当院のコンセプト

当院では、患者様が矯正治療を受けた後失敗や後悔を感じていただかないように努め、歯列矯正と合わせた総合的な歯科治療を大切にしています。
例えば、虫歯や歯周病が進行していて、矯正治療だけでは難しいケースなどが考えられます。
その際には噛み合わせに関する診断をベースとした、矯正治療以外の治療法を提案する場合もあります。
また矯正治療では、歯を綺麗に並べるだけではく、お顔の形や噛み合わせ、歯茎や骨の状態、歯の健康状態などを多角的に診断することで、治療後も口腔内の健康な状態を持続させることを大切にしています。
このため、矯正治療を受けたことがあり、再び歯並びが乱れてしまった患者様からのご相談もいただくことがあり、矯正治療のやり直し(再治療)を希望させる方にもご相談していただける環境を整えています。
当院の院長はマウスピース矯正治療の指導なども行っていて、身につけてきた技術・経験をほかの歯科医師に共有するような活動にも参加しています。
だからこそ、マウスピース矯正を希望される場合は、難しいと診断を受けたことがあるようなケースでも、適切な治療のご提案をできる限りしたいと考えています。
お気軽にご相談いただきたいと思っています。
当院のマウスピース矯正治療の特徴
オンライン診断に対応

矯正治療を考えている方に当院ではオンラインの診療システムを導入することで、自宅や仕事場、休憩時間などお気軽にカウンセリングを受けていただけるように努めています。
とりあえず話を聞いてみたい方にもお気軽にご利用ください。
また通院の負担軽減にもオンライン診断は活用できます。
忙しく、医院に来る時間が取りにくい方、来院回数を減らして無理なく矯正治療を受けたい方にもご利用いただけると思います。
【オンライン診断でできること】
・初診カウンセリング
・治療中の経過観測
【治療の可否について】
オンラインでのご相談でも、矯正治療が可能かを判断することは可能です。
また治療の可否だけでなく、抜歯が必要か、治療期間・費用の目安などもお伝え可能です。
これらは矯正治療を実際に受けるかの判断にも関わってくると思いますので、検討のためにもご確認ください。
ただ、最終的な治療可否の判断や治療方針の決定、お見積りの確定はオンラインではできません。
最終的な診断をご希望の場合は、ご来院いただき精密検査を行って診断結果をお伝えさせていただきます。
治療の流れ(オンライン相談を活用)
-
オンライン相談
ビデオ通話を利用したオンライン診療システムを活用した初診カウンセリングを行います。
お口のお写真の事前提供や、相談中も映像越しに口腔内を診断することで、治療の可否の判断を行います。
マウスピース矯正のみでの治療を希望している場合や、抜歯が必要か知りたいなど、ご要望についてもお話しください。
オンライン相談後は、じっくりとお伝えした情報をもとに治療を受けるかをご検討ください。
治療を受けたいと思った場合は、予約を取っていただき、精密検査のためご来院ください。 -
精密検査・治療計画・見積り

正確な治療計画や見積もりを立てるための精密検査として、レントゲン検査、CT撮影、口腔内のスキャンなどを行います。
精密検査の結果に応じて、見積りや治療計画に変更が生じる場合もあるため、結果を元に治療を受けるか、受けないかなどを決めていただけます。当院から無理な勧誘などはしていませんので、安心して治療を受けるか検討してください。 -
治療開始
治療開始後も、通院が難しい・経過に問題が無い場合、通院頻度を減らしてオンライン診察を受けていただけます。
患者様の状況に合わせた柔軟な対応に努めていますのでお気軽にご相談ください。
ほかの治療法と矯正治療の併用
セラミック治療との併用
矯正治療では歯並びを改善することは可能ですが、歯の形・色を変えることはできません。
そのため、当院では矯正治療後に、審美的な見た目の改善を希望される方には、セラミック治療との併用をご紹介する場合があります。
一本ずつの歯のクオリティにこだわりたい方はご検討ください。
歯茎が薄い・下がっている場合の矯正治療

患者様によっては元々歯茎が薄い場合、矯正治療の影響で歯肉退縮が起こってしまう場合があります。
そのため歯肉退縮が起きにくい治療や、必要に応じて歯周形成外科分野での治療にも対応しています。
歯肉退縮を防ぐために当院では歯科用CTとシミュレーションソフトを活用し、歯の根が骨から逸脱しないように治療計画を調整しています。
それでもどうしても、歯肉の状態や歯のポジションによって調整が難しい場合などもあります。
そういったケースや元々歯の根の部分が歯肉から露出してしまっている場合は、根面被覆術と呼ばれる歯肉の移植手術を行う場合があります。
※治療結果は個人差があります。
矯正治療の症例
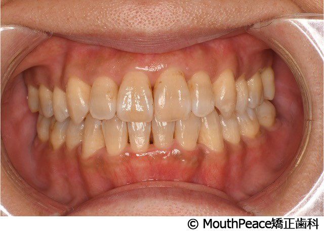
【症例1】八重歯、叢生
- 治療前
- 治療後
- 治療名
- 八重歯、叢生
- 費用
- 880,000円(税込)
- 期間
- 1年10ヵ月
- 通院頻度
- 3ヵ月ごと
- 患者様の性別・年齢(年代)
- 20代女性
治療内容
-
患者様の症状
-
八重歯、ガタガタが気になる。他医院ではワイヤー矯正が望ましいと診断を受けたが、目立たない装置を希望され、セカンドオピニオンで来院。
-
治療方法
-
ガタガタが大きく、歯を並べるスペースが不足しているため、上下左右の前から4番目の歯を抜歯して矯正治療を行いました。装置はマウスピース型の矯正装置のみ使用
-
治療結果
-
八重歯、ガタガタの改善
※治療結果は患者様によって個人差があります。
治療を行う上での注意点(リスク・副作用)
矯正治療による歯の移動に伴う痛み、歯根吸収、歯肉退縮
【症例2】八重歯、叢生
- 治療前
- 治療後
- 治療名
- 八重歯、叢生
- 費用
- 880,000円(税込)
- 期間
- 1年6ヵ月
- 通院頻度
- 3ヵ月ごと
- 患者様の性別・年齢(年代)
- 40代女性
治療内容
-
患者様の症状
-
八重歯が気になる、上下の真ん中のズレも気になる。
-
治療方法
-
前から4番目の歯を抜歯し、マウスピース矯正で治療
-
治療結果
-
八重歯、ガタガタの改善
※治療結果は患者様によって個人差があります。
治療を行う上での注意点(リスク・副作用)
矯正治療による歯の移動に伴う痛み、歯根吸収、歯肉退縮
治療サービス
| 矯正の種類 | 部分矯正 / 成人矯正 / 目立ちにくいワイヤー / 審美ブラケット |
|---|---|
| その他のサービス | 矯正再治療相談 |
医院情報
| 住所 | 〒580-0021 大阪府松原市高見の里3-2-5 地図 |
|---|---|
| TEL | 072-349-4117 ※お電話にてご予約・ご相談いただく場合は、「矯正歯科ネットを見た」と言っていただけるとスムーズです。 |
| 公式ホームページ |
|
| 診療時間 | 月・火・木・金・土曜 09:30〜17:30 |
| 休診日 | 水・日・祝 |
| アクセス | 近鉄南大阪線『高見ノ里駅』より徒歩2分 |



