顎変形症による外科矯正について
顎変形症とは
顎の骨の大きさや位置の異常により、顔面の変形や噛み合わせ・発音などの機能に支障をきたしている状態のことをいいます。
例えば下記のような状態です。
- 顎が大きく前に出ている
- 極端に前歯が出ている(出っ歯)
- 発音がしにくい
外科矯正とは
外科手術を併用して矯正治療を行うことをいいます。
矯正治療だけでは難しい顎のずれや噛み合わせを外科手術で改善し、歯列を矯正治療で整えます。
当院の矯正治療の特徴
目立ちにくい矯正装置の採用
当院では、患者様のご要望に沿った治療を行えるよう複数の矯正装置をご用意しています。
透明なブラケット矯正

「ブラケット」という装置を歯の表面に固定し、そこにワイヤー通して調節をしながら歯を動かしていく治療法です。「ブラケット」は透明なものをご用意していますので、通常のブラケットに比べて目立ちにくいことが特徴です。
歯の裏側に装着するブラケット矯正

「ブラケット」を歯の裏側に固定し、そこにワイヤーを通して歯を動かしていく治療法です。歯の裏側に装着するので周りの人に気付かれにくく、お仕事やイベントなどで見た目を考慮される方におすすめの装置です。
マウスピース矯正

プラスチック製のマウスピースを使って歯を動かす治療法です。従来の矯正治療と比べて取り外しができ、目立ちにくいことが特徴となります。食事の際や歯磨きの際に取り外しができることで、衛生面を保つことができる点も人気の理由になります。
患者様の立場に立った治療計画
患者様の生活にできるだけ支障が出ないように考慮しながら治療計画をご提案します。人前に立つお仕事の方にはなるべく目立ちにくい装置をご提案したり、装置を装着する習慣づけにご不安な方には、固定のブラケット矯正をお勧めしています。当院は女性医師が治療を行うため、女性の方も相談しやすい環境だと思います。
機能面にこだわった矯正治療
見た目の美しさはもちろんですが、生涯しっかり歯が機能する歯列を作ることも重要視しています。歯並びだけでなく、噛み合わせにお悩みの方も矯正治療は選択肢の一つです。
痛みに配慮した治療
痛みが怖いという方のために、治療の進め方も患者様お一人ひとりに寄り添って進めていきます。また、矯正装置もマウスピース矯正は比較的ゆっくり歯を動かすため痛みを感じにくく、ブラケット矯正ではなるべく痛みが出にくい形状記憶合金ワイヤーを用いるなど、十分に配慮に努め、工夫しながら治療を行っています。
裏側(舌側)矯正について
裏側(舌側)矯正とは

矯正装置を歯の裏側に装着し、歯を動かす歯列矯正の一種です。歯の表面に装着する表側矯正と比べて、装置が目立ちにくく、周りの人に気づかれにくいことが特徴です。
お仕事やイベントで見た目を考慮される方には向いています。
裏側(舌側)矯正の種類
上下ともに歯の裏側に装置をつけるフルリンガル
上下の歯ともに裏側に装着するため、装置が見えづらく、気づかれにくい点が大きな魅力です。抜歯が必要なケースや症状が複雑なケースなど、幅広い症状に適応できます。
上の歯だけ裏側に矯正装置を装着し、下の歯は表側に矯正装置を付けるハーフリンガル
周りの人から見えやすい上の歯のみ裏側に装着し、下の歯は表側に装着します。舌にあたりやすい下の歯は表側に矯正装置があるので、フルリンガルに比べて違和感が軽減されやすいです。
裏側(舌側矯正)のメリット・デメリット
メリット
- 歯の裏側に装着するため、周りの人に気づかれにくい
- 表側矯正と変わらない治療期間で治療できる
- 歯の表面のエナメル質や虫歯の心配が比較的少ない
デメリット
- 発音しづらいことがある
- 歯の裏側は見えづらいため、歯みがきが難しい
マウスピース矯正について
マウスピース矯正とは

マウスピース矯正は、特殊なプラスチックのマウスピースを使って歯を動かす歯列矯正の一種です。従来の矯正治療と比べて矯正装置が目立ちにくく、痛みが少ない傾向にあって取り外しができる、生活への負担を軽減した矯正治療方法です。
オーダーメイドでマウスピースを作成し、一定期間装着することで歯を動かし、歯並びや噛み合わせを改善していきます。
マウスピース矯正で治療できる歯並び

マウスピース矯正は、以下のような歯並びでお悩みの方におすすめです。
- ガタガタな歯並び
- 出っ歯
- すきっ歯
- ディープバイト
- 開咬
矯正歯科の担当歯科医師が患者様のお口の中を診察したうえで、適切な治療法を選択する必要があります。マウスピース矯正は、歯並びの問題が軽度の場合には効果が期待できますが、重度の場合は従来の矯正治療が必要になることもあります。
マウスピース矯正のQ&A
マウスピース矯正は痛いですか?
プラスチックでできたマウスピースを使用するため、従来の矯正治療に比べて痛みが少ないとされています。治療を始めた直後は違和感や口内の圧迫感が生じることもありますが、徐々に慣れていきます。
マウスピース矯正の治療期間はどのくらいですか?
軽度の治療であれば数ヶ月から半年程度で改善される場合がありますが、患者様の状態により治療期間は異なります。歯並びの問題が重度の場合は従来の矯正治療が適している場合もあり、すべてのケースでマウスピース矯正が適応できるわけではありません。歯科医師と相談して、治療方法を決定する必要があります。
マウスピース矯正中に注意することを教えてください
口内を清潔に保つよう注意し、マウスピースを外す際は力を入れすぎないようにしましょう。マウスピースの紛失にも注意が必要です。担当歯科医師の指示に従い、適切な食事や飲み物を摂り、マウスピースを外したら清潔な場所で保管するようにしましょう。また、スポーツや楽器を演奏するときにはマウスピースを外すことができますが、事前に担当歯科医師に相談するようにしましょう。マウスピース矯正は、どのような歯並びの治療に向いていますか?
軽度から中等度の歯並びの問題に対して効果が期待できる治療方法です。おもに、前歯が出っ歯気味、前歯の間隔が狭い、歯が重なっている、歯並びが乱れているなどの軽度から中等度の矯正治療に適しています。歯の移動範囲が限られるので、重度の歯並びの改善には適しません。
マウスピース矯正中の通院回数はどのくらいですか?
症状や治療の進行具合によって異なりますが、通常は1〜2ヶ月に1回程度、歯科医師の診察を受ける必要があります。診察では、マウスピースの状態と治療の進行度の確認を行います。※治療結果は患者様によって個人差があります。
矯正治療の症例
【症例1】外科矯正
- 治療前
- 治療後
- 治療名
- 外科矯正
- 費用
- 285,870円(税込)
- 期間
- 2年2ヵ月
- 通院
- 1ヵ月ごと
- 患者様
- 女性 19歳
治療内容
-
患者様の症状
-
下顎が小さく、いびきがひどく、学生生活を楽しめない。
-
治療法
-
上下の第一小臼歯を抜歯、メタルブラケットで歯列矯正を行い、外科矯正により根本的に顎の位置を整えた。
-
治療結果
-
いびきは消失し、噛み合わせ・顔貌の改善が見られました。
※治療結果は患者様によって個人差があります。
治療を行う上での 注意点 (リスク・副作用)
手術後1〜2週間程度入院が必要で、一時的に顎に知覚鈍麻が起きることもある。
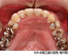
【症例2】アンカースクリューを用いた舌側矯正
- 治療前
- 治療後
- 治療名
- アンカースクリューを用いた舌側矯正
- 費用
- 1,488,300円(税込)
- 期間
- 2年4ヵ月
- 通院
- 1ヵ月ごと
- 患者様
- 女性 25歳
治療内容
-
患者様の症状
-
歯がガタガタしていて噛み合っていない、見えにくいリンガルブラケットで治療をしたいと来院されました。
-
治療法
-
叢生を治すため小臼歯抜歯をし、上顎前突傾向を治すためにアンカースクリューを用いリンガルブラケットで治療。
-
治療結果
-
見た目を気にせず矯正治療を行うことができました。歯はきれいに並んで、噛み合わせもよくなりました。
※治療結果は患者様によって個人差があります。
治療を行う上での 注意点 (リスク・副作用)
歯茎が薄く、また喫煙習慣があるため、歯肉退縮やブラックトライアングルが生じるリスクがある。
リンガルブラケットに付着した歯垢が歯石になるとブラケット破損などの支障のため治療が遅延する。
【症例3】舌側矯正(上下)
- 治療前
- 治療後
- 治療名
- 舌側矯正(上下)
- 費用
- 1,637,900円(税込)
- 期間
- 3年1ヵ月
- 通院
- 1ヵ月ごと
- 患者様
- 男性 31歳
治療内容
-
患者様の症状
-
受け口で見た目が悪い。上の歯が内側に入っている。目立たない治療がしたいと来院。
-
治療法
-
上下の第二小臼歯を抜歯し、上下リンガルブラケットにより内側に入っている歯を前に出し歯列を整えた。
-
治療結果
-
目立たずに治療できました。難しいケースでしたが、噛み合わせの安定・見た目の回復が行えました。
※治療結果は患者様によって個人差があります。
治療を行う上での 注意点 (リスク・副作用)
治療済みの歯が多く、カリエスリスクが高く、虫歯になりやすい。
成人男性は骨が硬く歯が動きにくい傾向がある。
【症例4】マウスピース矯正治療
- 治療前
- 治療後
- 治療名
- マウスピース矯正治療
- 費用
- 1,043,350円(税込)
- 期間
- 1年8ヵ月
- 通院
- 2ヵ月ごと
- 患者様
- 女性 22歳
治療内容
-
患者様の症状
-
前歯のがたつきが気になる。
-
治療法
-
前歯部をIPR(歯を少し削り揃えるようにすること)により、歯を抜くことなくカスタムメイド型アライナー(マウスピース)で治療しました。
-
治療結果
-
目立たず矯正治療をできました。抜歯せず比較的短期間でガタガタと噛み合わせを回復できました。
※治療結果は患者様によって個人差があります。
治療を行う上での 注意点 (リスク・副作用)
ブラックトライアングル・知覚過敏・短根・歯髄炎による変色及び失活・歯根露出による歯肉退縮が起こることがあります。
治療サービス
| 矯正の種類 | インプラント矯正 / 成人矯正 / 目立ちにくいワイヤー / 審美ブラケット |
|---|---|
| 矯正中の治療 | 顎関節症治療 |
| その他のサービス | 抜歯対応 / 転院対応 |
医院情報
| 住所 | 〒530-0013 大阪府大阪市北区茶屋町3-14大西茶屋町ビル5階 地図 |
|---|---|
| TEL | 06-6485-7208 ※お電話にてご予約・ご相談いただく場合は、「矯正歯科ネットを見た」と言っていただけるとスムーズです。 |
| 公式ホームページ |
|
| 診療時間 | 月・水・金曜 10:30〜13:00 / 14:30〜19:00 土・日曜 9:00〜13:00 / 14:00〜17:30 |
| 休診日 | 火・木・祝 |
| アクセス |
阪急電鉄『大阪梅田駅』より徒歩3分 御堂筋線『梅田駅』より徒歩7分 JR『大阪駅』より徒歩9分 |























