医療法人社団ティースコレクト もり矯正歯科 きたの白梅町 医院HP
京都府京都市北区北野下白梅町65![]()
当院の特徴
矯正治療のみを行う歯科医院

矯正治療において、信頼できる歯科医師を選ぶことが患者様にとって重要なことだと思います。
当院では、矯正治療に特化した歯科医師が治療を行うため、細かいところまで行きとどいた治療をご提供できるように努めています。
マウスピース矯正だけでは治療しにくい症例も、ワイヤー矯正で治療することで歯並びが綺麗に整いやすい場合もあります。また、治療期間の短縮にも繋がることも考えられます。
ワイヤー矯正での見た目が気になる方は、裏側矯正にも対応可能です。
矯正治療を受けようか考えていらっしゃる方は、お気軽にお問い合わせください。
治療のご説明とご報告
当院では、患者様になるべく疑問や不安を与えないように心掛けております。診断時に精密検査の分析結果と治療計画のご説明はもちろん、毎回の処置終了後も必ず処置の内容や経過について細かく説明を行っております。治療の進行状況、今後の展望なども詳細に分かりやすくご説明いたします。
一人ひとりの予防プログラムにより、治療中の虫歯、歯周病予防の徹底

矯正用歯ブラシなどで構成した当院オリジナル歯ブラシセットをお渡しして(初回のみ)、歯磨き指導をさせていただいております。矯正治療中の虫歯予防、歯周病予防に努めております。
なるべく歯を抜きません
特に子どもの矯正治療では、小児矯正の利点である顎の成長を生かして、永久歯が生えるためのスペースを作ることによって、なるべく歯を抜かない治療を目指しています。
痛みを抑えた治療
当院では、歯の移動に伴う痛みをできるだけ軽減するように心掛けております。治療方法や矯正装置の選択などを入念に行うことで、より痛みの少ない治療を行っております。
滅菌の徹底による清潔な医院作り

当院では、高圧蒸気滅菌器やホルムアルデヒドガス消毒器を使用し、患者様一人ひとりに滅菌・消毒した器具を使用しています。また、可能な限り使い捨て(ディスポーザブル)のものを使用することで、院内感染の予防に努めております。常に院内を清潔に保つように心掛けており、空気清浄機の設置や院内の清掃を徹底しております。
もり矯正歯科 きたの白梅町のコンセプト
当院では上記の特徴と次のようなコンセプトを掲げて、診療を行っています。
・衛生的かつ安全な環境づくり
診療ユニット、医院環境を清潔に保ち、患者様のお口に入る器具はオートクレーブを使用しています。
患者様が「より感染しにくい環境で治療がうけられる」ことを目指します。
・患者様のご意見とご要望を大切にします
当院ではカウンセリングを通じて色々な不安をお聞きし、患者様一人ひとりに合った矯正治療方法、治療期間、費用などをご説明し安心いただけるまでサポートいたします。
装置や治療方法についても、メリットだけでなくデメリットもお伝えし、より良い選択をしてご満足いただける結果へと導けるよう努めます。
どんなことでも疑問に思う事は気軽にご相談ください。
・明確な料金の提示
契約書には詳細な治療費・治療内容を記載しておりますのでご安心ください。口頭でも詳しくご説明いたしますので、すべてご確認・ご納得いただいてから治療を開始いたします。
・矯正歯科治療技術の追求
常により良い医療技術、知識の習得に努め、患者様にとって適切な矯正治療をご提供できるように努めています。
また矯正専門の歯科医院として地域の歯科医療に貢献できる医院を目指します。
当院の矯正治療
子どもの矯正治療(4〜9歳)

子どもの矯正治療では、顎の骨の成長をコントロールすることが主な治療となります。適切な位置に永久歯を誘導し、顎の成長をコントロールします。顎の成長を管理することで、将来的な歯並びの不正や虫歯を予防することができます。
大人の矯正治療(12歳〜成人)

矯正治療は、子どもの頃にするもの…と諦めていませんか?
歯は何歳からでも動きます。最近では、学生や20代、30代はもちろん、40代、50代、さらに年齢を重ねてから矯正治療をはじめられる方も多くいらっしゃいます。歳をとっても健やかで美しい笑顔は素敵なものです。当院では、患者様のライフスタイルや歯並びの状態に合わせて、様々な矯正装置をご用意しております。
裏側矯正

裏側矯正とは、外からは目立ちにくい歯の裏側に矯正装置を装着し治療を行う方法です。
患者様には見た目を気にせず治療を受けていただけ、治療中の人目も気になりにくい特徴があります。
また、歯の裏側は唾液が常に循環していることで、唾液による自浄作用や殺菌作用によって虫歯になりにくい特徴があります。
裏側矯正の場合、装置の固定源となる奥歯が動きにくく、それにより前歯を内側に移動させやすくなります。そのため、前歯が出ているような症例の場合引っ込みやすくなり治療の効果が出やすい傾向があります。
これらの理由から、不正咬合の種類や状態によっては、裏側矯正の方が表側矯正よりも治療期間が短くなる場合もあります。
表側矯正

従来から行われている矯正治療の方法で、矯正治療と聞いてイメージしていただきやすいのが表側矯正です。
歯の表面に矯正装置を取り付け、歯を動かす治療法なのですが、当院では歯に直接取り付けるブラケットという装置自体がワイヤーを保持する構造を持つセルフライゲーションブラケットを仕様しています。
これにより、ワイヤーとブラケット間の摩擦抵抗が軽減され、歯が動きやすくなります。
審美的にも配慮した装置を採用していますので、目立ちやすさが従来の金属製の装置と比べて軽減されます。
マウスピース矯正
裏側矯正同様に目立ちにくい矯正治療の方法です。
透明なマウスピース型の装置を使用し歯並びを改善していく方法で、1週間ほどで次の治療段階のマウスピースに交換しながら治療を進めます。
マウスピースは1日の装着時間を守っていただければ、患者様は好きなタイミングでマウスピースを取り外しできるため、食事や歯磨きなどは治療開始前と変わらず、食事制限や歯の磨きにくさもなく矯正治療を受けられます。
口腔内スキャナの活用
マウスピースを作製するのには歯型の採取が必要なのですが、当院では口腔内スキャナを活用することで、従来のようなシリコンなどの素材を使用せず歯型を採取できるようになりました。
患者様の採取時の不快感を軽減できるだけでなく、5分程度でコンピューター上に歯型を取り込めます。
この情報をもとに、治療開始から完了までの治療計画の検討と立案なども行えます。
インプラント矯正
裏側矯正や表側矯正と併用する、矯正装置の固定源となる歯科矯正用アンカースクリューを、一時的に顎の骨に埋め込み歯を動かす方法です。
矯正装置だけでは難しかった症例にも対応でき、非抜歯の回避、治療期間の短縮が期待できます。
アンカースクリュー自体は小さく、直径1.4〜2.0mm、長さ6〜10mm程度のものです。
素材もチタンで生体親和性のある素材なので、患者様の身体への負担も抑えられます。
口腔筋機能療法(MFT)
口腔筋機能療法(MFT)は、舌・口唇・頬筋・咀嚼筋などのお口の周りの筋肉の機能を改善することで、顎や歯列に与える圧力のバランスを整えるエクササイズです。矯正治療期間の短縮にもつながります。
舌癖などは不正咬合や矯正治療の後戻りの原因になることもあるため、口腔機能の諸問題を取り除いて、健全な口腔環境を目指します。
治療内容は患者様の状態に合わせてお口の周りの筋肉・咀嚼・嚥下・発音の訓練などからカスタマイズして構成していきます。
当院の場合、2〜4週間ごとに歯科衛生士の指導のもとレッスンを受けていただき、ご自宅で毎日トレーニングを行っていただく流れになります。
矯正治療だけでなくMFTを行うことにより形態と機能の両面からアプローチすることができるので、正常な顎や歯列の成長発育を促すとともに、矯正治療後の歯列の長期安定性を高める効果も期待できます。
※治療結果は患者様によって個人差があります。
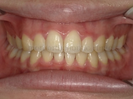
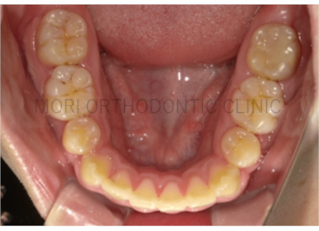
矯正治療の症例
【症例1】ブラケット矯正治療(非抜歯)
- 治療前
- 治療後
- 治療名
- ブラケット矯正治療(非抜歯)
- 患者様
- 10代 女性
- 費用
- 913,000円(税込)
- 期間
- 1年7ヵ月
治療内容
-
患者様の症状
-
歯の凸凹を気にされて来院(叢生)
-
治療法
-
表側マルチブラケット矯正にて治療。歯の裏側より、歯列を側方へ拡大する装置を使用しました。
-
治療結果
-
叢生が改善されました。
※治療結果は患者様によって個人差があります。
治療を行う上での注意点 (リスク・副作用)
歯の移動に伴う痛み、歯根吸収、歯肉退縮
【症例2】ブラケット矯正治療
- 治療前
- 治療後
- 治療名
- ブラケット矯正治療
- 患者様
- 10代後半 男性
- 費用
- 979,000円(税込)
- 期間
- 2年1ヵ月
治療内容
-
患者様の症状
-
歯の凸凹、八重歯を気にされて来院(叢生)
-
治療法
-
表側マルチブラケット矯正(白いワイヤー)にて治療。歯の裏側より、歯列を側方へ拡大する装置を使用しました。上下顎左右側第一小臼歯を抜歯しました。
-
治療結果
-
叢生が改善されました。
※治療結果は患者様によって個人差があります。
治療を行う上での注意点 (リスク・副作用)
歯の移動に伴う痛み、歯根吸収、歯肉退縮、虫歯
【症例3】ブラケット矯正治療(非抜歯)
- 治療前
- 治療後
- 治療名
- ブラケット矯正治療(非抜歯)
- 患者様
- 10代後半 女性
- 費用
- 946,000円(税込)
- 期間
- 2年4ヵ月
治療内容
-
患者様の症状
-
歯の凸凹、前歯が噛み合わないことを気にされて来院(叢生)
-
治療法
-
表側マルチブラケット矯正(白いワイヤー)にて治療しました。
-
治療結果
-
叢生が改善されました。
※治療結果は患者様によって個人差があります。
治療を行う上での注意点 (リスク・副作用)
歯の移動に伴う痛み、歯根吸収、歯肉退縮
【症例4】ブラケット矯正治療
- 治療前
- 治療後
- 治療名
- ブラケット矯正治療
- 患者様
- 20代 女性
- 費用
- 913,000円(税込)
- 期間
- 2年4ヵ月
治療内容
-
患者様の症状
-
出っ歯を気にされて来院(上顎前突)
-
治療法
-
表側マルチブラケット矯正にて治療。上顎左右側第一第一小臼歯を抜歯しました。
-
治療結果
-
上顎前突が改善されました。
※治療結果は患者様によって個人差があります。
治療を行う上での注意点 (リスク・副作用)
歯の移動に伴う痛み、歯根吸収、歯肉退縮
【症例5】小児の第一期治療(非抜歯)
- 治療前
- 治療後
- 治療名
- 小児の第一期治療(非抜歯)
- 患者様
- 8歳
- 費用
- 385,000円(税込)
- 期間
- 1年8ヵ月
治療内容
-
患者様の症状
-
歯の凸凹を気にされて来院(叢生)
-
治療法
-
拡大床を使用。前歯のみマルチブラケット矯正にて治療しました。
-
治療結果
-
叢生が改善されました。
※治療結果は患者様によって個人差があります。
治療を行う上での注意点 (リスク・副作用)
歯の移動に伴う痛み、歯肉炎、虫歯
矯正治療の流れ
-
初診相談・カウンセリング

所要時間:30分〜1時間
最初に歯並びのお悩みについて伺いますので、不安なことや分からないことなどもお気軽にご相談ください。
適切な治療開始時期や、ご相談段階で考えられる治療法・治療期間・料金について、お話を伺ったうえでご説明させていただきます。 -
精密検査
所要時間:約1時間
この段階での患者様の症状を詳細に把握し、分析・診断を行うための資料として精密検査を行います。
歯型の作成、顔・口腔内の写真撮影、レントゲン撮影、口腔内診査などが検査内容となります。 -
診断結果・治療計画の説明

所要時間:約30分
分析結果を元に、患者様に治療方法、治療期間、諸費用などについて説明を行います。
治療方法は患者様に合わせて適した方法をいくつか提案させていただきます。
その上で、患者様のご希望に合わせて実際にどの方法で治療を行うかを決定していきます。
虫歯の治療や抜歯が必要な場合は、優先順位により矯正治療前もしくは治療後にそれらの治療を受けていただく場合があります。 -
矯正治療の開始
矯正装置を装着したら動的処置(歯を動かす治療)が開始します。
治療期間中は1〜3ヵ月に1回のペースで通院していただき、ご来院時に装置やワイヤーの調整などを行います。
矯正治療中、虫歯や歯周病の炎症などを発症してしまった場合は、矯正治療を中断する場合もあります。
矯正治療中もしっかりとブラッシングをしていただき、虫歯や歯周病の予防にも努めてください。 -
保定・術後観察
治療計画に合わせて歯並びが整ったら保定期間に移行します。
保定期間もメインテナンスや経過観察のため3〜6ヵ月に1回の通院をお願いしています。
保定期間も終わり、噛み合わせの安定が確認出来たら矯正治療は終了となります。
※治療結果は個人差があります。
医療法人社団ティースコレクト もり矯正歯科 きたの白梅町の治療サービス
- 矯正の種類
- 部分矯正 / インプラント矯正 / 成人矯正 / 目立ちにくいワイヤー / 審美ブラケット
- 矯正中の治療
- 口腔筋機能療法(MFT)
- その他のサービス
- 転院対応 / 矯正再治療相談
医療法人社団ティースコレクト もり矯正歯科 きたの白梅町の基本情報
- 住所
-
〒603-8326
京都府京都市北区北野下白梅町65
- ホームページ
-
医療法人社団ティースコレクト もり矯正歯科 きたの白梅町
ホームページを見て、医院や治療についてもっと詳しく知りましょう! - 診療時間
-
月・火・水・金曜 10:30〜12:30 / 15:30〜19:00
土曜 10:30〜12:30 / 14:00〜17:00
日曜 10:00〜15:00
※日曜は月1回診療(翌月曜休診) - 休診日
- 木・日・祝







































