ハート歯科クリニックの矯正治療
無料相談・カウンセリングで分かりやすい説明

お口全体の検査を受けられた患者様には、治療前に治療費用・治療回数・治療の選択肢についてまとめた資料を必ずお渡ししています。
患者様が不安にならないよう、無料相談・カウンセリングでは費用や治療について分かりやすくご説明いたします。
マウスピース矯正に特化

ハート歯科クリニックでは、矯正治療の中でもマウスピース矯正に力を入れています。
マウスピース矯正には、「見た目が目立たない」「簡単に取り外せる」など、ほかの矯正治療とは異なる特徴があります。
気になる方はご相談ください。
- 透明で目立たない
- 自分で取り外しが可能
- ワイヤーの矯正治療より小さい力で歯を動かすので痛みを抑えやすい
- ワイヤーの矯正治療より通院回数を少なくできる
- 金属アレルギーの方にも対応可能
- 症例によっては適用できない場合がある
- マウスピースの装着時間を自己管理する必要がある
治療期間

一般的に平均的な矯正治療の期間は1年〜2年といわれています。
ハート歯科クリニックの場合、歯を移動させる量が少ない症例では数ヵ月、歯並びが複雑な症例だと2年以上かかることもあります。
お口の状態には個人差がありますので、検査で詳しく調べ、患者様一人ひとりに適した治療を提案いたします。
※治療結果は患者様によって個人差があります。
矯正治療の流れ
-
来院・受付

受付から診療までお待たせしないよう、完全予約制を採用しています。
相談や診療の予約をされる際は、診療予約ページかお電話にてご予約ください。 -
無料相談・カウンセリング

まずは患者様について知るために、詳しくお話を伺います。「歯並びの悩み」「治療に関する希望や疑問」「これまで受けた治療内容」「現在治療中の病気」など、何でもお聞かせください。相談は無料です。
この段階で、治療内容・費用・期間の目安・ご用意した治療の選択肢など、マウスピース矯正に関する説明も行います。 -
精密検査

マウスピース矯正を希望する方には、精密検査と歯型採取を行います。
主な精密検査の内容は、口腔内検査・レントゲン撮影・顔や口の中の写真撮影です。
撮影したデータを基に、マウスピース型の矯正装置を作製するために歯型を採取します。 -
初期治療

作製したマウスピースを装着する前の準備として、虫歯や歯周病が見つかった場合はこの段階で治療します。
当クリニックでは、できるだけ抜歯を行わない治療方法をご提案します。
一緒に歯磨きの指導も行います。 -
治療計画の明確化

精密検査で得た患者様の口腔画像データを基に、専用のソフトで治療開始から完了までの歯並びの様子を3Dアニメーションでシミュレーションします。
シミュレーションはモニターに映して、歯がどのように動いていくのかを患者様ご自身で確認していただくこともできます。患者様から治療計画の承認をいただいたら、矯正治療期間や費用が決まります。
このとき少しでも不明点や不安がありましたら、遠慮なくお申し付けください。
治療計画や治療期間・費用についてご納得いただいたら、いよいよ矯正治療スタートです。 -
矯正治療スタート

患者様一人ひとりに合わせて作製したオリジナルの矯正装置を装着します。
通常、6〜8週間に1回のペースで通院していただきます。
マウスピースは歯科医師の指示により、2週間おきに付け替えていきます。マウスピースの装着時間の目安は1日20時間以上です。
計画通りに歯を動かすため、飲食や歯磨き以外はマウスピースを装着するようにしましょう。 -
矯正期間終了・保定期間

計画通りに歯並びが整ったら、保定期間に入ります。
歯は移動しても、舌の癖などで元の位置に戻ろうとします。そのため、1〜3年を目安に保定装置(リテーナー)を装着してきれいな歯並びを安定させていきます。
保定装置を装着している間は2〜6ヵ月に一度通院していただき、噛み合わせや歯の状態をチェックします。
※治療結果は患者様によって個人差があります。
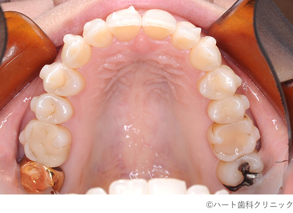
症例
【症例】マウスピース矯正
- 治療前
- 治療後
- 治療名
- マウスピース矯正
- 費用
- 580,000円(税込)
- 期間
- 8ヵ月
- 通院頻度
- 1ヵ月ごと
治療内容
-
患者様の症状
-
下顎の歯のでこぼこ
-
治療法
-
下顎の拡大によるでこぼこの改善と、噛み合わせの調整の為に上の歯の移動を行いました。
また、歯と歯の間だを調整の為に少し削りました。 -
治療結果
-
気になっていた状態は改善されました。
※治療結果は患者様によって個人差があります。
治療を行う上での注意点(リスク・副作用)
後戻り・歯肉退縮・咬合の違和感
治療サービス
| 矯正の種類 | 部分矯正 / インプラント矯正 / 成人矯正 / 審美ブラケット |
|---|---|
| 矯正中の治療 | 虫歯治療対応 / 口腔筋機能療法(MFT) / 顎関節症治療 |
| その他のサービス | 抜歯対応 / 転院対応 / 矯正再治療相談 |
医院情報
| 住所 | 〒957-0067 新潟県新発田市中曽根町1-3-10 地図 |
|---|---|
| TEL | 0254-21-7667 ※お電話にてご予約・ご相談いただく場合は、「矯正歯科ネットを見た」と言っていただけるとスムーズです。 |
| 公式ホームページ |
|
| 診療時間 | 火・水・木・金・土曜 9:00〜13:00 / 14:00〜18:00
※予約:午前は12:00まで、午後は17:30まで
※往診の希望がありましたら、電話にてお気軽にご相談ください
|
| 休診日 | 月・日 |
| アクセス |
JR白新線『西新発田駅』より車で約5分 あやめバス『中曽根町1丁目』より徒歩1分 新新バイパス『新発田I.C.』より車で4分 ※駐車場完備 |









