ふじもと歯科・矯正歯科クリニック 医院HP
大阪府東大阪市西石切町3-3-26矯正治療について

矯正治療は、「不正咬合」という状態の改善を目的とした治療です。「不正咬合」とは、上下の歯が顎や歯の大きさや形・生え方によって、適切に噛み合わず、見た目の歯並びが悪い状態をいいます。歯の破折などと違い、すぐに不都合を感じるケースばかりではないため、見た目だけの問題と思って治療を諦めてしまう方もいらっしゃいますが、歯磨きのしづらさから虫歯のリスクが増えたり、一部の歯にばかり過剰な力がかかったりして、間接的に歯の寿命を縮めてしまうこともあります。 矯正治療は歯と骨が健康なら大人になってからでも可能です。当クリニックでは目立たない治療方法もご用意しておりますので、諦めずに一歩、踏み出してみてはいかがでしょうか?
当クリニックのマウスピース矯正

「歯列矯正したい」と思っていても、「矯正装置が恥ずかしい」「痛いのは嫌」「面倒くさい」と思って、なかなか踏み切れない方もいらっしゃると思います。 当クリニックではそんな方にマウスピース矯正をおすすめしております。対応できる症例は若干限られますが、透明なのでつけていても目立たず、取り外しができるのでお手入れも簡単です。また、通常の矯正治療の場合月1回程度の通院が必要ですが、マウスピース矯正の場合は2〜3ヵ月に1度の通院で済むため、忙しい方でも挑戦しやすいかと思います。
小児矯正について
生え変わりの時期のお子様の矯正治療

当クリニックでは、お子様の歯が生え変わる時期に、正常な顎の骨の成長や正しい噛み合わせを促す取り外し式の矯正装置(トレーナー)を使用して矯正治療を行っています。この時期の治療をI期治療といいます。将来のきれいな歯並びと噛み合わせのために、お子様・保護者の方とともにコミュニケーションを図りながら、治療を進めてまいります。
◆口腔筋のトレーニング装置
舌の位置、口呼吸、舌の突出しなどを改善し、より良い顔と顎の発達を促すために使用する小児用マウスピースです。お子様の歯並びは生まれつきの骨格だけでなく、口呼吸、舌の突出し、間違った飲み込み癖、指しゃぶりなども影響を与えます。この装置を使用することにより、それらの習癖を改善するための口腔筋のトレーニングを行います。
◆咬合誘導装置
同じくマウスピース型の装置ですが、寝ている時に使用することで適切な噛み合わせへと誘導するものです。主に反対咬合(受け口)の治療で使用します。
10代のお子様の矯正治療

I期治療の終了後は、ワイヤーなどを用いて歯並びを整えていきます。I期治療のみで治療が終了するケースもあります。
◆ブラケット式の矯正装置
ワイヤーを使用した矯正装置です。「矯正治療」と聞いてこの装置を思い浮かべる方も多いのではないでしょうか。金属製のギラギラとした見た目のものが有名かと思いますが、当クリニックでは透明のブラケットを使ったり、ワイヤーを白くしたりして、あまり目だない方法で矯正治療することも可能です。
◆10代のためのマウスピース矯正
目立たない矯正は大人だけのものではありません。当クリニックでは、まだ永久歯が完全に生えそろっていない10代の方のために、これから生えてくる歯のためのスペースを用意したマウスピース矯正を取り扱っております。見た目が気になる思春期の方にはもちろん、金属の出っ張りがないため、部活などでスポーツをされる方にもおすすめしています。
症例
【マウスピース矯正装置 上顎前突】






- 治療名
- マウスピース矯正装置
- 費用
- 900,000円(税抜)
- 期間
- 3年 (メンテナンス頻度 3ヶ月毎)
治療内容
-
患者様の症状
-
上顎前突
-
治療法
-
マウスピース型矯正装置にて、上顎左右第1小臼歯を抜歯して行った。
-
治療結果
-
マウスピース型矯正装置にて矯正治療を行えた。
※治療結果は患者様によって個人差があります。
治療を行う上での 注意点 (リスク・副作用)
上顎前歯が出ているので、抜歯を2本行わなければいけない。
しっかり1日20時間以上マウスピースを使用しないと治療期間が延長してしまう。
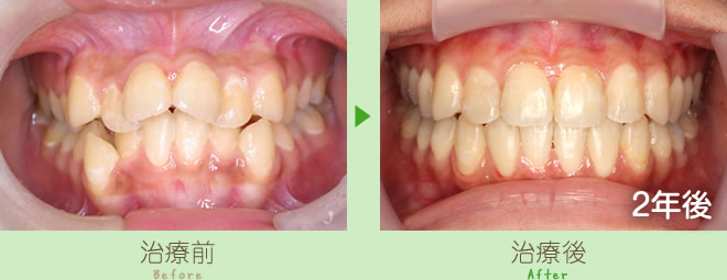
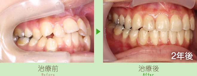
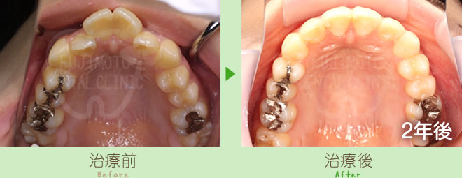
【マウスピース矯正装置 叢生 Case1】





- 治療名
- マウスピース矯正装置
- 費用
- 800,000円(税抜)
- 期間
- 約2年 (メンテナンス頻度 3ヶ月毎)
治療内容
-
患者様の症状
-
上下顎共に叢生。
-
治療法
-
マウスピース型矯正装置により、側方拡大・IPRを行い矯正を行う。
-
治療結果
-
歯を抜く事なく矯正治療を行えた。
※治療結果は患者様によって個人差があります。
治療を行う上での 注意点 (リスク・副作用)
歯と歯の間を少し削らなければいけない。
しっかり1日20時間以上マウスピースを使用しないと治療期間が延長してしまう。
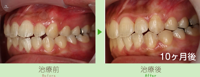
【マウスピース矯正装置 叢生 Case2】





- 治療名
- マウスピース矯正装置
- 費用
- 600,000円(税抜)
- 期間
- 10ヶ月 (メンテナンス頻度 3ヶ月毎)
治療内容
-
患者様の症状
-
下顎前歯の叢生。
-
治療法
-
マウスピース型矯正装置にて矯正を行った。
-
治療結果
-
治療内容が経度だったので10ヶ月で患者様の主訴が解決した。
※治療結果は患者様によって個人差があります。
治療を行う上での 注意点 (リスク・副作用)
下顎前歯は骨が薄い為、保定装置をしっかり使わないと後戻りが起こりやすい。
【マウスピース矯正装置 Case1】





- 治療名
- マウスピース矯正装置
- 費用
- 700,000円(税抜)
- 期間
- 1年半 (メンテナンス頻度 3ヶ月毎)
治療内容
-
患者様の症状
-
上下顎叢生
-
治療法
-
マウスピース矯正装置にて、側方拡大・IPRを行い叢生を改善。
-
治療結果
-
約1年という期間で叢生が改善された。
※治療結果は患者様によって個人差があります。
治療を行う上での 注意点 (リスク・副作用)
患者様が40代という事もあり矯正で歯並びが治るか不安を感じていた。
【マウスピース矯正装置 Case2】





- 治療名
- マウスピース矯正装置
- 費用
- 700,000円(税抜)
- 期間
- 1.5年 (メンテナンス頻度 3ヶ月毎)
治療内容
-
患者様の症状
-
上下顎叢生。
-
治療法
-
マウスピース矯正装置により、側方拡大・IPRを行い叢生を改善した。
-
治療結果
-
約1.5年で叢生が改善された。
※治療結果は患者様によって個人差があります。
治療を行う上での 注意点 (リスク・副作用)
14歳で思春期という事もありしっかりマウスピース型矯正装置を使用できるか心配だったが、問題なく使用できた。
ふじもと歯科・矯正歯科クリニックの治療サービス
- 矯正の種類
- 部分矯正 / 成人矯正
- 矯正中の治療
- 虫歯治療対応 / 口腔筋機能療法(MFT)
- その他のサービス
- 抜歯対応 / 矯正再治療相談
- 備考
- 小児矯正にも対応しています
ふじもと歯科・矯正歯科クリニックの基本情報
- 住所
-
〒579-8013
大阪府東大阪市西石切町3-3-26
- ホームページ
-
ふじもと歯科・矯正歯科クリニック
ホームページを見て、医院や治療についてもっと詳しく知りましょう! - 診療時間
-
月・木曜 9:00〜13:00 / 15:00〜19:00
火曜 9:00〜13:30
金曜 9:30〜13:00 / 15:00〜19:00
土曜 9:00〜13:00 / 14:00〜16:30※最終受付は30分前まで
※土曜午後は矯正治療のみ - 休診日
- 水・日・祝