーニングを実施し、ご自宅でトレーナーを使用していただきます。
「通わなくていいの?」「オンラインで大丈夫?」などの心配を持つかと思います。
そういった方にも、まずはオンラインで無料の歯並び勉強会にご参加いただき、当医院の矯正治療プログラムについてお聞きいただきたいと思っています。
診断カウンセリング
個別で検査の結果、治療についての計画・説明をさせていただきます。
当クリニックで矯正治療を希望される方には、以下の手続きなどをお願いすることになります。
・小児矯正治療の場合は、保護者の確認と同意、書類へのご署名が必要
・支払い方法の決定
・通院日の調整
※治療結果は患者様によって個人差があります。
症例
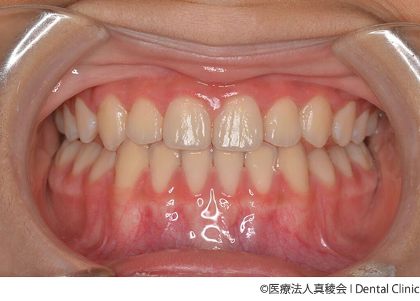
【症例1】小児矯正
- 治療前
- 治療後
- 治療名
- 小児矯正
- 費用
- 440,000円(税込)
- 期間
- 2年
- 通院頻度
- 1ヵ月に1度
装置使用時は2週間に1度の通院
治療内容
-
患者様の症状
-
開咬(かいこう)・叢生(そうせい)
前歯が噛み合っておらず、上の歯がガタガタしている -
治療法
-
筋機能トレーニング・マウスピース型装置着用(日中1時間と就寝時)・拡大装置数ヵ月・舌小帯リリース
-
治療結果
-
前歯が噛み合い、きれいな歯列のアーチへ改善された
※治療結果は患者様によって個人差があります。
治療を行う上での注意点(リスク・副作用)
予定通りの通院・自宅で決められたトレーニングを正しく行うことが大切です。
【症例2】成人の矯正
- 治療前
- 治療後
- 治療名
- 成人の矯正
- 費用
- 440,000円(税込)
- 期間
- 2年
- 通院頻度
- 1ヵ月に1度
治療内容
-
患者様の症状
-
過蓋咬合(かがいこうごう)
噛み合わせたときに下の歯が見えない
夜間の食いしばり
ストレートネック -
治療法
-
筋機能トレーニング・マウスピース型装置着用(日中1時間と就寝時)
-
治療結果
-
噛み合わせが整い、下の歯が見えるようになった
食いしばりが減った
姿勢が改善された※治療結果は患者様によって個人差があります。
治療を行う上での注意点(リスク・副作用)
予定通りの通院・自宅で決められたトレーニングを正しく行うことが大切です。
【症例3】小児矯正
- 治療前
- 治療後
- 治療名
- 小児矯正
- 費用
- 374,000円(税込)
- 期間
- 1年3ヵ月
- 通院頻度
- 3ヵ月間は週に1度
その後の1年は1ヵ月に1度
装置使用時は2週間に1度の通院
治療内容
-
患者様の症状
-
過蓋咬合(かがいこうごう)・叢生(そうせい)
噛み合わせたときに下の歯が見える範囲が少ない
下の前歯がガタガタしている -
治療法
-
筋機能トレーニング・マウスピース型装置着用(日中1時間と就寝時)・拡大装置数ヵ月
-
治療結果
-
噛み合わせが整い、下の歯が見えるようになった
きれいな歯列のアーチへ改善された※治療結果は患者様によって個人差があります。
治療を行う上での注意点(リスク・副作用)
予定通りの通院・自宅で決められたトレーニングを正しく行うことが大切です。
【症例4】小児矯正
- 治療前
- 治療後
- 治療名
- 小児矯正
- 費用
- 495,000円(税込)
- 期間
- 2年
- 通院頻度
- 1ヵ月に1度
装置使用時は2週間に1度の通院
治療内容
-
患者様の症状
-
反対咬合(はんたいこうごう)・叢生(そうせい)
噛み合わせたときに下の歯が前に出ている
上の前歯がガタガタしている -
治療法
-
筋機能トレーニング・マウスピース型装置着用(日中1時間と就寝時)・拡大装置数ヵ月
-
治療結果
-
正常な噛み合わせになり、きれいな歯列のアーチへ改善された
※治療結果は患者様によって個人差があります。
治療を行う上での注意点(リスク・副作用)
予定通りの通院・自宅で決められたトレーニングを正しく行うことが大切です。
矯正治療の流れ
-
歯並び勉強会へのご参加

歯並びが悪くなる原因や、当クリニックの矯正治療についてご説明いたします。オンラインでも勉強会を開催しています。全国どこからでも参加可能です。
勉強会の後に検査・診断まで同日に受けることが可能です。勉強会のみの参加は無料です。
検査・診断をご希望の場合はお電話でその旨をお伝えください。 -
検査

以下の検査を行い、お子様のお口・体の状態を歯科医師が診査します。
・口腔内写真
・レントゲン、歯科用CT写真
・姿勢と顔写真の撮影
・光学3D印象スキャナによる歯型採取
・口唇圧測定・機能審査
・発音と嚥下の様子の動画撮影
・呼吸と血中酸素濃度測定当クリニックのレントゲン・歯科用CT写真は歯科用CTの中でも被ばく線量を抑えられることが特徴です。検査では1度のみ照射を行います。
-
診断カウンセリング

個別で検査の結果、治療についての計画・説明をいたします。
当クリニックで矯正治療を希望される方には、以下の内容を行っていただきます。・小児矯正治療 確認・同意書等、書類へのご署名
・支払い方法の決定(ご一括、2分割、毎回支払いの中からお選びいただけます)
・通院日程の調整
※治療結果は患者様によって個人差があります。
治療サービス
| 矯正の種類 | 部分矯正 / 成人矯正 |
|---|---|
| 矯正中の治療 | 虫歯治療対応 / 口腔筋機能療法(MFT) |
医院情報
| 住所 | 〒479-0849 愛知県常滑市虹の丘7-11 地図 |
|---|---|
| TEL | 0569-35-2119 ※お電話にてご予約・ご相談いただく場合は、「矯正歯科ネットを見た」と言っていただけるとスムーズです。 |
| 公式ホームページ |
|
| 診療時間 | 月・火・水・金曜 09:00〜13:00 / 14:30〜18:00 土曜 09:00〜18:00 ※祝日や臨時休診がある週は、木曜診療いたします。
※当クリニックは予約制となっております。ご来院前は必ずお電話にてご予約ください。 |
| 休診日 | 木・日・祝 |
| アクセス |
名古屋鉄道常滑線・空港線 『常滑駅』 より車で5分 名古屋鉄道常滑線 『多屋駅』 より徒歩15分 常滑インターチェンジより車で3分 中部新国際空港 『セントレア』 より車で10分 |























