新井歯科 医院HP
![]()
当院の特徴
初回無料相談(30分)を実施

噛み合わせや歯並び、抜歯の有無、矯正治療の種類を確認する初回無料相談を実施しています。
丁寧なカウンセリングを心掛けているほか、矯正治療に関する不安や疑問にも丁寧に答えることを重視しています。
患者様それぞれに矯正治療方法をご提案し、その後の相談も可能です。
小児矯正から成人矯正まで、患者様の年齢や症状に合わせた矯正治療を提供しています。
JR『茨木駅』東口から徒歩2分、土曜も診療

歯科医院は、通いやすさも大切だと考えます。
当院はJR『茨木駅』の東口から東へ徒歩2分の場所にあります。
平日と土曜の9:30〜13:00、14:00〜18:30に診療を行っており、お仕事や学校の帰りにも通いやすいかと思いますので、お待ちしています。
矯正治療以外の公的医療保険診療や抜歯にも対応

矯正治療のほか、公的医療保険適用の虫歯や歯周病などの歯科治療にも対応しています。
親知らずの抜歯など外科的な処置も可能です。
矯正治療と並行して、お口全体の健康管理をサポートいたしますので、お気軽にご相談ください。
マウスピース矯正と小児矯正に力を入れています
マウスピース矯正について

当院では、目立ちにくく取り外しが可能なマウスピース矯正治療を行っています。食事や歯磨きがしやすく、金属アレルギーの心配がありません。一人ひとりの歯並びに合わせたオーダーメイドのマウスピースで、矯正治療を提供しています。
当院のマウスピース矯正の特徴
- インビザラインを使用
-
当院のマウスピース矯正ではインビザラインを使用しています。インビザラインの作用や仕組みはもちろん、患者様一人ひとりにどのように最適化していくべきかを理解した歯科医師がすべての症例を担当しますので、安心してご相談いただけると思います。
- 3Dスキャナで歯型取り
-
3Dスキャナを導入しておりますので、お口の中をスキャンすることで、不快感を抑えて精密なデータが取得できると考えます。このデータを基に、治療終了までのすべてのインビザラインを作製しますので、型取りの作業は初回の1回きりです。
スキャンしたデータを基にマウスピースが作製されますが、当院では歯科医師による丁寧なカウンセリングとレントゲンやセファロを中心とした精密な検査結果をインビザラインの設計に活かし、一人ひとりの患者様に合った矯正治療の提供に努めています。 - トータルフィー制度で追加料金なし
-
より分かりやすく、患者様のご負担を抑えたお支払いを実現するために、トータルフィー制度(治療費定額制度)を導入しています。毎月の調整料・保定管理料は不要で、治療が長引いた際も追加料金は発生しません。最初にご提示した料金で、すべての治療を行います。
矯正治療は、見た目だけでなくお口の健康も支える大切な治療であると考えますが、費用は決して安くありません。当院では、少しでも患者様のご負担を抑えるため、分割でのお支払い方法も導入しています。 - 歯を抜かずに歯並びを整えることが目標
-
矯正治療では、スペースを確保するために健康な歯(通常は小臼歯)を抜くケースがあります。どうしてもスペースが足りない場合には有効な手法ですが、やはり患者様としては「できれば抜きたくない」と思われるのではないでしょうか。私たちが矯正治療を受ける側だとしても、同じように考えます。
当院では、そういった患者様のお気持ちに応えたく、奥歯を後方に移動させてスペースを作るインビザライン矯正を行っています。できる限り歯を抜かずに、きれいな歯並びを実現することで、患者様の本当のご満足につなげたいと考えています。患者様のご希望を丁寧に伺い、精密な検査と診断に基づき、歯を最大限に残すための方法を検討して最適な治療プランのご提案に努めます。
小児矯正について

お子様の将来を考えたプレゼントとして、小児矯正は素晴らしい選択だと思います。幼少期からの矯正治療は、将来的な歯並びの悪化を防ぎ、健康な歯を維持するための基盤となり、美しい歯並びはお子様の笑顔と自信につながると考えています。
当院では、お子様の成長に合わせた最適な治療プランのご提案を心掛けています。目立ちにくい矯正装置や痛みが抑えやすい治療方法など、お子様の負担を最小限に抑えられるような治療を考えます。年齢に応じた矯正装置もご用意いたします。
また、1歳からの予防歯科にも力を入れています。お子様の成長に合わせた歯並び管理で、将来の健康な歯並びをサポートし、早期発見・早期治療でお子様の負担を軽減できればと思います。
女性歯科医師が在籍、キッズスペースを完備
女性歯科医師が在籍しており、お子様も安心して通える歯科医院だと思います。優しく丁寧に、お子様のペースに合わせて治療を進めるよう努めます。
キッズスペースも完備しており、楽しい雰囲気の中で、歯医者嫌いのお子様もリラックスして治療を受けていただきやすいと思います。
よくある質問
- なぜ矯正治療をした方がいいの? 子どもの治療はいつから?
-
歯並びや噛み合わせが悪いと、虫歯や歯周病、発音・滑舌の悪化、顎関節症、頭痛、肩こり、消化不良など、見た目以外にも様々なトラブルが生じる可能性もあります。
子どもの場合、歯並びが悪いと、成長にまで悪影響を及ぼす恐れがあり、矯正治療は早期に始めるのが良いとされます。生活習慣の改善だけで歯並びが良くなるケースのほか、顎を広げてスペースを作り、歯をきれいに並べられるケースがあります。 - 子どもの受け口は5歳までが重要なの?
-
受け口は、早期治療が重要だと考えます。5歳頃までに治療を開始すると、顎の成長をコントロールしやすく、永久歯への悪影響を最小限に抑えられるはずです。顎の成長が著しい幼児期に治療を行うことで、将来的な外科手術のリスクも減らせるでしょう。受け口は、見た目だけでなく、咀嚼や発音にも影響を与えやすいため、早期の相談が良いと思います。
- 歯並びが悪くなる癖の影響は?
-
指しゃぶりは出っ歯や開咬の原因になり、頬杖は顔の歪みや顎関節症のリスクを高めると考えられます。また、舌で歯を押す癖は、出っ歯や受け口を引き起こす可能性があります。これらの癖は、早期に改善することで、歯並びへの影響を最小限に抑えられるでしょう。
- 口呼吸になるとどうなるの?
-
口呼吸になると、口腔内が乾燥するため、細菌が繁殖しやすくなります。その結果、虫歯や歯周病、口臭のリスクが高まります。また、睡眠時無呼吸症候群やいびきの原因になるケースもあります。さらに、舌の位置が下がり、歯並びや顔の歪みにも影響を与える場合があります。
- 「プレオルソ」とは?
-
「プレオルソ」は、子どもの歯並びと顎の成長を促すマウスピース型矯正装置です。就寝中や日中の装着で、歯並びだけでなく、口呼吸や舌の癖の改善も期待できます。柔らかい素材で痛みも比較的少なく、取り外し可能なので衛生的だと考えます。
- 「インビザライン・ファースト」とは?
-
「インビザライン・ファースト」は、成長過程にある子ども向けのマウスピース型矯正装置です。透明で目立ちにくく、取り外し可能です。成長期の顎の骨格を整え、永久歯の正しい生え方をサポートするほか、痛みや違和感が少ないとされる点も特徴です。
マウスピース矯正治療の流れ
-
初診・口腔内診査(60分)

始めにご自身の歯並びや噛み合わせのどこが気になるか聞かせていただきます。そして、実際にお口の中を見て、治療前の歯並びや噛み合わせはどうか、虫歯や歯周病がないかを確認します。虫歯や歯周病がある場合は、マウスピース矯正をする前に治療を行う必要があります。
-
矯正治療用の精密検査(30分)

マウスピース矯正を始めるにあたり、様々な検査を行います。まず、実際に今の歯並びや噛み合わせはどういう状態なのか写真撮影をして記録します。また、歯並びとお顔全体のバランスを見る目的で、お顔の写真も撮影します。
写真だけでは分からない重なり具合や今後どのように歯を動かしていくかを見るために、3Dスキャナを用いて歯型の記録を行います。
歯並びや噛み合わせは、歯だけの問題ではなく、顎の骨の大きさや歯とのバランスによって決まると考えられるため、顎の骨や歯の位置を確認できるセファログラム(頭部X線規格写真)というレントゲン写真を撮ります。 -
診断・治療説明(30分)

精密検査で集めた資料を基に、現在の歯並びや噛み合わせ、顎の骨の位置・大きさを確認し、どのように歯を動かしていくか診断します。
インビザラインによるマウスピース矯正では、スキャンした歯型や口腔内写真、レントゲン写真に基づき、3D治療計画ソフトウェア(クリンチェック)により矯正治療計画を作成します。担当歯科医師が細かな修正を加えながら、患者様のお口の状態に合った最終的な3D治療計画を作成します。コンピュータ上で現在の歯並びから最終的にどのようにしていくか作成することで、矯正治療後の歯並びやどのように歯が動いていくのかをイメージしやすかったり、矯正治療に何枚のマウスピースがいるのか、治療期間がどれくらいかかるのか予測できます。
検査結果や診断内容を踏まえ、治療の流れを説明します。 -
マウスピースを作成

マウスピース矯正治療を受けることに同意していただければ、マウスピースの作成を依頼します。マウスピースが届き次第、治療が開始されます。
-
矯正治療開始・経過の確認(初回60分、その後1回30分)

マウスピース矯正をするにあたって、歯の重なりがある場合は、歯の間を少し削ってスペースを確保したり、大きく動かしたい歯にはアタッチメントという歯と同じ色のプラスチックの小さな装置をつける必要があります。
これらの処置は歯科医院で行いますが、マウスピースの装着や交換はご自身でしていただきます。マウスピースは1日に20〜22時間つけていただき、1〜2週間ほどで次のマウスピースに交換していただきます。
始めは1ヵ月に1度ほど来院していただき、きちんと歯が動いているか、マウスピースに問題はないか、つけている装置が取れていないかなどを確認します。その後、経過が問題なく順調であれば、来院していただく頻度を1〜2ヵ月に1度など長くしていきます。 -
保定・メインテナンス

すべてのマウスピースで治療した後に微調整が必要な場合は、再度歯型を取り、追加のマウスピースの作成をするケースがあります。
治療終了後、動かした歯の位置を安定させるために、リテーナー(保定装置)の使用が必要となることもあります。
また、マウスピース矯正で動いた歯が戻ったりしていないか、虫歯や歯周病がないかを定期的なメインテナンスにより確認していきます。
※治療結果は患者様によって個人差があります。
症例
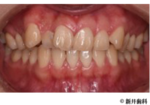
【症例1】マウピース型矯正治療による開咬(前歯が噛み合っていない)の改善
- 治療前
- 治療後
- 治療名
- マウピース型矯正治療による開咬(前歯が噛み合っていない)の改善
- 費用
- 880,000円(税込)
- 期間
- 11ヵ月
- 性別・年代
- 女性・20代
治療内容
-
患者様の症状
-
奥歯でしか噛んでいないこと(開咬)を治したいと来院されました。
この時症状はありませんでしたが、将来的に負担で奥歯が割れたり、顎関節症になるリスクがあります。 -
治療法
-
歯の重なり(ガタガタ)はそこまでなかったので、歯は抜かずにマウスピース型の矯正装置で治療を行いました。
前歯を噛み合わせるために、奥歯を沈めて高さを下げる(圧下)、前歯を噛み合うように引っ張る(挺出)ように計画しました。 -
治療結果
-
前歯も含め全体的に噛めるようになり、噛み合わせが安定しました。
※治療結果は患者様によって個人差があります。
治療を行う上での注意点(リスク・副作用)
・歯ブラシができていないと虫歯や歯周病のリスクが高くなります
・使用時間・使用方法が守られないと、治療が長くなる可能性があります
・歯を動かした後は保定装置を入れないと、後戻りする可能性があります
・歯を動かすことで、一時的な痛みが出る場合があります
・歯が動くことで噛み合わせが変化し、一時的に話しにくい・食べにくい場合があります
・歯につけている装置が外れる場合があります
・装置が擦れることで、口内炎ができる場合があります
・矯正治療により歯茎や骨が下がる場合があります
・歯の根っこが短くなる場合があります
【症例2】マウピース型矯正治療による空隙歯列(すきっ歯)の改善
- 治療前
- 治療後
- 治療名
- マウピース型矯正治療による空隙歯列(すきっ歯)の改善
- 費用
- 880,000円(税込)
- 期間
- 1年
- 性別・年代
- 男性・10代
治療内容
-
患者様の症状
-
歯の隙間が空いている(すきっ歯)が気になるとのことで来院されました。
食べ物も挟まりやすい状態でした。 -
治療法
-
歯のサイズが小さいため、セラミックも用いた形態修正による治療も考えましたが、相談の結果、マウスピース型の矯正装置で歯を動かし、隙間を閉じていくように治療を行いました。
-
治療結果
-
歯と歯の間の隙間はなくなり綺麗な歯並びとなり、審美面の回復に繋がりました。
※治療結果は患者様によって個人差があります。
治療を行う上での注意点(リスク・副作用)
・歯ブラシができていないと虫歯や歯周病のリスクが高くなります
・使用時間・使用方法が守られないと、治療が長くなる可能性があります
・歯を動かした後は保定装置を入れないと、後戻りする可能性があります
・歯を動かすことで、一時的な痛みが出る場合があります
・歯が動くことで噛み合わせが変化し、一時的に話しにくい・食べにくい場合があります
・歯につけている装置が外れる場合があります
・装置が擦れることで、口内炎ができる場合があります
・矯正治療により歯茎や骨が下がる場合があります
・歯の根っこが短くなる場合があります
【症例3】マウピース型矯正治療による叢生(ガタガタ)の改善
- 治療前
- 治療後
- 治療名
- マウピース型矯正治療による叢生(ガタガタ)の改善
- 費用
- 880,000円(税込)
- 期間
- 1年3ヵ月
- 性別・年代
- 男性・20代
治療内容
-
患者様の症状
-
全体的な歯並びのガタガタを治したいと来院されました。
-
治療法
-
スポーツをされていたため、マウスピース型の矯正装置を希望されました。
判断が難しい歯並びでしたが、相談の上で歯は抜かずに側方拡大(歯の位置の修正)、IPR(歯の大きさの修正)で改善を図りました。 -
治療結果
-
歯並びのガタガタは改善し、全体的に審美面・機能面の回復に繋がりました。
※治療結果は患者様によって個人差があります。
治療を行う上での注意点(リスク・副作用)
・歯ブラシができていないと虫歯や歯周病のリスクが高くなります
・使用時間・使用方法が守られないと、治療が長くなる可能性があります
・歯を動かした後は保定装置を入れないと、後戻りする可能性があります
・歯を動かすことで、一時的な痛みが出る場合があります
・歯が動くことで噛み合わせが変化し、一時的に話しにくい・食べにくい場合があります
・歯につけている装置が外れる場合があります
・装置が擦れることで、口内炎ができる場合があります
・矯正治療により歯茎や骨が下がる場合があります
・歯の根っこが短くなる場合があります
【症例4】抜歯を伴うマウピース型矯正治療による叢生(ガタガタ)、噛み合わせの改善
- 治療前
- 治療後
- 治療名
- 抜歯を伴うマウピース型矯正治療による叢生(ガタガタ)、噛み合わせの改善
- 費用
- 891,000円(税込)
- 期間
- 1年10ヵ月
- 性別・年代
- 女性・20代
治療内容
-
患者様の症状
-
前歯の歯並び(特に右上の八重歯)が気になるとのことで来院されました。
-
治療法
-
前歯の重なり(ガタガタ)の原因は、奥歯の位置のずれによるものと判断し、上は左右4番目の歯を抜歯する計画としました。
抜いたスペースを利用して、前歯の重なりや奥歯の噛み合わせのずれを治していきました。
抜歯を伴う場合、マウスピース型の矯正装置だとうまく歯が動かないこともありますが、患者様の希望や歯の傾きから可能と判断し、マウスピース型の矯正装置で治療を行いました。 -
治療結果
-
歯並びのガタガタや全体的な噛み合わせは改善し、審美面・機能面の回復に繋がりました。
※治療結果は患者様によって個人差があります。
治療を行う上での注意点(リスク・副作用)
・歯ブラシができていないと虫歯や歯周病のリスクが高くなります
・使用時間・使用方法が守られないと、治療が長くなる可能性があります
・歯を動かした後は保定装置を入れないと、後戻りする可能性があります
・歯を動かすことで、一時的な痛みが出る場合があります
・歯が動くことで噛み合わせが変化し、一時的に話しにくい・食べにくい場合があります
・歯につけている装置が外れる場合があります
・装置が擦れることで、口内炎ができる場合があります
・矯正治療により歯茎や骨が下がる場合があります
・歯の根っこが短くなる場合があります
【症例5】マウピース型矯正治療による子どもの叢生(ガタガタ)の改善
- 治療前
- 治療後
- 治療名
- マウピース型矯正治療による子どもの叢生(ガタガタ)の改善
- 費用
- 440,000円(税込)
- 期間
- 6ヵ月
- 性別・年齢
- 男性・9歳
治療内容
-
患者様の症状
-
右上を中心に歯の重なりがあり、歯磨きがしにくい、見た目が気になる状態でした。
上と下の前歯の噛み合わせが逆になっており、顎の動きに制限もありました。
このままだと歯並びだけではなく、顔面の成長にも悪影響が出ると思われます。 -
治療法
-
子どもで乳歯から永久歯への生え変わりがあるため、前歯が生え変わるまでしばらく様子を見て、矯正治療を開始しました。
歯に固定する金属の装置も検討しましたが、相談の上、マウスピース型の矯正装置で治療を行いました。 -
治療結果
-
歯並びや噛み合わせが整い、審美面・機能面の回復に繋がりました。
※治療結果は患者様によって個人差があります。
治療を行う上での注意点(リスク・副作用)
・歯ブラシができていないと虫歯や歯周病のリスクが高くなります
・使用時間・使用方法が守られないと、治療が長くなる可能性があります
・歯を動かした後は保定装置を入れないと、後戻りする可能性があります
・歯を動かすことで、一時的な痛みが出る場合があります
・歯が動くことで噛み合わせが変化し、一時的に話しにくい・食べにくい場合があります
・歯につけている装置が外れる場合があります
・装置が擦れることで、口内炎ができる場合があります
・矯正治療により歯茎や骨が下がる場合があります
・歯の根っこが短くなる場合があります
新井歯科の治療サービス
- 矯正の種類
- 部分矯正 / インプラント矯正 / 成人矯正 / 目立ちにくいワイヤー / 審美ブラケット
- 矯正装置の種類
- インビザライン / プレオルソ
- 矯正中の治療
- 虫歯治療対応 / 口腔筋機能療法(MFT) / 顎関節症治療
- その他のサービス
- 抜歯対応 / 矯正再治療相談



























