イーライン矯正歯科 医院HP
東京都千代田区九段南2-5-7![]()
裏側(舌側)矯正に特化した医院
当院について

装置が目立たない、人に知られずに治療ができるなど、患者様のニーズにお応えするため、裏側からの治療に取り組み、独自に研究開発を行ってまいりました。
1988年には裏側矯正専門のクリニックを開院し、裏側からの見えない矯正治療を普及してまいりました。
当院の裏側矯正について

当院の院長である竹元 京人は裏側矯正の第一人者で、裏側矯正装置をはじめ、数多くの技術を考案してまいりました。
その中でも院長が開発した最新の裏側矯正装置は日本ではもちろん、世界中のクリニックで採用されております。
この技術により、治療中の痛みの軽減などのメリットを実現することができました。
最先端の矯正装置を使用

1980年代、装置の問題や治療の複雑さ・難しさにより、まだ裏側矯正が日本はもとより、世界でも普及していなかった頃、当院の院長竹元は、この問題を解決するため、単身渡米し、当時のアメリカで行われていた裏側矯正装置の開発チームの一員となり、治療法を共有、帰国後、この吸収してきた技術をもとに、より機能的で患者様とって快適な独自の装置を開発しました。この開発した装置が超小型裏側矯正装置で、裏側矯正装置の難点だった口腔内のスペースが狭く違和感が感じる、食事・歯磨きがしにくいなどの問題を解消することができました。長年の裏側矯正の悩みを解消する装置として日本ばかりでなく、世界でも支持を受ける装置となっております。
当院の治療環境
当院の治療環境

当院は明るく近未来的な雰囲気が漂うデザイン空間となっており、快適なユニットでリラックスして治療を受けていただけます。話し声も漏れない作りとなっておりますので、プライバシーの点でも安心して治療を受けていただけます。
歯科用CTを完備しておりますので、こちらで撮影した画像を三次元データに出力し、診断を分かりやすくお伝えできるようにしております。
衛生面でも毎回の手洗いはもちろん、治療器具なども感染が起きないよう、滅菌処理を施し、患者様がお使いになるコップやエプロンもすべて使い捨てにしております。院内感染の防止に細心の注意を払っております。
矯正治療の流れ
【1】 初診相談(約30分)

歯並びに関して気になっていること、お悩みなどをお伺いし、治療に対するご要望などをお受け致します。実際の治療の具体的な内容についてもご説明することができます。疑問点、心配されている点などお気軽にご相談ください。
【2】 検査(約1時間)

患者様の口腔内の検査を行います。検査内容は口腔内写真撮影、レントゲン撮影(デジタルレントゲン装置を使用)、CT撮影、上下の歯型の採取、噛み合わせの検査などです。
【3】 治療計画のご説明(30分〜1時間)

検査結果をもとに、患者様に適した治療計画をたてていきます。患者様から採取した歯型から模型を作製し、それをお見せしながら具体的な治療方法や期間をご説明します。費用や支払方法などについてもこの時点でご説明しますので、わからない点はなんでもご質問ください。
【4】 歯磨き指導・口腔内清掃(1時間〜)

治療に入る前に歯磨き指導及び、口腔内清掃を行います。 治療期間中に虫歯や歯周病にならないよう、正しい歯磨きの方法を歯科衛生士がご説明致します。この後、口腔内を清掃して装置を着ける準備を致します。
【5】 矯正装置装着(2時間)

矯正装置を装着致します。口腔内に使用する装置は歯を正しい位置へ移動させるために、適切な力がかかるように設計されています。装置は一本一本の歯に接着させますが、すべての歯に装着するまでに約2時間かかります。
【6】 歯の移動期間(1年〜2年半)

装置装着後は4〜8週間ごとに来院していただき、装置の調整を行います。1回にかかる時間はおよそ15分から1時間程度です。治療期間は、患者様の顔の骨格や歯並びの難易度によって大きくかわりますが、目安としては、でこぼこな歯並びの患者様の場合、1年から2年半くらいかかります。最新の超薄型裏側矯正装置では、毎回の調整にかかる時間及び、治療期間も以前に比べて短縮され、痛みなども軽減されるなど患者様のご負担が格段に軽減されています。
【7】 保定と定期検診(1年半〜2年半)

歯の移動が完了すると、すべての装置をはずして治療終了となります。これ以降は保定といって、移動した歯のあと戻りを防ぐためにリテーナーという着脱できる保定装置を装着していただき、歯列を安定させます。歯列の安定には約2年前後かかります。装置をはずしたあとは3ヵ月から半年に1回、受診していただき、歯列や噛み合わせのチェック、口腔内清掃など定期検診を受けていただくようにしております。
矯正治療例
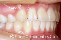
Case 1 叢生(歯のでこぼこ)
![]() |
![]() |
|
| ▲ 治療前 | ▲ 治療後 |
|---|
歯を抜かないで治療したケースです。でこぼこの量にもよりますが、歯を抜かずに治療を行う事のできるケースもあります。治療期間は16ヵ月です。
※治療結果は患者様によって個人差があります。
Case 2 上顎前突(出っ歯)
![]() |
![]() |
|
| ▲ 治療前 | ▲ 治療後 |
|---|
上の歯が前に出ているケースです。上の歯のみ2本歯を抜いて治療しています。上の前歯が下の前歯にあたるところまできれいに下がってきています。治療期間は24ヵ月です。
※治療結果は患者様によって個人差があります。
Case 3 下顎前突(受け口)
![]() |
![]() |
|
| ▲ 治療前 | ▲ 治療後 |
|---|
前歯の噛み合わせが逆になっている受け口の症例です。上下左右4本歯を抜いて治療しました。治療期間は26ヵ月です。
※治療結果は患者様によって個人差があります。
イーライン矯正歯科の治療サービス
- 矯正の種類
- 成人矯正
- その他のサービス
- 転院対応 / 矯正再治療相談





