顎・顔面の機能と形態の調和をはかった矯正治療

当クリニックでは、ただ単に歯並びを良くするというだけでなく、顎・顔面の機能と形態の調和をはかる矯正治療を行っております。カウンセリングなどを通して患者様の知識を高めながら、患者様一人ひとりの視点に立った適切な矯正治療を一緒に探していきます。
そして治療の内容については、早期の治療によって予防的に治療を行い「できるだけ歯を抜かない矯正治療」を心掛けております。治療中だけでなく治療後のメインテナンスのことも考えた、長期の安定性を目標とした矯正治療を行います。
できるだけ歯を抜かない矯正治療

当クリニックでは、早期治療によって予防的に治療を行い、「できるだけ歯を抜かない矯正治療」を優先的に考え、治療を行っております。治療中、治療後の歯並びの安定についても、非抜歯矯正治療でより良くするできるよう治療を行っております。
装置については、オリジナルの矯正装置の開発を行っており、できるだけ目立たず、痛みの少ない矯正治療をコンセプトにご提供しております。
当クリニックの矯正装置の種類
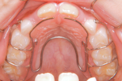
取り外し式矯正装置
歯列(デンタルアーチ)を継続的に広げながらスペースを作り、歯を同時に動かす取り外し式矯正装置です。
見た目と痛みに配慮しており、快適で協力を得やすい傾向にあるので保護者の手間もかかりにくい矯正装置だと思います。調節をなるべく少なくでき、来院回数を減らすことに繋がります。
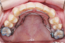
固定式リンガルアーチ
内側からのリンガルアーチ式の矯正装置です。
従来の矯正装置に比べて、金具が小さく材質も柔らかい金属を使用しています。そのため、歯にかかる力が抑えられ、痛みも抑えられるだけでなく、持続的に力を加えることが可能となりました。
審美ブラケット

審美ブラケットはメタルブラケットと違い、白色または半透明に近いため、遠目には装着していることを周りの人にほとんど気付かれないのが特徴です。
強度の面ではメタルブラケットに比べるとやや劣りますが、審美的には良い矯正装置です。
セルフライゲーションブラケット

従来の矯正装置は歯に装着し、ワイヤーを通して矯正装置とワイヤーをゴムで固定していました。そのため、ワイヤーの引っ張る力で歯にかかる摩擦が大きくなり、負担がかかる原因となっていました。
セルフライゲーションブラケットでは、矯正装置にワイヤーの脱落を防ぐためのフタが備わっており、強く固定する必要がなくなりました。
またワイヤーの引っ張る力も弱く済むので、矯正装置とワイヤーの摩擦は軽減され、歯にかかる負担が少なく済むのが特徴です。
裏側矯正装置
裏側矯正装置は、歯の裏側に矯正装置(ブラケット)を装着できるため、表側からは矯正装置が見えず、周囲の人たちから気付かれにくい矯正装置です。
歯の裏側に装置があるので、舌があたって多少話しにくいことや、発音しにくいということはありますが、治療中の装置がついた口元が気になるという方にはおすすめです。
インプラント矯正治療について
インプラント矯正とは、アンカースクリューを利用した矯正治療のことをいいます。アンカースクリューは、元々骨折した箇所の固定用ネジ止め金具として使用されていた製品です。それを新たに矯正治療用として開発、製品化したもので、材質はチタン合金、直径は2ミリ弱、長さ8ミリ程度のネジです。
従来は、歯を奥に移動したり、根の方向へ埋めるように動かすことは困難でしたが、アンカースクリューが開発されて自由自在に歯の移動をコントロールできるようになりました。出っ歯を引っ込めたり、前に寄ってデコボコになっている歯列を後ろに移動して歯を抜かずに治療したり、前歯が噛み合っていない場合も奥歯を縮めて前歯が噛み合う治療が可能となりました。
アンカースクリューと見えにくい矯正装置の併用

当クリニックでは、アンカースクリューと表側から見えにくい矯正装置を併用し、見た目に配慮した矯正治療を行っております。
アンカースクリュー(写真の赤丸部分)を固定源にすることで、歯の移動をより自由にコントロールできます。治療が終わるとアンカースクリューは抜き取り、骨も元の状態になります。アンカースクリューを埋め入れた部分も1日程度でほぼ分からなくなりますので、ご安心ください。
※治療結果は患者様によって個人差があります。
治療症例
【症例】永久歯の生えるスペースがない・ガタガタ・7歳女児【M.K様】
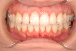
- 治療前
- 治療後
- 治療名
- 永久歯の生えるスペースがない・ガタガタ・7歳女児【M.K様】
- 費用
- 350,000円
- 期間
- 24ヶ月(2年)
- 年代(性別)
- 小学校1年生(女性)
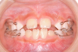
- 抜歯/非抜歯
- 非抜歯
- ブラケット・ワイヤー
- 付けずに治療した
- 使用した装置
- 当院のオリジナルの矯正装置
- 特徴
- 乳歯列が綺麗に並んでいる
ゆがんで生えている - 状態
- 永久歯が生える隙間がない(叢生)
ガタガタ・でこぼこに生えている(叢生)
治療内容
-
患者様の症状
-
上の歯はこれから生えてくる永久歯のスペースがなく、下の歯は前歯の永久歯が ガタガタに生えてきています。
-
治療法
-
当院オリジナル矯正装置を使って永久歯の生えてくるスペースを作りました。
※治療結果は患者様によって個人差があります。
治療を行う上での 注意点 (リスク・副作用)
歯体移動により歯肉、歯槽骨、歯根が減少することがあります。
装置により口腔内粘膜を傷つけることがあります。
矯正治療中装置が破損することがあります。
【症例】前歯がゆがんでいる・出っ歯・永久歯が生えるスペースがない・9歳男児【T.I様】
- 治療前
- 治療後
- 治療名
- 前歯がゆがんでいる・出っ歯・永久歯が生えるスペースがない・9歳男児【T.I様】
- 費用
- 430,000円
- 期間
- 50ヶ月(4年2ヵ月)
- 年代(性別)
- 小学校3年生(男性)
- 抜歯/非抜歯
- 非抜歯
- ブラケット・ワイヤー
- 付けずに治療した
- 使用した装置
- 当院のオリジナルの矯正装置・ヘッドギア
- 特徴
- 固い食べ物が嫌い
ゆがんで生えている - 状態
- 永久歯が生える隙間がない(叢生)
ガタガタ・でこぼこに生えている(叢生)
出っ歯(口元が出ている/上顎前突)
治療内容
-
患者様の症状
-
上の前歯出っ歯でがゆがみがあります。
下の歯は一見並んでいるように見えますがスペースの無い所に犬歯が2本生えてきます。 -
治療法
-
当院オリジナル矯正装置を使って矯正しました。
前歯が出っ歯でゆがんでいると他者からの印象はあまりよくありません。
前歯はその人の印象に大きな影響力があるので気になった段階での早い時期での治療を当院ではおすすめします。 -
前歯が出っ歯でゆがんでいると他者からの印象はあまりよくありません。
前歯はその人の印象に大きな影響力があるので気になった段階での早い時期での治療を当院ではおすすめします。
※治療結果は患者様によって個人差があります。
治療を行う上での 注意点 (リスク・副作用)
歯体移動により歯肉、歯槽骨、歯根が減少することがあります。
装置により口腔内粘膜を傷つけることがあります。
矯正治療中装置が破損することがあります。
【症例】前歯がゆがんでいる・出っ歯・永久歯が生えるスペースがない・9歳男児【T.I様】
- 治療前
- 治療後
- 治療名
- 前歯がゆがんでいる・出っ歯・永久歯が生えるスペースがない・9歳男児【T.I様】
- 費用
- 640,000円
- 期間
- 48ヶ月(4年)
- 年代(性別)
- 小学校6年生(女性)
- 抜歯/非抜歯
- 非抜歯
- ブラケット・ワイヤー
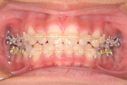
- 付けて治療した
- 使用した装置
- マルチブラケット矯正装置・ アンカースクリュー
- 特徴
- 固い食べ物が嫌い
ゆがんで生えている - 状態
- ガタガタ・でこぼこに生えている(叢生)
八重歯(叢生)
治療内容
-
患者様の症状
-
上下とも歯ががたがたに生えています。
犬歯がずれた所から生え、下の奥歯もかなりずれた所からはえています。 -
治療法
-
一般的には抜歯矯正が検討されますが、ご本人、ご家族は非抜歯矯正をご希望されていました。
アンカースクリューを用いたマルチブラケット矯正で歯を抜かずに綺麗に並べ理想的なE-Lineに仕上げる事ができました。
-
※治療結果は患者様によって個人差があります。
治療を行う上での 注意点 (リスク・副作用)
歯体移動により歯肉、歯槽骨、歯根が減少することがあります。
装置により口腔内粘膜を傷つけることがあります。
矯正治療中装置が破損することがあります。
【症例】八重歯・ガタガタ・癒合歯・ピエゾサージェリー・26歳女性【M.H様】
- 治療前
- 治療後
- 治療名
- 八重歯・ガタガタ・癒合歯・ピエゾサージェリー・26歳女性【M.H様】
- 費用
- 770,000円
- 期間
- 42ヶ月(3年6ヵ月)
- 年代(性別)
- 19〜29歳(女性)
- 抜歯/非抜歯
- 抜歯
- ブラケット・ワイヤー
- 付けて治療した
- 使用した装置
- マルチブラケット・アンカースクリュー
コルチコトミー
ピエゾサージェリー - 特徴
- ゆがんで生えている
よく噛まないで飲み込む
お茶や水で流し込んで食べている - 状態
- ガタガタ・でこぼこに生えている(叢生)
八重歯(叢生)
治療内容
-
患者様の症状
-
八重歯で笑うと尖った歯が目立ちます。
上下ガタガタで、下の歯は癒合歯(2本がくっついて1本の歯)です。 -
治療法
-
治療前と治療後で下の歯の銀歯がなくなっています。
これは銀歯の第1大臼歯を抜いて第2大臼歯、第3大臼歯の親知らずを使いました。コルチコトミーという矯正法で歯根への負担を軽減しながら治療しました。
-
※治療結果は患者様によって個人差があります。
治療を行う上での 注意点 (リスク・副作用)
歯体移動により歯肉、歯槽骨、歯根が減少することがあります。
装置により口腔内粘膜を傷つけることがあります。
矯正治療中装置が破損することがあります。
【症例】がたがた・八重歯・内側から歯が生えている・40歳女性【S.H様】
- 治療前
- 治療後
- 治療名
- がたがた・八重歯・内側から歯が生えている・40歳女性【S.H様】
- 費用
- 670,000円
- 期間
- 46ヶ月(3年10ヵ月)
- 年代(性別)
- 40歳以上(女性)
- 抜歯/非抜歯
- 非抜歯
- ブラケット・ワイヤー
- 付けて治療した
- 使用した装置
- マルチブラケット・アンカースクリュー
- 特徴
- 固い食べ物が嫌い
ゆがんで生えている - 状態
- ガタガタ・でこぼこに生えている(叢生)
八重歯(叢生)
治療内容
-
患者様の症状
-
上下がたがたが大きく何本か歯列から歯が飛び出しています。
-
治療法
-
従来なら抜歯ケースですが、アンカースクリューの使用により歯は抜かずに治療することができました.
-
※治療結果は患者様によって個人差があります。
治療を行う上での 注意点 (リスク・副作用)
歯体移動により歯肉、歯槽骨、歯根が減少することがあります。
装置により口腔内粘膜を傷つけることがあります。
矯正治療中装置が破損することがあります。
治療サービス
| 矯正の種類 | 部分矯正 / インプラント矯正 / 成人矯正 / 目立ちにくいワイヤー / 審美ブラケット |
|---|---|
| 矯正中の治療 | 口腔筋機能療法(MFT) |
| その他のサービス | 転院対応 / 矯正再治療相談 |
医院情報
| 住所 | 〒615-8236 京都府京都市西京区山田大吉見町5-12 ル・サフィール物集女3階 地図 |
|---|---|
| TEL |
075-382-2660
0120-689-418 ※お電話にてご予約・ご相談いただく場合は、「矯正歯科ネットを見た」と言っていただけるとスムーズです。 |
| 公式ホームページ |
|
| 診療時間 | 月・火・金曜 10:00〜13:00 / 14:40〜17:40 土曜 10:00〜13:00 / 14:00〜17:50 日曜 09:00〜12:00 / 13:00〜16:50 ※月・火・金曜の院長診療日の診療時間は10:00〜13:00 / 14:40〜18:40となります。
※勤務歯科医師により診療日・時間は変動いたします。 詳しくはホームページにてご確認をお願いします。 ※受付時間は、最終診療時間の30分前までです。 |
| 休診日 |
水・木・祝 ※医院の公式LINEアカウントやホームページ掲載の診療日カレンダーにてご確認をお願いします。 |
| アクセス | 阪急京都本線・嵐山線 『桂駅』 より徒歩13分 |
| グループ医院 |
さわだ矯正歯科クリニック
(京都府長岡京市) さわだ矯正歯科西院クリニック (京都府京都市右京区) |

















































