透明なマウスピースで矯正治療

着脱可能な透明のマウスピースを装着して、歯列矯正を行っていく「マウスピース型矯正治療」は、目立ちにくいこと、日常生活を快適にお過ごしいただけることから、当院では多くの患者様に選ばれています。
患者様のお口の中の情報を専用のスキャニング・マシンで読み取り、治療前後の歯並びをコンピュータ上で3次元的にシミュレーションを作成します。
その情報を元に、患者様専用のマウスピースを歯の移動距離に合わせ20〜40個制作し、2週間ごとに交換していきます。
マウスピース型矯正治療の特徴
- 「透明なので、目立ちにくい」
無色透明の薄いプラスチックでできたマウスピースは、目立たず、口元を意識することなく生活ができます。 - 「歯の痛みが少ない」
ワイヤー矯正にあった「引っ張られる痛み」がなく、快適にお過ごしいただけます。 - 「1〜3ヵ月に1回の通院でOK」
マウスピースをご自身で2週間ごとに取り替え、歯を動かしていきますので、装置の調整なども必要もなく、通院回数も大幅に軽減できます。 - 「お食事の時は外せます」
お食事のときに装置を外しておくことで、食べ物が挟まるといった心配もありません。 - 「洗浄可能で衛生的」
装置を取り外して通常の歯磨きが行えるだけでなく、装置自体も洗浄でき、衛生的に保ちやすいです。 - 「3Dシミュレーションで治療後の歯並びを確認」
治療前に3Dシミュレーションを行い、治療後の歯並びを視覚的に確認できるので、安心して治療を開始していただけます。 - 「1回の型取りでOK」
当院では、1回の型取りで、治療完了までのすべてのマウスピースを制作することができる「マウスピース型矯正治療」を採用しており、スムーズな治療体制を整えております。 - 「生涯安心のシステム」
データベースで患者様のお口の情報を記録し、矯正治療完了後の保定期間を含めた管理体制であるため、生涯安心していただける医院システムを整えています。
当院について
当院の特徴について

当院には、患者様にご来院いただきやすい特徴がいくつかあります。
一つは通っていただきやすい立地や、診療時間です。
姫路駅から徒歩2分の立地にあり、夜19:30まで診療をおこなっていますので、学校や仕事の帰りなどにもお立ち寄りいただきやすいのではないでしょうか。
平日の来院が難しい場合も、土日も診療を行っておりますので、患者様のペースに合わせて矯正治療を受けていただけます。
カウンセリングでの取り組み

多くの患者様に矯正治療の大切さを知っていただきたいと思っています。そのため、まずは最初の入り口になる初診相談を無料で行っています。
この初診相談や、治療開始前、治療中のカウンセリングでも心掛けているのが、患者様に十分な説明と情報を提供することです。
しっかりと治療内容をご理解・納得していただいた上で実際の治療に進みます。
そのためにも、どんな些細なことでもかまいませんので、疑問などがありましたらお気軽にお尋ねください。
また、公的医療保険の適用行えない矯正治療で心配されるのが、治療に掛かる費用ではないでしょうか?
治療に掛かる総額については、治療を開始する前に提示させていただいています。また、治療費については追加料金が一切ない、治療費総額制を導入し、通院毎の治療費の請求などをなくすことを行っています。
院内の衛生管理の徹底

院内での感染症を予防し、衛生的な環境で治療を受けていただくために次のようなことに気を付けています。
- お口に入れるすべての矯正治療器具の滅菌・消毒処理
- お口の中で使用した矯正器具は薬液で血液やタンパク質などを溶かし、その後ガス滅菌
- お口の中で使用したそのほかの一般的な歯科治療用器具は使い捨ての滅菌袋に入れた後に、高圧蒸気滅菌
- 加熱できないもの(プラスチックやゴム製品)は薬液につけて消毒、歯を磨くブラシやゴムカップなどは、さらに超音波洗浄機にかけて薬液を行き渡らせる
- 口の中のクリーニングに使用したブラシやゴム製カップなどはガス滅菌器で滅菌
- ユニット(診療台)は患者様毎に清拭
- 歯を削る機械は患者様ごとにガス滅菌したものを使用
- 滅菌された器具は紫外線ランプのついた収納庫に保管
- スタッフは十分に手洗いをして、使い捨てのグローブをはめて診療
子どもの矯正治療について

当院では大人の矯正治療だけでなく、子どもの矯正治療にも力を入れています。
楽しく来院していただけるように、キッススペースの完備や、年代に合わせた治療のご提供などを行っています。
幼児の矯正治療
幼児の段階での矯正治療は、主に乳歯が並んだ状態で治療を行っていきます。
この時期に歯が斜めにはえてきたとき、次の歯がはえる隙間が足りなさそうな場合、前歯の噛み合わせが逆、といった症状は、保護者の方からすると小さなことであっても心配になるかもしれません。
この心配は大切なことです。顎の成長過程の一部であったり、目立つことに隠れて、実はもっと大きな問題が隠れていたりする場合もあるからです。
そのため、まずはお気軽にご相談ください。
子どもの成長は早いので、一つの不正咬合が次の不正咬合を招くことも珍しくありません。矯正治療のタイミングを逃さないためにも、ご相談いただき見守ることはとても大切なことだと考えています。
当院ではなるべくこの段階では歯を抜かず治療をできるように努めていますので、その点でも少し安心いただける要因になっているかと思います。
小学生の矯正治療
小学生の段階では、お子様が歯並びのことで悩まない人生を送っていただくためにも、指しゃぶりなどの悪習癖や睡眠姿勢、そのほかの様々な原因が、歯並びや噛み合わせに影響を与える場合があります。
幼児期と同じように、早い段階で気付き治療などの対応を行うことで改善に導く治療ができます。
この時期になってくると、お子様本人の協力も得られやすくなります。
中学生・高校生の矯正治療
中学生、高校生になっても矯正治療は遅くはありません。この時期は子どもから大人へと身体が成長する過渡期です。そのため、大人になる直前に矯正治療を受けられる、チャンスだとも言えます。
それだけでなく、矯正治療を通してブラッシングや口腔衛生の習慣を身につけることで、良い歯並びと健康なお口で生涯にわたって食事を楽しんでいただけることにも繋げられるかと思いますし、患者様自身のお口のコンプレックスを解消できることで、ご自身の笑顔に自信が持て、対人関係にも大きなプラスに繋げられるかもしれません。
矯正治療の内容
治療内容の充実への取り組み
当院では、患者様の治療へのご要望にできる限り応えられるように、様々な矯正治療を取り扱っています。
特に力を入れているのはマウスピース矯正ですが、それ以外にも、表側矯正、裏側矯正、インプラント矯正などを行っています。
患者様のお口の状態やお悩みに合わせて、最適と考えられる治療法をご提案させていただきます。
また、ご希望する治療法がある場合は、適用できるかは症状によりますが、お気軽にご相談ください。
また、当院では治療はすべて院長自らが行っています。
大学病院でも矯正歯科専門の医局にて7年間研鑽を積んできています。
また、公益社団法人 日本矯正歯科学会 認定医を取得していることについては、矯正歯科治療の専門的な知識を持った歯科医師であるということの、1つの基準として考えていただけるかと思っています。
歯科用CTの導入
より良い矯正治療を行うためには、患者様のお顔の骨の状態などをしっかり把握することも大切になってきます。
そのため、当院では、歯科用CT(コンピュータ断層装置)を導入することで、より良い治療を行える環境づくりにも努めています。
歯科用CTで撮影した写真は、3次元データですので、従来の2次元的なレントゲンでは分かりにくかった部分なども、容易に確認ができます。
それにより、より正確な診断に繋げることもでき、立体的な映像で確認できることで、患者様に安心していただける治療に繋げられます。
矯正治療の種類
- マウスピース矯正
-

透明のマウスピースを使用して歯を動かす治療法です。
特徴として、見た目に分かりにくいということもありますが、ほかの治療法と異なり、患者様自身が矯正装置を取り外しできるという特徴があります。
そのため、矯正治療中の口腔内のケアがしやすいというメリットがあります。
しかし、治療可能な症状には限りがあることや、場合によってはほかの治療法と併用して矯正治療を進める必要もあります。 - 表側矯正
-

マルチブラケット法とも言いますが、歯の表面に「ブラケット」という装置を張り付け、そこにワイヤーを通して少しずつ歯を動かしていく、古くからおこなわれている、一番矯正治療としてスタンダードな方法だと言えると思います。
当院では3次元的かつ精密に歯の移動をするには、表側矯正による効果の高い矯正治療をスタンダードと考えております。 - 裏側矯正
-

マルチブラケット法の一つですが、ブラケットを歯の裏側に装着するため、目立ちにくく、見た目が気になりにくい矯正治療を行えます。
目立ちにくいという利点がある反面、「舌の違和感が強くしゃべりづらい」「治療期間が表側からの矯正治療に比べると長くなる傾向がある」「費用が割高になる」などのデメリットもあります。 - インプラント矯正
-

矯正用アンカースクリューという小さなピン(インプラント)を患者様の歯茎に埋めて、ワイヤーの固定減とする方法です。
このピンを固定減にするため、効率的に歯の移動ができ、通常では動かしにくい方向にも歯を動かしやすくなったりします。
また、効率的な歯の移動ができるため矯正治療期間が従来よりも短くできる場合もあります。
※治療結果は患者様によって個人差があります。
症例紹介
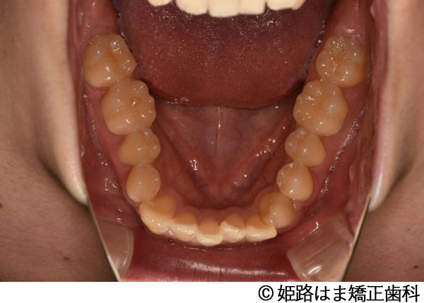
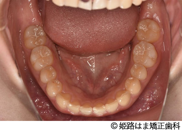
【症例】歯の凸凹(叢生)のマウスピース型矯正装置治療
- 治療前
- 治療後
- 治療名
- 歯の凸凹(叢生)のマウスピース型矯正装置治療
- 費用
- 750,000円(税抜)
- 期間
- 18ヶ月(1年6ヵ月)
- メインテナンス頻度
- 2ヶ月に1回
治療内容
-
患者様の症状
-
上下の前歯の重度の凸凹を主訴として来院されました。できるだけ抜歯を行わない矯正を希望されました。
-
治療法
-
上下の顎を側方に拡大し非抜歯での治療をマウスピース型矯正装置で行いました。
-
治療結果
-
上下の前歯の凸凹が治り、希望通り非抜歯で目立たないマウスピースで治療を行うことができ非常に満足されました。
※治療結果は患者様によって個人差があります。
治療を行う上での 注意点 (リスク・副作用)
-
リスク
-
上下前歯部の歯根吸収
-
副作用
-
治療後の後戻り
【症例】すきっ歯(叢生)のマウスピース型矯正装置治療
- 治療前
- 治療後
- 治療名
- すきっ歯(叢生)のマウスピース型矯正装置治療
- 費用
- 700,000円(税抜)
- 期間
- 12ヶ月(1年)
- メインテナンス頻度
- 2ヶ月に1回
治療内容
-
患者様の症状
-
上下の歯のすき間を主訴として来院されました。できるだけ抜歯を行わない矯正を希望されました。海外に赴任されるので1年以内に治療を終えることを希望されました。目立たない装置を希望されました。
-
治療法
-
すき間の閉鎖をマウスピース型矯正装置で行いました。
-
治療結果
-
すき間が埋まり、希望通り1年以内で目立たないマウスピースで治療を行うことができ非常に満足されました。
※治療結果は患者様によって個人差があります。
治療を行う上での 注意点 (リスク・副作用)
-
リスク
-
上下前歯部の歯根吸収
-
副作用
-
治療後の後戻り、前歯の歯肉退縮
【症例】出っ歯(叢生)のマウスピース型矯正装置治療
- 治療前
- 治療後
- 治療名
- 出っ歯(叢生)のマウスピース型矯正装置治療
- 費用
- 700,000円(税抜)
- 期間
- 18ヶ月(1年6ヵ月)
- メインテナンス頻度
- 2ヶ月に1回
治療内容
-
患者様の症状
-
出っ歯とガタガタを主訴として来院されました。できるだけ抜歯を行わない矯正を希望されました。目立たない装置を希望されました。
-
治療法
-
出っ歯、ガタガタをマウスピース型矯正装置で行いました。
-
治療結果
-
出っ歯とガタガタが歯を抜かずに治り、希望通り目立たないマウスピースで治療を行うことができ非常に満足されました。
※治療結果は患者様によって個人差があります。
治療を行う上での 注意点 (リスク・副作用)
-
リスク
-
上下前歯部の歯根吸収
-
副作用
-
治療後の後戻り、前歯の歯肉退縮
【症例】出っ歯(叢生)のマウスピース型矯正装置とマルチブラケットのコンビネーション治療
- 治療前
- 治療後
- 治療名
- 出っ歯(叢生)のマウスピース型矯正装置とマルチブラケットのコンビネーション治療
- 費用
- 900,000円(税抜)
- 期間
- 24ヶ月(2年)
- メインテナンス頻度
- 1ヶ月に1回
治療内容
-
患者様の症状
-
出っ歯とガタガタを主訴として来院されました。口元が出ているのも気にされていました。目立たない装置を希望されました。
-
治療法
-
出っ歯、ガタガタを上下顎小臼歯を抜歯しマウスピース型矯正装置とマルチブラケットを併用したコンビネーション治療を行いました。
-
治療結果
-
出っ歯とガタガタが治り抜歯を行ったことで口元もすっきりしました。希望通り目立たないマウスピースで治療を行うことができ非常に満足されました。
※治療結果は患者様によって個人差があります。
治療を行う上での 注意点 (リスク・副作用)
-
リスク
-
上下前歯部の歯根吸収、上下顎第一小臼歯の抜歯
-
副作用
-
治療後の後戻り、前歯の歯肉退縮
【症例】受け口のマウスピース型矯正装置治療
- 治療前
- 治療後
- 治療名
- 受け口のマウスピース型矯正装置治療
- 費用
- 700,000円(税抜)
- 期間
- 18ヶ月(1年6ヵ月)
- メインテナンス頻度
- 1ヶ月に1回
治療内容
-
患者様の症状
-
受け口を主訴として来院されました。目立たない装置を希望されました。
-
治療法
-
受け口をマウスピース型矯正装置で治療しました。歯を抜かずに治療しました。
-
治療結果
-
希望通り目立たないマウスピースで歯を抜かずに治療を行うことができ非常に満足されました。
※治療結果は患者様によって個人差があります。
治療を行う上での 注意点 (リスク・副作用)
-
リスク
-
上下前歯部の歯根吸収
-
副作用
-
治療後の後戻り、前歯の歯肉退縮
治療サービス
| 矯正の種類 | 部分矯正 / インプラント矯正 / 成人矯正 / 目立ちにくいワイヤー / 審美ブラケット |
|---|---|
| 矯正中の治療 | 口腔筋機能療法(MFT) |
| その他のサービス | 抜歯対応 / 転院対応 |
医院情報
| 住所 | 〒670-0927 兵庫県姫路市駅前町338WATビル2階 地図 |
|---|---|
| TEL | 079-287-4187 ※お電話にてご予約・ご相談いただく場合は、「矯正歯科ネットを見た」と言っていただけるとスムーズです。 |
| FAX | 079-287-4188 |
| 公式ホームページ |
|
| 診療時間 | 平日 11:00〜13:00 / 14:30〜19:30 土曜 10:30〜13:00 / 14:00〜19:00 日曜 10:30〜13:00 / 14:00〜17:00 |
| 休診日 | 木・祝 ※月(月3回)・日曜(月2回) |
| アクセス |
JR線・山陽電鉄線『姫路駅』より徒歩2分 提携駐車場あり(1回の診療につき1時間無料のサービス券をお渡しします。) |

















































