当院のマウスピース矯正の特徴
吉本歯科医院の特徴

当医院は、噛み合わせの治療に特化した歯科医院です。歯並びを「心と身体の健康に大きく関与するもの」として考え、機能面と審美面の両方を大切に扱っています。
知識や技術の研鑽を重ねています

治療を担当する吉本彰夫院長は、複数の学会などに参加し、知識・技術を身につけるために日々研鑽を積んでいます。
日進月歩の歯科医療に合わせて、努力を怠らず、より良い治療をお届けしたいと思っています。
目立ちにくい矯正治療に力を入れています

歯並びの問題は、機能面もそうですが、見た目に影響のあるデリケートな問題だと思います。
「できるだけ周囲に気付かれずに治療したい」という方もいらっしゃるでしょう。また、金属製の矯正装置をつけるのが恥ずかしいと治療を躊躇している方もいらっしゃるのではないでしょうか。
当医院では、目立ちにくい矯正治療に力を入れています。
歯になじむ色の装置を使用する方法だけでなく、歯の裏側につけることで、装置自体が正面から見えにくいようにする方法や、金属を一切使用しない透明なマウスピースを用いる方法などをご用意しています。
治療方法は一人ひとりのライフスタイルに合わせたご提案をできるように努めています。お気軽にご相談ください。
専任のコーディネーターが患者様の治療をサポート

当院には専任のコーディネーターが在籍しています。
コーディネーターは初診時から治療計画、治療最終ゴール、そして状態を維持するメインテナンスまで一人ひとりの患者様に寄り添ったサポートをさせていただけるように努めています。
安心してご相談いただきたいと思っています。
精密さに配慮した診断と治療計画で患者様のお悩みに対応

マウスピース矯正は、機材があれば歯科医院を選ばなくても治療を受けられるので、価格が安い方がいいと考える方もいるかと思います。
しかし、診断結果などによって仕上がりや治療期間が異なってくるとも考えられます。
患者様によっては、過去の治療に関してのお悩みをご相談いただくことがあります。
当院の院長はマウスピース矯正治療を取り扱うようになって2023年時点で15年目となります。
そんな院長が患者様の歯をより美しい歯並びに仕上げられるように尽力したいと思っています。
無料相談も実施していますので、マウスピース矯正に興味がある方にご相談いただきたいと思っています。
マウスピース矯正治療に特化した医療設備

吉本歯科医院ではマウスピース矯正用の歯型の採取に、3D口腔内スキャナを導入しています。
3D口腔内スキャナでは精密な歯型データの採取が可能となります。
これは従来のアナログ式の方法よりも、精度の高いマウスピース矯正用の装置を作成することにも繋がります。
スキャニングしたマウスピース矯正装置の歯型はその場で確認することができ、治療完了後のイメージをモニター越しにご確認いただくこともできます。
これにより、治療開始前に、歯並びの改善後のイメージを持っていただくことができるかと思います。
3D口腔内スキャナについて

歯型の採取において、従来のアナログ式ではシリコン製の印象剤を使用していました。
これは固まるまでに時間がかかり、また固まるまでシリコンの感触が不快に感じるという方もいらっしゃいました。
3D口腔内スキャナは採取時間も短く済み、これらのデメリットの解消に繋がります。
また、うまく歯型が取れなかった場合もすぐ再取得が可能です。
当院で採用しているマウスピース型矯正装置は院内で作製しています。
これにより、アナログ式に比べて、歯型のデータを矯正装置の作製元に送ることが不要で、その分、1〜2週間程治療開始時期の短縮に繋がります。
また画面上で歯型データやシミュレーション画像をご覧いただくことができることから、様々な角度で確認できます。
これにより、治療開始前に説明を聞くだけでは分かりにくい治療のイメージを持っていただきやすくなり、患者様に納得していただける治療のご提供に繋がると考えています。
来院回数を抑えての治療も可能

当医院ではマウスピース矯正において、患者様の貴重な時間を無駄にしないような取り組みも行っています。
歯型のスキャニングを一回行うと、治療終了までの全てのマウスピース装置を作製することができます。
患者様が来院された時に、次回までに使用していただくマウスピース装置をお渡しさせていただきます。
これによって、マウスピース1個の使用期間である2週間が過ぎたら、ご自身で次の段階の物に交換していただけます。
そのため、次回のご来院は1ヶ月後になり、頻繁な通院での負担軽減に繋がります。
マウスピース矯正の流れ
-
初診

まず専任のカウンセラーが患者様のお悩みや希望する治療についてを伺います。
さらに希望される方には、お口の中を撮影し、その写真をご覧いただきながら説明を行っていきます。歯科医師がお口の中の状態を拝見した後、マウスピース矯正を行う上で抜歯など事前の処置が必要か・治療プラン・おおよその治療期間について説明いたします。 -
レントゲン撮影・口腔内検査

お口の中の口腔内の写真やレントゲン撮影、診断模型作製用の歯型を採ります。
もし虫歯があった場合には、マウスピース矯正の前に虫歯治療などを優先して進めるよう提案する場合もあります。
また、レントゲンや治療計画により親知らずの抜歯が必要と診断された場合は、事前に抜歯をおすすめしています。 -
検査のご説明、マウスピース矯正の治療方針説明

口腔内の写真・検査結果・現状の説明を患者様に行います。
その際、マウスピース矯正が可能な症例であり、患者様が治療方針にご納得された場合は注意事項や治療方針をさらに詳しく説明してまいります。 -
マウスピース矯正用の装置の歯型をスキャン

マウスピース矯正用の歯型を採取します。吉本歯科医院では口腔内3Dスキャナを導入しており、これによりデジタルで精密な歯型データができ、従来の歯型に比べてより精度の良いマウスピース矯正用の装置が作製できるようになっています。
スキャニングしたマウスピース矯正装置の歯型はその場で確認することができます。スキャンしたデータによりマウスピース矯正用の装置が出来上がります。 -
マウスピース矯正治療スタート

歯型のスキャニングを一回行うと、治療終了までのすべてのアライナー(マウスピース装置)を作製することができます。患者様が来院された時に、次回までに使用していただくマウスピース装置をお渡しいたします。
アライナーは初回来院時に2枚分をお渡します。使用頻度は基本的に2週間に1枚となります。
1枚目をお渡しする際は、アライナーを取り外す練習と使用方法、注意事項もご説明します。
2週間使用した後、ご自宅でご自分で次のアライナーに付け替えていただくようになります。
次回の来院は1ヵ月後になり、頻繁に通院する必要がありません。ご心配なことやご相談は随時、お問い合わせいただければ回答いたしますのでご安心ください。 -
アタッチメント装着

3枚目のアライナー(マウスピース装置)の段階で、アタッチメントという、歯の表面に付ける歯科用プラスチック製のデコボコの突起物を装着していきます。白いアタッチメントを使用するでの金属製のものより目立ちにくいです。
アタッチメントを使用する数や装着する歯は、歯を動かす量によって個人差があり、マウスピース治療終了後に外します。
また、治療計画で歯を削る必要がある場合は、ディスキングという、歯の幅を少しだけ小さくすることで歯を並べるために健康な歯の抜歯をしなければならない可能性を回避したり、左右の歯の形態を整えたりするために行う処置を行います。
歯のエナメル質の幅は通常2.0mmほどで、その約10分の1の0.2mm程の隙間をディスキングにより作りその幅を利用することにより歯を並べていきます。
アライナー(マウスピース装置)は次回来院されるまでの枚数分をお渡しします。
その後は患者様ご自身で14日ごとに新しいマウスピースへ交換していただくことになります。
交換日数は治療の進み具合によって変更していくことがありますので、担当医の指示に従ってください。 -
定期チェック期間

定期チェック期間は1〜3ヵ月に1度、患者様の歯の移動の状態により来院していただきます。
来院される際は必ずアライナー(マウスピース矯正の装置)を装着した状態でご来院ください。
定期来院時には以下のチェックを行います。
1.マウスピース矯正装置と歯の適合状態の確認
2.アタッチメントが外れていないかどうか
3.マウスピース矯正装置の装着時間を確認
4.お口の中の衛生状態の確認 -
マウスピース矯正治療終了

治療計画で作製したアライナー(マウスピース矯正装置)を最後まで使用していただいた後、噛み合わせの確認・シミュレーション画像と実際に動いた歯の比較を行います。
調整が必要な場合にはマウスピース矯正用の歯型のスキャニングを再度行い、アライナーを作成して治療を継続します。
※この調整は患者様によっては何度か行う場合があります。
歯が計画通りに並び、噛み合わせが良い状態の場合は、1〜2ヵ月間最後のアライナーを使用しいただきます。
その後、「保定装置期間」へと移行していきます。 -
マウスピース矯正の保定期間

マウスピース装置での歯を動かす治療が終わった後は、きれいになった歯並びをずっと良い状態で維持できるように、後戻りを予防するため保定装置を用い歯の保定を行います。
保定の期間は矯正治療を行った期間とほぼ同じ期間は必要です。
歯は一生動き続けています。マウスピース矯正をしているしていないに関わらず、すべての方に歯の動きを固定するマウスピースはお使い続けていただきたいと考えています。
そのため当院では、保定装置は保定期間が終わった後もずっとお使いいただくようお伝えしています。 -
マウスピース矯正の定期メインテナンス

きれいな歯並びに整った後は定期的にメインテナンスにお越しください。
虫歯や歯周病を予防することで年を重ねてもご自分の歯で噛めるように歯の健康を維持していきましょう。
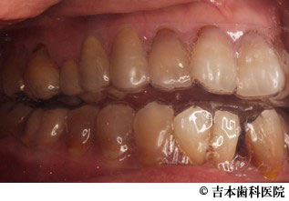
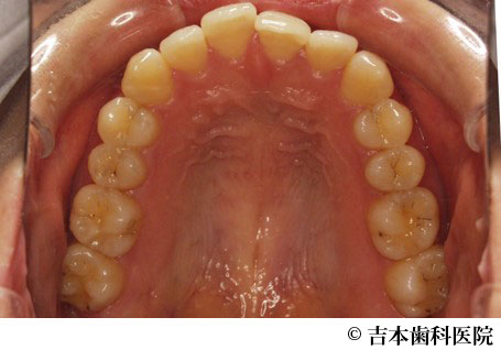
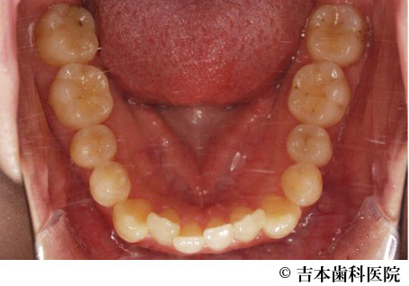
矯正治療の症例
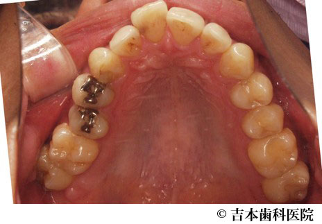
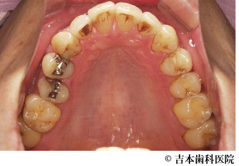
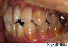
【症例1】マウスピース矯正・上顎前歯の隙間
- 治療前
- 治療中
- 治療後
- 治療名
- マウスピース矯正・上顎前歯の隙間
- 患者様
- 30歳 男性
- 費用
- 220,000円(税込)
- 期間
- 5ヶ月
- 通院頻度
- 2週間〜1ヵ月ごと
治療内容
-
患者様の症状
-
以前、全顎ブラケット矯正を終了されていましたが、終了数年後から上顎前歯部の隙間が拡がってすきっ歯になってこられたそうです。
お話していると唾液が飛んだり音が漏れたりして不具合だそうです。 -
治療法
-
上前歯6本をマウスピース矯正で歯を動かし、隙間を閉じました。
-
治療結果
-
隙間が埋まり、会話を楽しめるようになりました。
※治療結果は患者様によって個人差があります。
治療を行う上での 注意点 (リスク・副作用)
装置によって歯に痛み・口内炎・しゃべりにくくなることがあります。
長時間装着しないと歯が動きません。
歯の両横を削合して隙間をつくることがあります。
マウスピースをつけない日があると、歯は動きません。
マウスピース矯正では上下の正中や軸を合わすのは困難です。
歯と歯の間にブラックトライアングルができることがあります。
【症例2】マウスピース矯正・飛び出てきた前歯の改善症例
- 治療前
- 治療中
- 治療後
- 治療名
- マウスピース矯正・飛び出てきた前歯の改善症例
- 患者様
- 30代 男性
- 費用
- 1,100,000円(税込)
- 期間
- 12ヵ月(1年)
- 通院頻度
- 2週間〜1ヵ月ごと
治療内容
-
患者様の症状
-
上下前歯部の歯並びを気にされ来院。
-
治療法
-
下顎1本抜歯と上下前歯6本をマウスピース矯正で歯を動かす。
下前歯を1本抜歯して隙間を閉じて歯をそろえています。
抜歯による影響でブラックトライアングルもできているが違和感が少なく、マウスピース矯正では困難な抜歯を伴なう症例です。 -
治療結果
-
上下の前歯部の歯並びが改善されました。
※治療結果は患者様によって個人差があります。
治療を行う上での 注意点 (リスク・副作用)
装置によって歯に痛み・口内炎・しゃべりにくくなることがあります。
長時間装着しないと歯が動きません。
歯の両横を削合して隙間をつくることがあります。
マウスピースをつけない日があると、歯が元に戻りかけてしまい、マウスピースが入りにくくなって装置が破損しやくなります。
マウスピース矯正では上下の正中や軸を合わすのは困難です。
歯と歯の間にブラックトライアングルができることがあります。
【症例3】マウスピース矯正
- 治療前
- 治療中
- 治療後
- 治療名
- マウスピース矯正
- 患者様
- 40歳 女性
- 費用
- 1,100,000円(税込)
- 期間
- 18ヵ月(1年6ヵ月)
- 通院頻度
- 2週間〜1ヵ月ごと
治療内容
-
患者様の症状
-
右上の八重歯と上下前歯のガタガタの交叉咬合を伴なう見た目を気にされていました。
-
治療法
-
上顎1本、下顎1本抜歯とマウスピース矯正。
抜歯による影響でブラックトライアングルもできているが見た目は気に入られていた。
マウスピース矯正では非常に困難な抜歯を伴なう症例で、ブラックトライアングルをより少なく見せるためにはセラミックスなどによる歯冠修復が必要になります。 -
治療結果
-
八重歯がなくなりとても歯列が綺麗になりました。
※治療結果は患者様によって個人差があります。
治療を行う上での 注意点 (リスク・副作用)
装置によって歯に痛み・口内炎・しゃべりにくくなることがあります。
長時間装着しないと歯が動きません。
歯の両横を削合して隙間をつくることがあります。
マウスピースをつけない日があると、歯が元に戻りかけてしまい、マウスピース矯正では上下の正中や軸を合わすのは困難です。
歯と歯の間にブラックトライアングルができることがあります。
マウスピースが入りにくくなって装置が破損しやくなります。
【症例4】上顎マウスピース矯正による整列・アタッチメント併用下顎マウスピース矯正による圧下と整列
- 治療前
- 治療中
- 治療後
- 治療名
- 上顎マウスピース矯正による整列・アタッチメント併用下顎マウスピース矯正による圧下と整列
- 患者様
- 20歳 女性
- 費用
- 1,100,000円(税込)
- 期間
- 6ヵ月
- 通院頻度
- 2週間〜1ヵ月ごと
治療内容
-
患者様の症状
-
上下前歯の歯並びを気にされ、目立ちにくい矯正装置を希望されていました。
-
治療法
-
小臼歯8本の幅を少しずつディスキングという手法で削り、上下前歯6本を目立ちにくいマウスピース矯正で歯を動かす。
歯の表面にブラケットのような歯冠色のアタッチメントを装着して飛び出した下前歯を圧下させています。
ブラケット治療に変更いただく可能性が高い症例でしたが、治療に対する意識高い患者様で、わずか1年で終了できました。
通常のマウスピース矯正以上に患者様の頑張りが必要になる症例です。 -
治療結果
-
上下6本の歯列不正が短期間で改善されました。
上下ともに凹凸がなくなり、綺麗な歯列のアーチが完成しています。
※治療結果は患者様によって個人差があります。
治療を行う上での 注意点 (リスク・副作用)
装置によって歯に痛み・口内炎・しゃべりにくくなることがあります。
長時間装着しないと歯が動きません。
歯の両横を削合して隙間をつくることがあります。
マウスピースをつけない日があると、歯が動きません。治療期間が延びます。
マウスピースが入りにくくなって装置が破損しやくなります。
マウスピース矯正では上下の正中や軸を合わすのは困難です。
歯と歯の間にブラックトライアングルができることがあります。
【症例5】マウスピース矯正・上顎審美修復前の矯正と下顎抜歯矯正
- 治療前
- 治療中
- 治療後
- 治療名
- マウスピース矯正・上顎審美修復前の矯正と下顎抜歯矯正
- 患者様
- 30代 女性
- 費用
- 550,000円(税込)
- 期間
- 12ヵ月(1年)
- 通院頻度
- 2週間〜1ヵ月ごと
治療内容
-
患者様の症状
-
前歯部の歯並びと上顎前歯の詰め物の変色と見た目を気にされ来院。
-
治療法
-
下前歯1本抜歯し、6本をマウスピース矯正で歯を動かす。
上顎歯列を矯正後3本セラミックの被せ物で治療。揃った下の前歯にあわせて上前歯3本セラミッククラウンが装着されています。
3本で330,000円(税込) -
治療結果
-
下顎前歯部歯列を改善し、上顎前歯部の治療も並行して行い、見た目の改善につながった。
抜歯による影響でブラックトライアングルもできているが見た目は気に入られていた。
※治療結果は患者様によって個人差があります。
治療を行う上での 注意点 (リスク・副作用)
装置によって歯に痛み・口内炎・しゃべりにくくなることがあります。
長時間装着しないと歯が動きません。
歯の両横を削合して隙間をつくることがあります。
マウスピースをつけない日があると、歯が元に戻りかけてしまい、マウスピースが入りにくくなって装置が破損しやくなります。
マウスピース矯正では上下の正中や軸を合わすのは困難です。
歯と歯の間にブラックトライアングルができることがあります。
※治療結果は患者様によって個人差があります。
治療サービス
| 矯正の種類 | 部分矯正 / 成人矯正 |
|---|---|
| 矯正中の治療 | 顎関節症治療 |
| その他のサービス | 抜歯対応 |
医院情報
| 住所 | 〒761-0113 香川県高松市屋島屋島西町1968-9パワーシティ屋島西側 地図 |
|---|---|
| TEL | 087-818-1118 ※お電話にてご予約・ご相談いただく場合は、「矯正歯科ネットを見た」と言っていただけるとスムーズです。 |
| 公式ホームページ |
|
| 診療時間 | 月・火・木・金・土曜 9:15〜18:00 ※水曜は午後のみ休診。 手術日に関しては担当の歯科麻酔医と患者様のご都合を相談させていただき、水曜・土曜に行うことが可能です。 外科手術、インプラント治療・審美治療があった場合、通常診療を同時に行えない日がありますのでご了承ください。 |
| 休診日 | 日・祝 |
| アクセス |
コトデン志度線 『コトデン潟元駅』 より徒歩10分 JR高徳線 『屋島駅』 より徒歩15分 バス停 『百石タダノ前』 より徒歩1分 駐車場を完備しております。 |









































