当院の特徴

当院はイオンモール大和郡山の1階にある歯科医院です。
目立ちにくいマウスピース矯正を中心に矯正治療をご提供するほか、一般的な歯科治療もご提供しています。
患者様をお待たせすることをできる限り少なくするため、予約制をとっております。
お買い物などの予定を合わせてご来院していただきやすいかと思いますので、お気軽に歯に関するお悩みがある場合はお気軽にご相談ください。
治療費用を抑えたい方・治療期間を短くしたい方へ
前歯だけの部分的な歯並びを改善したい場合や、より低価格で早く治療を終わらせたい方に向けて、当院では部分矯正にも力を入れています。
【当院で取り扱いのある部分矯正の特徴】
・奥歯を除く計20本に限定して治療を行う治療法です
・治療ゴールまでの歯の動きのシミュレーションを事前に確認することができます
※部分矯正に関しての相談も対応していますのでお気軽にご相談ください
当院のこだわり
治療費用の控除申請サポートを行っています
医療費控除の申請を行うことで、所得税の一部が戻ってくる場合があります。
当院では対象となる治療を受けられた方が申請を希望される場合は、控除申請サポートも行っています。
ご希望の場合はお気軽にお尋ねください。
抜歯・非抜歯の矯正治療に対応
患者様の要望を伺い、非抜歯での矯正治療が可能かを、口腔内の状況を確認し、診断させていただきます。
その上で、治療方法についての提案をさせていただきます。
マウスピース矯正とワイヤー矯正を併用した治療にも対応
マウスピース矯正だけでは歯並びを綺麗に整えることが難しい場合、ワイヤー矯正を併用した治療の提案をする場合もあります。
また、症例によっては矯正装置を併用することで、治療期間の短縮に繋がる場合もあります。
当院の矯正治療
マウスピース矯正とは

透明で目立ちにくい、マウスピース型の矯正装置を使用して歯並びを整える治療法です。
従来の装置では目立ってしまうことで、歯並びが気になるけれど矯正治療を戸惑っていたような方にも受けていただきやすい治療法です。
当院ではこのマウスピース矯正に力を入れておりますので、歯並びが気になる場合はご相談ください。
【特徴】
・透明で目立ちにくい
・食事や歯磨き時には取り外しが自由なのでストレスを軽減して治療を受けやすい
【メリット】
・透明な装置を使うので口元が目立たない
・装置を取り外して歯を清潔に保てる
・いつもどおりに食事を楽しめる
・治療計画がイメージしやすい
【デメリット】
・歯を動かすにあたり、歯科医師の指導のもと装着時間を守る必要がある
【マウスピース矯正が向いている方】
・目立ちにくい矯正治療を探している方
・お口の中の違和感を減らしたい方
・金属アレルギーをお持ちの方
・ホワイトニングも同時進行で行い、お口元全体を綺麗にしたい方
・食事中や歯磨き中に装置の取り外しをしたい方
【マウスピース矯正の治療の流れ】
- カウンセリング
- お口の中の検査・治療計画のご案内
- マウスピース矯正を作成
- マウスピース矯正の治療開始
- 定期チェック
小児矯正

噛み合わせだけではなく、見た目においても歯並びはとても重要だと考えています。
「将来、子どもの歯並びが心配…」「歯並びがガタガタで見た目が気になる…」「出っ歯が嫌」「綺麗な歯並びにしたい」などなど、当院では、悩んだり迷ったりしているお子様、親御様に丁寧にカウンセリングを行っております。
エスエイ歯科には矯正分野の先生が在籍しておりますので、矯正方法、治療期間、治療費をお気軽にご相談してみて下さい。
また、当院では小児のマウスピース矯正にも対応しています。
インプラント矯正

インプラントと聞くと大きな手術が必要になるのではないかと心配されるかもしれませんが、矯正治療用のインプラントは異なります。
「歯科矯正用アンカースクリュー」とよばれる、小さなスクリュー(ネジ)を歯ぐきの骨の部分に埋入し、歯を動かす時の固定源として用いる治療方法のことです。
矯正治療が終了すれば、このスクリューは取り外しますし、埋め込みも大規模な手術は必要ありません。
【特徴】
・治療期間の短縮が期待できる
・歯を抜かなくてすむケースが多い
・大がかりな装置の装着を防げる
※治療結果は患者様によって個人差があります。
矯正治療の症例
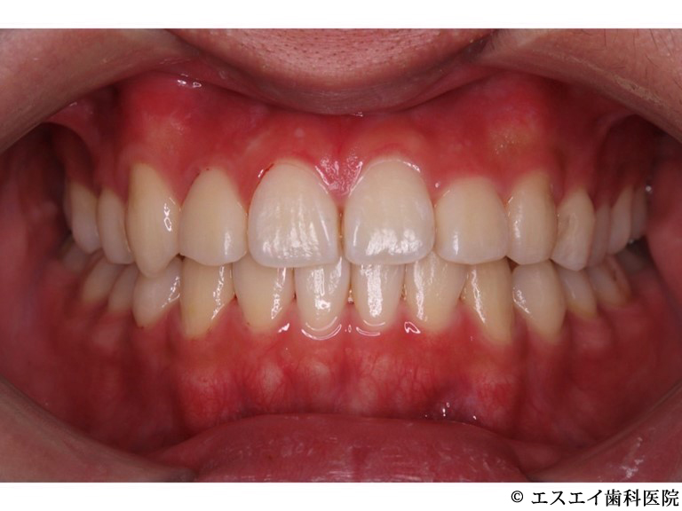
【症例1】マウスピース矯正
- 治療前
- 治療後
- 治療名
- マウスピース矯正
- 費用
- 770,000円(税込)
- 期間
- 18ヵ月(1年6ヵ月)
治療内容
-
患者様の症状
-
八重歯が気になる。
-
治療法
-
マウスピース型矯正装置を用いた矯正治療。
-
治療結果
-
上下顎の叢生が改善されました。
※治療結果は患者様によって個人差があります。
治療を行う上での 注意点 (リスク・副作用)
矯正治療による歯の移動に伴う痛み・歯根吸収。
マウスピースの装着時間を守らないと治療期間が延びる可能性があります。
【症例2】マウスピース矯正
- 治療前
- 治療後
- 治療名
- マウスピース矯正
- 費用
- 770,000円(税込)
- 期間
- 18ヵ月(1年6ヵ月)
治療内容
-
患者様の症状
-
上顎前歯の一部が下顎より内側に生えている。一部の歯が捻れて生えている。
-
治療法
-
マウスピース型矯正装置を用いた矯正治療。
-
治療結果
-
叢生・交叉咬合・捻転歯の改善に繋がりました。
※治療結果は患者様によって個人差があります。
治療を行う上での 注意点 (リスク・副作用)
矯正治療による歯の移動に伴う痛み・歯根吸収。
マウスピースの装着時間を守らないと治療期間が延びる可能性があります。
治療サービス
| 矯正の種類 | 部分矯正 / インプラント矯正 / 成人矯正 / 目立ちにくいワイヤー / 審美ブラケット |
|---|---|
| 矯正中の治療 | 虫歯治療対応 / 顎関節症治療 |
| その他のサービス | 抜歯対応 / 転院対応 / 矯正再治療相談 |
医院情報
| 住所 | 〒639-1101 奈良県大和郡山市下三橋町741イオンモール大和郡山 1階 地図 |
|---|---|
| TEL | 0743-58-6528 ※お電話にてご予約・ご相談いただく場合は、「矯正歯科ネットを見た」と言っていただけるとスムーズです。 |
| 公式ホームページ |
|
| 診療時間 | 10:00〜13:00 / 14:30〜20:00(最終受付時間 19:30)
※予約の都合により、マウスピース矯正をご希望の方は「お電話にてマウスピース矯正です」とお伝えください。
|
| 休診日 |
※年中無休 ※イオンモール休日は除く ※日曜・祝日・お正月も診察を行っています。 |
| アクセス | JR線『郡山駅』『奈良駅』・近鉄電車線『近鉄郡山駅』より直通バスで『イオンモール大和郡山』 |



