ぷらす矯正歯科のこだわり
当医院は、矯正歯科専門です

当医院は、矯正歯科を専門に行う歯科医院です。
院長:菅原 泰典は、矯正歯科講座の研修を終えた後に予防歯科治療を学び、一般歯科治療を経験しました。そして現在では、より深く矯正歯科の技術や知識の研鑽をはかるために、歯・歯周病の治療や入れ歯の作製などを行わず、矯正歯科治療に専念しています。
口と全身の姿勢も重要です
▲ 姿勢の解析のための重心動揺計
不正咬合の原因は遺伝もありますが、育ってきた環境にも影響を受けます。歯や顎は固く強いイメージをお持ちの方もいると思いますが、そのイメージとは反対に骨よりも弾力があって柔らかい周囲の筋肉の影響を受けやすい性質もあります。
そのほかに影響を及ぼす原因として、舌や口の周りの筋肉の癖、また、顔や頭は背骨の上にあるため、背骨の状態などがあげられます。姿勢が悪くじっと立って居られないようなケースも注意が必要です。
そのため当医院では、装置による歯の矯正だけでなく、正しい姿勢の指導、歩行のすすめ、舌や口の周りの筋肉トレーニングを行い、歯並びを維持するための身体の環境を整えていくことを目指しています。
わかりやすい説明を心掛けています

歯科医院で治療の説明を受けても、専門用語ばかりでしっかりと理解することができず、不安が残ったまま治療に移行してしまう…そんな状況は避けるべきだと考えています。
当医院では患者様に治療の内容をきちんと理解していただけるよう、言葉の選び方に注意するだけでなく、タブレットやコンピューターを活用し、視覚的にわかりやすい治療説明を心掛けています。デジタルレントゲン装置やCTの画像や動画も、院内Wifi経由でコンピューター画面に映し、お見せしています。
聞き役であることを心掛けています

矯正治療がうまくいく秘訣は、患者様本人の「やる気」だと思います。当医院は、患者様にやる気を持っていただき、そして治療に積極的に取り組めるような信頼関係を築くために、患者様との密なコミュニケーションを心掛けています。
そのためには、歯科医師ばかりが話過ぎてしまうようなコミュニケーションではいけないと考え、「聞き役」としての姿勢を大切にしています。
患者様の声に耳を傾け適切なアドバイスをすること、時には優しく、時には厳しく治療のゴールまで伴走していきたいと思っています。
新しい技術を積極的に導入します

矯正歯科学は日進月歩、矯正歯科の材料も日進月歩です。より良い治療を目指すため、積極的に新しい材料と技術の導入をはかります。摩擦の少ない装置や方法を積極的に取り入れて治療期間の短縮や治療の精度と痛みからの解放を追求しています。
学会やセミナーの参加を優先します

当医院は広い視野からの情報や考え、新しい技術を得るために学会やセミナーに多く参加しています。そのため、診療日の変更などがある場合がありますが、ご了承ください。学会で得た情報や技術は、患者様のためにしっかりと治療に生かせるよう、努力しています。
当医院で扱う治療法
準備治療(一期治療)
子どもを対象とした原因治療です。 乳歯列や混合歯列(乳歯と永久歯が混在している)時期は、顎や顔の成長もあります。この時期の治療は、ただ単に歯を並べるだけではなく、土台の顔や顎の成長に関われば、呼吸、噛み合わせや顔立ちの変化が起こります。
成長を利用して、永久歯の萌える土台である骨格のズレを治療したり、顎の拡大して永久歯が揃いやすい環境に改善することで永久歯の治療がやさしくなる可能性があります。
一期治療用の装置

矯正治療に使用する装置は、一期治療と二期治療で同じものになるとは限りません。一期治療では、取り外しのできるプレートタイプの装置や、お口の外から顎を押さえるような装置を装着することがあります。
二期治療および全体治療
永久歯列になった学生や大人が治療対象です。矯正治療に年齢制限はありません。子どもがする治療だと思ってあきらめてしまわず、一歩踏み出してみてください。目立ちにくい装置もご用意しています。
表側矯正

永久歯の外側にブラケットと呼ばれる器具を装着します。金属ブラケットと審美ブラケットがあります。ブラケットの装着は、適切なポジショニングを目指すために、主にインダイレクトボンディング法(患者様の歯型の模型を製作し、模型に合わせ装置の装着を行うこと)を用いております。
裏側矯正

永久歯の内側にブラケットを装着します。患者様ご自身の歯に隠れて、装置が見えにくいのが特徴です。表側よりも形状が複雑なので扱いが難しい治療でしたが、当医院ではCAD/CAMシステムにより、患者様個人に合わせたカスタムメイドの装置を利用するため、従来の裏側矯正用装置よりもはずれにくいです。
マウスピース矯正

少しずつ形状の異なるプラスチック製のマウスピースを、取り替えながら順に装着していきます。透明で目立ちにくいことに加え、マウスピースに合わせた計画的な歯の動きになるため、最終的な歯並びのイメージを治療前に確認できるのが特徴です。
※治療結果は個人差があります。
治療症例
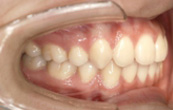
症例1 上顎前突(出っ歯)
![]() |
![]() |
![]() |
| ▲ 治療前 右側 | ▲ 治療前 正面 | ▲ 治療前 上 |
|---|---|---|
| |
||
![]() |
![]() |
![]() |
| ▲ 治療後 右側 | ▲ 治療後 正面 | ▲ 治療後 上 |
永久歯抜歯の治療例です。小臼歯の4本抜歯をして治療を行いました。
※治療結果は患者様によって個人差があります。
治療サービス
| 矯正の種類 | 成人矯正 / 審美ブラケット |
|---|---|
| 矯正中の治療 | 口腔筋機能療法(MFT) |





