Orthodontic Clinic BOSCO-¿ÇÎÅ°ÆÆâ
- Ë¡³¦±¡±Ø
- ²¬»³¸©²¬»³»ÔË̶èÄÅÅçÆî1-1-2 ÃÏ¿Þ
60¡Á90ʬ³Ý¤±¤Æ¼Â»Ü¤¹¤ë¶ºÀµÁêÃÌ
¸ø±×¼ÒÃÄË¡¿ÍÆüËܶºÀµ»õ²Ê³Ø²ñ¤ÎǧÄê°å»ñ³Ê¤ò»ý¤ÄÎÓºé»Ò±¡Ä¹¤¬¼Â»Ü

¶ºÀµ¼£ÎŤˤĤ¤¤Æ¤Ï¤â¤Á¤í¤ó¡¢´µ¼ÔÍͤËÃΤäƤ¤¤¿¤À¤¤¿¤¤¤³¤È¤Ï²¿¤Ç¤â¤ªÏä·¤Þ¤¹¤Î¤Ç¤´ÉÔÌÀ¤ÊÅÀ¤Ï±óθ¤Ê¤¯¤ªÊ¹¤¤¯¤À¤µ¤¤¡£
»õ¤ä¸ý¸µ¤Î¤ªÇº¤ß¤Î¤Û¤«¡¢¤ª»ÒÍͤ賓ÙÊý¤äÏä·Êý¡¢·ò¹¯Ì̤ǤÎÉ԰¤ʤɡ¢¤É¤ó¤Ê¤³¤È¤Ç¤â¹½¤¤¤Þ¤»¤ó¡£
»õ¤Î¾õÂÖ¤ÇÉ԰¤ʤ³¤È¤ä¡¢¾Íè¤Ë¤Ä¤¤¤Æ¤Î¹Í¤¨¤Ê¤É¡¢¤¸¤Ã¤¯¤ê¤ÈÏ䷹礤¤Þ¤·¤ç¤¦¡£¶ºÀµ¼£ÎŤÇÌܻؤ¹¥´¡¼¥ë¤¬°ì½ï¤Ë¤Ê¤Ã¤Æ¤«¤é¼£ÎŤò»Ï¤á¤Þ¤¹¡£
¶ºÀµ¼£ÎŤΥǥá¥ê¥Ã¥È¤ä¥ê¥¹¥¯¤â¶¦Í¤·¡¢Ç¼ÆÀ¤·¤Æ¤«¤é¼£ÎŤؤª¿Ê¤ß¤¤¤¿¤À¤¤Þ¤¹¡£
¸ý¹ÐÆâ¼Ì¿¿¤ä¡¢É¬Íפ˱þ¤¸¤Æ¥ì¥ó¥È¥²¥ó¤ò»£±Æ¤â¤¤¤¿¤·¤Þ¤¹¡£
±¡Ä¹¡¦¥¹¥¿¥Ã¥Õ´Þ¤á¤ÆÁ´°÷¤¬½÷À¤Î¥¯¥ê¥Ë¥Ã¥¯

¼£ÎÅÃæ¤«¤é¼£ÎŸå¤Þ¤Ç¡¢¸ý¤ÎÃæ¤ò·ò¹¯¤Ë³Ú¤·¤¯Æü¡¹¤òÁ÷¤Ã¤Æ¤¤¤¿¤À¤¯¤³¤È¤¬Åö±¡¤ÎÌòÌܤÀ¤È»×¤Ã¤Æ¤¤¤Þ¤¹¡£¤½¤Î¤¿¤á¤Ë»ä㥹¥¿¥Ã¥Õ¤Ï¡¢¤¢¤ê¤Î¤Þ¤Þ¤Ç²ñÏ乤뤳¤È¤ò¿´³Ý¤±¤Æ¤¤¤Þ¤¹¡£
¤ªÏä·¤¿¤¤¤³¤È¤¬¤¢¤ì¤Ð¡¢¤ªµ¤·Ú¤Ë¤ªÀ¼¤¬¤±¤¯¤À¤µ¤¤¡£»äã¤â´µ¼ÔÍͤâ¡Ö¤¢¤ê¤Î¤Þ¤Þ¡×¤Î¥³¥ß¥å¥Ë¡¼¥±¡¼¥·¥ç¥ó¤Ç²á¤´¤»¤ëÊ·°Ïµ¤¤Å¤¯¤ê¤òÂçÀڤ˹ͤ¨¤Æ¤¤¤Þ¤¹¡£
Åö¥¯¥ê¥Ë¥Ã¥¯¤Î´Ä¶
É÷·Ê¤ò¡¢µ¨Àá¤ò¡¢´¶¤¸¤Æ¿´Ë¤«¤Ë²á¤´¤»¤ë¤è¤¦¤Ê¶õ´Ö

Åö¥¯¥ê¥Ë¥Ã¥¯¤ÎÁ°¤Ë¤ÏÂ礤ʸø±à¤¬¤¢¤ê¤Þ¤¹¡£ÂÀÍۤθ÷¤ò´¶¤¸¤¿¤ê¡¢±¡Æâ¤«¤éÌÚ¡¹¤òį¤á¤¿¤ê¡¢°Ü¤êÊѤï¤ëµ¨Àá¤ò´¶¤¸¤ë¤³¤È¤¬¤Ç¤¤ë¤È»×¤¤¤Þ¤¹
»õ²Ê°å±¡¤Ï¼£ÎŤȤ¤¤¦ÌÜŪ¤ò¤â¤Ã¤ÆË¬¤ì¤ë¾ì½ê¤À¤È»×¤¤¤Þ¤¹¡£¤·¤«¤·¡¢´µ¼ÔÍͤ䥹¥¿¥Ã¥ÕÁ´°÷¤Î¿´¤¬µ¤»ý¤Á¤¤¤¤¤È´¶¤¸¤ë¥¯¥ê¥Ë¥Ã¥¯¤Ë¤·¤¿¤¤¤È¤¤¤¦´ê¤¤¤«¤é¤³¤Î¾ì½ê¤òÁª¤Ó¤Þ¤·¤¿¡£
»äã¤Ï¡¢¿´¤¬Ë¤«¤Ë¤Ê¤ì¤ë¤è¤¦¤Ê¾ì½ê¤Ë¡ÖÎɤ¤¼£Îšפ¬¤¢¤ë¤È¿®¤¸¤Æ¤¤¤Þ¤¹¡£
Ãó¼Ö¾ì¤äÃóÎØ¾ì¤â¤´ÍøÍѲÄǽ
Åö¥¯¥ê¥Ë¥Ã¥¯¤ÎÃó¼Ö¾ì¤Ï5Âæ¤Þ¤ÇÃó¼Ö²Äǽ¤Ç¤¹¡£ÃóÎØ¾ì¤â¤´¤¶¤¤¤Þ¤¹¡£
¤ª¼Ö¤Ç¤ª±Û¤·¤ÎÊý¤ÏÃó¼Ö¾ì¤ò¤´ÍøÍѤ¯¤À¤µ¤¤¡£
Åö¥¯¥ê¥Ë¥Ã¥¯¤Î¶ºÀµ¼£ÎŤˤĤ¤¤Æ
ÌÜΩ¤Á¤Ë¤¯¤¤Î¢Â¦¶ºÀµ¡ÊÀ妶ºÀµ¡Ë¤È¤¤¤¦ÁªÂò»è

΢¦¶ºÀµ¡ÊÀ妶ºÀµ¡Ë¤Ï¡¢»õ¤Î΢¦¤Ë¶ºÀµÁõÃ֡ʥ֥饱¥Ã¥È¡Ë¤ò¤Ä¤±¤Æ»õ¤òư¤«¤¹¼£ÎÅÊýË¡¤Ç¤¹¡£
»õ¤Î΢¦¤Ë¶ºÀµÁõÃÖ¤òÁõÃ夹¤ë¤¿¤áÌÜΩ¤Á¤Ë¤¯¤¤ÅÀ¤¬ÆÃħ¤Ç¡¢¼þ¤ê¤Î¿Í¤Ë¶ºÀµ¼£ÎÅÃæ¤Ç¤¢¤ë¤³¤È¤ò¤Ê¤ë¤Ù¤¯µ¤¤Å¤«¤ì¤¿¤¯¤Ê¤¤¤È¤¤¤¦Êý¤ä¡¢¿ÍÁ°¤ËΩ¤Ä¤ª»Å»ö¤ÎÊý¤Ê¤É¤Ë¤ª¤¹¤¹¤á¤Ç¤¹¡£
΢¦¶ºÀµ¡ÊÀ妶ºÀµ¡Ë¤Î¥á¥ê¥Ã¥È
- ¼þ¤ê¤Î¿Í¤Ëµ¤¤Å¤«¤ì¤Ë¤¯¤¤
- »õ¤ÎɽÌ̤Υ¨¥Ê¥á¥ë¼Á¤ò½ý¤Ä¤±¤¿¤ê¡¢Ãî»õ¤Ë¤Ê¤ë¿´ÇÛ¤òÍÞ¤¨¤é¤ì¤ë
- Á°»õ¤ò°ú¤Ã¹þ¤á¤ä¤¹¤¤
- ¼£ÎÅ´ü´Ö¤Ïɽ¦¶ºÀµ¤È¤Û¤È¤ó¤ÉÊѤï¤é¤Ê¤¤
΢¦¶ºÀµ¡ÊÀ妶ºÀµ¡Ë¤Î¥Ç¥á¥ê¥Ã¥È
- ÈñÍѤ¬¹â³Û¤Ë¤Ê¤ê¤ä¤¹¤¤
- ¶ºÀµÁõÃÖ¤ÎÁõÃå»þ¤Ë°ãÏ´¶¤ò´¶¤¸¤ë¤³¤È¤¬¤¢¤ë
- »õËᤤ¬Æñ¤·¤¯¤Ê¤ë¥±¡¼¥¹¤¬¤¢¤ë
Âбþ²Äǽ¤Ê¶ºÀµ¼£ÎŤˤĤ¤¤Æ
¥Þ¥ë¥Á¥Ö¥é¥±¥Ã¥È¶ºÀµ¡Êɽ¦¶ºÀµ¡Ë¡¢¥ê¥ó¥¬¥ë¥Ö¥é¥±¥Ã¥È¶ºÀµ¡Ê΢¦¶ºÀµ¡Ë¡¢¥Þ¥¦¥¹¥Ô¡¼¥¹·¿¶ºÀµ¡¢³°²Ê¶ºÀµ¡¢¸øÅª°åÎÅÊݸ±Å¬±þ¤Î¶ºÀµ¼£ÎŤò¼è¤ê°·¤Ã¤Æ¤¤¤Þ¤¹¡£
¡Ú¸øÅª°åÎÅÊݸ±Å¬±þ¤Î¶ºÀµ¼£ÎŤˤĤ¤¤Æ¡Û
¢¨¸üÀ¸Ï«Æ¯Âç¿Ã¤¬Äê¤á¤ë¼À´µ¤Ëµ¯°ø¤·¤¿Òû¹ç°Û¾ï¤ËÂФ¹¤ë¶ºÀµ»õ²Ê¼£ÎÅ
¢¨³Ü¤Î³°²Ê¼ê½Ñ¤òÍפ¹¤ë³ÜÊÑ·Á¾É¤Î¼ê½ÑÁ°¡¦¸å¤Î¶ºÀµ»õ²Ê¼£ÎÅ
¢¨Á°»õ3»õ°Ê¾å¤Î±Êµ×»õ˨½ÐÉÔÁ´¤Ëµ¯°ø¤·¤¿Òû¹ç°Û¾ï¡ÊËäÉú»õ³«Áë½Ñ¤òɬÍפȤ¹¤ë¤â¤Î¡Ë
¤³¤Á¤é¤òËþ¤¿¤¹¾ì¹ç¤Ï¸øÅª°åÎÅÊݸ±Å¬±þ¤Ç¶ºÀµ¼£ÎŤ¬²Äǽ¤Ç¤¹¡£
¤´¼«¿È¤¬³ºÅö¤¹¤ë¤«¤É¤¦¤«¤âÁêÃ̲Äǽ¤Ç¤¹¤Î¤Ç¤ªµ¤·Ú¤Ë¤´Ï¢Íí¤¯¤À¤µ¤¤¡£
Âç¿Í¤Î¶ºÀµ¼£ÎÅ

Âç¿Í¤Î¶ºÀµ¼£ÎŤϡ¢»õʤӤÈÒû¤ß¹ç¤ï¤»¡¢¸ý¸µ¤Î²þÁ±¤Ê¤É¤òÌܻؤ¹¤Û¤«¡¢³ú¤à¡¦°û¤ß¹þ¤à¡¦Ï乤ʤɤε¡Ç½¸þ¾å¤òÌÜɸ¤Ë¤·¤Æ¤¤¤Þ¤¹¡£»õ¤È»õ¼þÁÈ¿¥¤Î¾õÂÖ¤¬·ò¹¯¤Ç¤¢¤ì¤Ð¡¢¤¤¤Ä¤«¤é¤Ç¤â¼£ÎŤ¬¤Ç¤¤Þ¤¹¡£
»Ò¤É¤â¤Î¶ºÀµ¼£ÎÅ

»Ò¤É¤â¤Î¶ºÀµ¼£ÎŤϡ¢³Ü¤Î¹ü¤Î¥Ð¥é¥ó¥¹¤òÀ°¤¨¤ë¡¢¸ý¸ÆµÛ¤ä»Ø¤·¤ã¤Ö¤ê¤Ê¤É¤ÎÊʤβþÁ±¤òÌÜɸ¤Ë¤·¤Æ¤¤¤Þ¤¹¡£¤½¤Î¤Û¤«¡¢¿©¤Ùʪ¤ò³ú¤à¡¢Ï乤ʤɸý¤Îµ¡Ç½¤Îȯã¤òÌܻؤ·¤Æ¤¤¤Þ¤¹¡£ ±Êµ×»õ¤¬À¸¤¨Â·¤Ã¤¿»þ¤Ë¡¢»õʤӡ¦Òû¤ß¹ç¤ï¤»¤¬À°¤¤¤ä¤¹¤¤ÅÚÂæ¤Å¤¯¤ê¤Ë·Ò¤²¤Æ¤¤¤Þ¤¹¡£
¼£ÎŤ¬»Ï¤Þ¤ë¤Þ¤Ç¤Îή¤ì
-
ÁêÃ̡ʽêÍ×»þ´Ö 60¡Á90ʬ¡Ë

¸ý¹ÐÆâ¤Î¼Ì¿¿¤ä¥ì¥ó¥È¥²¥ó¤òɬÍפ˱þ¤¸¤Æ»£±Æ¤·¤Þ¤¹¡£¶ºÀµ¼£ÎŤΤ³¤È¤ä¡¢´µ¼ÔÍͤËÃΤäƤ¤¤¿¤À¤¤¿¤¤¤³¤È¤Ê¤É¡¢²¿¤Ç¤â¤ªÏä·¤·¤Þ¤¹¤Î¤Ç¤´ÉÔÌÀ¤ÊÅÀ¤Ï±óθ¤Ê¤¯¤ªÅÁ¤¨¤¯¤À¤µ¤¤¡£
-
ÀºÌ©¸¡ºº¡Ê½êÍ×»þ´Ö 60ʬ¡Ë

¸½ºß¤Î¤ª¸ý¤Î¾õÂÖ¤òÃΤ뤿¤á¤Ë¡¢¥ì¥ó¥È¥²¥ó¤ä»õ·¿¡¢Òû¤ß¹ç¤ï¤»¡¢CT¸¡ºº¤Ê¤É¤òɬÍפ˱þ¤¸¤Æ¹Ô¤¤¤Þ¤¹¡£¤³¤Î¸¡ºº·ë²Ì¤ò¤â¤È¤ËʬÀÏ¡¦¿ÇÃǤò¤·¤Æ¼£ÎÅÊý¿Ë¤Ê¤É¤ò·è¤á¤Æ¤¤¤¤Þ¤¹¡£
-
¿ÇÃÇ¡¦¼£ÎŷײèÀâÌÀ
ÀºÌ©¸¡ºº¤Î·ë²Ì¤ò¤â¤È¤Ë¼£Îŷײè¤òΩ°Æ¤·¡¢¼£ÎÅÊý¿Ë¤ä»ÈÍѤ¹¤ë¶ºÀµÁõÃÖ¡¢¼£ÎŤ˳ݤ«¤ë´ü´Ö¡¢ÈñÍѤʤɤˤĤ¤¤ÆÀâÌÀ¤·¤Þ¤¹¡£
¼£ÎÅÊý¿Ë¡¢¼£ÎÅ´ü´Ö¡¢»ÈÍѤ¹¤ë¶ºÀµÁõÃ֤ʤɡ¢¤è¤¯¹Í¤¨¤¿¾å¤Ç¶ºÀµ¼£ÎŤò»Ï¤á¤Æ¤¤¤¿¤À¤¯¤³¤È¤¬ÂçÀÚ¤À¤È¹Í¤¨¤Æ¤¤¤Þ¤¹¡£
¶ºÀµ¼£ÎŤΥá¥ê¥Ã¥È¡¦¥Ç¥á¥ê¥Ã¥È¤Ê¤É¤â¤´Íý²ò¤¤¤¿¤À¤¡¢Åö¥¯¥ê¥Ë¥Ã¥¯¤Ç¶ºÀµ¼£ÎŤò»Ï¤á¤ë¤«¤É¤¦¤«¤æ¤Ã¤¯¤ê¤´¸¡Æ¤¤¤¤¿¤À¤±¤ì¤Ð¤È»×¤¤¤Þ¤¹¡£
¼£Îų«»Ï¤«¤é¤Îή¤ì¡ÊÂç¿Í¡Ë
-
¶ºÀµ¼£Îų«»Ï
±Êµ×»õ¤ÎÆÌ±ú¤äÒû¤ß¹ç¤ï¤»¡¢¤ª¸ý¼þ¤ê¤ÎÊÊ¡¢¸ý¸µ¡¦²£´é¤Î¿³ÈþÀ¤Î²þÁ±¤Ê¤É¤òÌÜɸ¤Ë¡¢¥Þ¥ë¥Á¥Ö¥é¥±¥Ã¥ÈÁõÃÖ¡Êɽ¦¶ºÀµ¡Ë¡¢¥ê¥ó¥¬¥ë¥Ö¥é¥±¥Ã¥ÈÁõÃÖ¡Ê΢¦¶ºÀµ¡Ë¡¢¥Þ¥¦¥¹¥Ô¡¼¥¹·¿¶ºÀµÁõÃÖ¤ò»ÈÍѤ·¤Æ¶ºÀµ¼£ÎŤò¹Ô¤¤¤Þ¤¹¡£
¡¦¼£ÎÅ´ü´Ö 2¡Á3ǯ
¡¦Í象´Ö³Ö 1¥õ·î¤´¤È -
¶ºÀµ¼£ÎŽªÎ»
¶ºÀµÁõÃÖ¤òűµî¤·»ñÎÁ¤òºÎÆÀ¡¢¶ºÀµ¼£ÎŤÎÁ°¸å¤òÈæ³Ó¤·¤Þ¤¹¡£
-
ÊÝÄ곫»Ï¡¦·Ð²á´Ñ»¡
»õʤӤÈÒû¤ß¹ç¤ï¤»¤Î°ÂÄê¤Î¤¿¤á¤ËÊÝÄêÁõÃÖ¤ò¤Ä¤±¡¢¶ºÀµ¼£ÎŸå¤Î¾õÂÖ¤ò¤ß¤Æ¤¤¤¤Þ¤¹¡£
¡¦ÊÝÄê´ü´Ö 2ǯ¤Û¤É
¡¦Í象´Ö³Ö 3¡Á6¥õ·î¤´¤È
¼£Îų«»Ï¤«¤é¤Îή¤ì¡Ê»Ò¤É¤â¡Ë
-
µ´ü¼£Îų«»Ï
³Ü¤Î¹ü¤Î¥Ð¥é¥ó¥¹¤òÀ°¤¨¤ë¡¢±Êµ×»õ¤¬À¸¤¨¤ë¥¹¥Ú¡¼¥¹¤Î³ÎÊÝ¡¢Á°»õ¤È±ü»õ¤ÎÒû¤ß¹ç¤ï¤»²þÁ±¡¢¤ª¸ý¼þ¤ê¤ÎÊʤβþÁ±¤òÌÜɸ¤Ëµ´ü¼£ÎŤò¹Ô¤¤¤Þ¤¹¡£
¡¦¼£ÎÅ´ü´Ö 1¡Á2ǯ
¡¦Í象´Ö³Ö 1¡Á2¥õ·î¤´¤È -
±Êµ×»õ¤Ø¤ÎÀ¸¤¨ÊѤï¤êÂÔ¤Á¡¦À®Ä¹¤Î´Ñ»¡

12¡Á14ºÐº¢¤Þ¤Ç·Ð²á´Ñ»¡¤ò¹Ô¤¤¤Þ¤¹¡£¼õ¤±¸ý¤ä½Ð¤Ã»õ¤Ê¤É¤Î·¹¸þ¤¬¤¢¤ëÊý¤Ï¡¢¤ª¸ý¤ÎÀ®Ä¹¤¬½ª¤ï¤ëº¢¤Þ¤Ç·Ð²á´Ñ»¡¤ò¹Ô¤¤¤Þ¤¹¡£
¡¦Í象´Ö³Ö 3¥õ·î¡Á1ǯ¤´¤È -
ÀºÌ©¸¡ºº
¸½ºß¤Î¤ª¸ý¤Î¾õÂÖ¤òÃΤ뤿¤á¤Ë¡¢¥ì¥ó¥È¥²¥ó¤ä»õ·¿¡¢Òû¤ß¹ç¤ï¤»¡¢CT¸¡ºº¤Ê¤É¤òɬÍפ˱þ¤¸¤Æ¹Ô¤¤¤Þ¤¹¡£
-
¿ÇÃÇ¡¦¼£ÎŷײèÀâÌÀ
ÀºÌ©¸¡ºº¤Î·ë²Ì¤ò¤â¤È¤Ë¡¢¶ºÀµ¼£ÎŤÎÁ°¸å¤òÈæ³Ó¤·¤Þ¤¹¡£
ɬÍפ˱þ¤¸¤ÆII´ü¼£ÎŤηײè¤òΩ°Æ¤·¡¢¼£ÎÅÊý¿Ë¡¢»ÈÍѤ¹¤ë¶ºÀµÁõÃÖ¼£ÎÅ´ü´Ö¡¢ÈñÍѤʤɤˤĤ¤¤ÆÀâÌÀ¤·¤Þ¤¹¡£ -
II´ü¼£Îų«»Ï
±Êµ×»õ¤ÎÆÌ±ú¤äÒû¤ß¹ç¤ï¤»¡¢¤ª¸ý¼þ¤ê¤ÎÊÊ¡¢¸ý¸µ¡¦²£´é¤Î¿³ÈþÀ¤Î²þÁ±¤Ê¤É¤òÌÜɸ¤ËII´ü¼£ÎŤò¹Ô¤¤¤Þ¤¹¡£
¡¦¼£ÎÅ´ü´Ö 2ǯ
¡¦Í象´Ö³Ö 1¥õ·î¤´¤È -
¶ºÀµ¼£ÎŽªÎ»
¶ºÀµÁõÃÖ¤òűµî¤·»ñÎÁ¤òºÎÆÀ¡¢¶ºÀµ¼£ÎŤÎÁ°¸å¤òÈæ³Ó¤·¤Þ¤¹¡£
-
ÊÝÄ곫»Ï¡¦·Ð²á´Ñ»¡
»õʤӤÈÒû¤ß¹ç¤ï¤»¤Î°ÂÄê¤Î¤¿¤á¤ËÊÝÄêÁõÃÖ¤ò¤Ä¤±¡¢¶ºÀµ¼£ÎŸå¤Î¾õÂÖ¤ò¤ß¤Æ¤¤¤¤Þ¤¹¡£
¡¦ÊÝÄê´ü´Ö 2ǯ¤Û¤É
¡¦Í象´Ö³Ö 3¡Á6¥õ·î¤´¤È
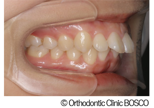
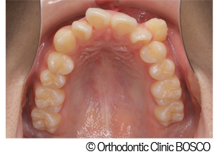
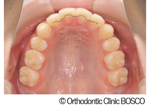
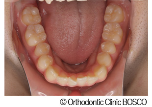
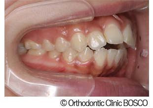
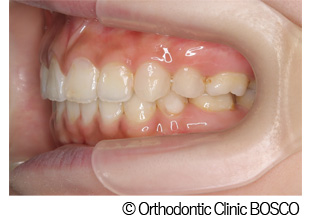
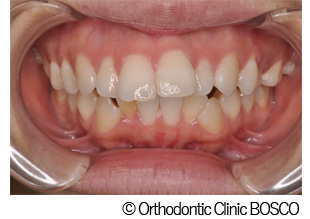
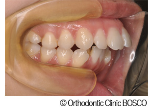
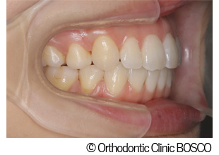
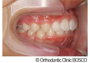
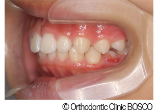
¾ÉÎã
¡Ú¾ÉÎã1¡Û¾å³ÜÁ°ÆÍ¡Ê½Ð¤Ã»õ¡Ë¡¢¥¬¥ß¡¼¥¹¥Þ¥¤¥ë¤Îɽ¦¶ºÀµ¼£ÎÅ
- ¼£ÎÅÁ°
- ¼£ÎŸå
- ¼£ÎÅ̾
- ¾å³ÜÁ°ÆÍ¡Ê½Ð¤Ã»õ¡Ë¡¢¥¬¥ß¡¼¥¹¥Þ¥¤¥ë¤Îɽ¦¶ºÀµ¼£ÎÅ
- ÈñÍÑ
- 1,237,500±ß¡ÊÀǹþ¡Ë
- ÈñÍÑÆâÌõ
- ÁêÃÌÎÁ 5,500±ß¡ÊÀǹþ¡Ë¡¿¸¡ºº¡¦¿ÇÃÇÎÁ 55,000±ß¡ÊÀǹþ¡Ë¡¿´ðËÜÎÁ 880,000±ß¡ÊÀǹþ¡Ë¡¿¥»¥é¥ß¥Ã¥¯¥Ö¥é¥±¥Ã¥ÈÎÁ 55,000±ß¡ÊÀǹþ¡Ë¡¿¶ºÀµÍÑ¥¢¥ó¥«¡¼¥¹¥¯¥ê¥å¡¼ÎÁ 44,000±ß¡ÊÀǹþ¡Ë¡¿Ä´À°ÎÁ 5,500±ß¡ÊÀǹþ¡Ë¡ß36²óÉÑÅÙ
- ´ü´Ö
- 3ǯ
- ÀÊÌ¡¦Ç¯Âå
- ½÷À¡¦20Âå
¼£ÎÅÆâÍÆ
-
´µ¼ÔÍͤξɾõ
-
½Ð¤Ã»õ¤Ç¸ý¸µ¤¬µ¤¤Ë¤Ê¤ë¤È¤Î¤³¤È¤ÇÍ象¤µ¤ì¤Þ¤·¤¿¡£
-
¼£ÎÅÊýË¡
-
¾å²¼º¸±¦4ÈÖ¤ÎÈ´»õ¤ò¤·¡¢¶ºÀµÍÑ¥¢¥ó¥«¡¼¥¹¥¯¥ê¥å¡¼¤òÊ»ÍѤ·¤¿¥Þ¥ë¥Á¥Ö¥é¥±¥Ã¥ÈÁõÃ֡ʾ岼ɽ¦¡Ë¤Ë¤è¤ë¼£ÎŤò¹Ô¤¤¤Þ¤·¤¿¡£
-
¼£ÎÅ·ë²Ì
-
»õʤӤÈÒû¤ß¹ç¤ï¤»¤¬²þÁ±¤·¡¢¸ý¸µ¤ÎÆÍ½Ð´¶¤â·Ú¸º¤µ¤ì¤Þ¤·¤¿¡£
¤µ¤é¤Ë¡¢¥¬¥ß¡¼¥¹¥Þ¥¤¥ë¤â²þÁ±¤·¡¢¼«Á³¤ÇĴϤΤȤ줿ÁÇŨ¤Ê¥¹¥Þ¥¤¥ë¤¬ÆÀ¤é¤ì¤Þ¤·¤¿¡£
¼£ÎŤò¹Ô¤¦¾å¤Ç¤ÎÃí°ÕÅÀ¡Ê¥ê¥¹¥¯¡¦ÉûºîÍÑ¡Ë
¡¦¶ºÀµÁõÃÖ¤ÎÁõÃ塦ĴÀ°¤Ë¤è¤ê¡¢°ãÏ´¶¤äÄˤߤ¬½Ð¤ë¤³¤È¤¬¤¢¤ê¤Þ¤¹¡£
¡¦ÁõÃÖÁõÃåÃæ¤Ï»õ¤ß¤¬¤¤¬¤·¤Ë¤¯¤¯¤Ê¤ê¡¢Ãî»õ¤ä»õ¼þɤΥꥹ¥¯¤¬¹â¤Þ¤ê¤Þ¤¹¡£
¡¦»õ¤Î°Üư¤Ë¤è¤ê¡¢»õº¬µÛ¼ý¤ä»õ·Ô¤¬²¼¤¬¤ë¤³¤È¤¬¤¢¤ê¤Þ¤¹¡£
¡¦¤´¤¯¤Þ¤ì¤Ë¡¢»õ¤Î¿À·Ð¤Ë¾ã³²¤¬À¸¤¸¤ë¤³¤È¤¬¤¢¤ê¤Þ¤¹¡£
¡¦ÊÝÄêÁõÃÖ¤ò»Ø¼¨¤É¤ª¤ê»ÈÍѤ·¤Ê¤¤¤È¡¢¸åÌá¤ê¤¬µ¯¤³¤ê¤ä¤¹¤¯¤Ê¤ê¤Þ¤¹¡£
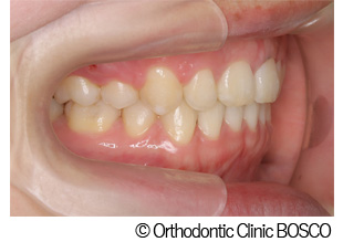
¡Ú¾ÉÎã2¡ÛÁÑÀ¸¡Ê¤Ç¤³¤Ü¤³¡Ë¤Îɽ¦¶ºÀµ¼£ÎÅ
- ¼£ÎÅÁ°
- ¼£ÎŸå
- ¼£ÎÅ̾
- ÁÑÀ¸¡Ê¤Ç¤³¤Ü¤³¡Ë¤Îɽ¦¶ºÀµ¼£ÎÅ
- ÈñÍÑ
- 1,166,000±ß¡ÊÀǹþ¡Ë
- ÈñÍÑÆâÌõ
- ÁêÃÌÎÁ 5,500±ß¡ÊÀǹþ¡Ë¡¿¸¡ºº¡¦¿ÇÃÇÎÁ 55,000±ß¡ÊÀǹþ¡Ë¡¿´ðËÜÎÁ 880,000±ß¡ÊÀǹþ¡Ë¡¿¥»¥é¥ß¥Ã¥¯¥Ö¥é¥±¥Ã¥ÈÎÁ 55,000±ß¡ÊÀǹþ¡Ë¡¿Ä´À°ÎÁ 5,500±ß¡ÊÀǹþ¡Ë¡ß31²ó
- ´ü´Ö
- 2ǯ7¥õ·î
- ÀÊÌ¡¦Ç¯Âå
- ÃËÀ¡¦10Âå
¼£ÎÅÆâÍÆ
-
´µ¼ÔÍͤξɾõ
-
Ȭ½Å»õ¤¬µ¤¤Ë¤Ê¤ë¤È¤Î¤³¤È¤ÇÍ象¤µ¤ì¤Þ¤·¤¿¡£
-
¼£ÎÅÊýË¡
-
¾åº¸±¦4ÈÖ¤ª¤è¤Ó²¼º¸±¦5ÈÖ¤ÎÈ´»õ¤ò¤·¡¢¥Þ¥ë¥Á¥Ö¥é¥±¥Ã¥ÈÁõÃ֡ʾ岼ɽ¦¡Ë¤Ë¤è¤ë¼£ÎŤò¹Ô¤¤¤Þ¤·¤¿¡£
-
¼£ÎÅ·ë²Ì
-
»õʤӤÈÒû¤ß¹ç¤ï¤»¤¬À°¤¤¡¢Á°»õ¤Ç¤â¤·¤Ã¤«¤ê³ú¤á¤ë¤è¤¦¤Ë¤Ê¤ê¤Þ¤·¤¿¡£
»õ¤ß¤¬¤¤â¤·¤ä¤¹¤¯¤Ê¤ê¡¢¤ª¸ý¤Î¥±¥¢¤¬¤·¤ä¤¹¤¤¾õÂ֤ˤʤê¤Þ¤·¤¿¡£
¼£ÎŤò¹Ô¤¦¾å¤Ç¤ÎÃí°ÕÅÀ¡Ê¥ê¥¹¥¯¡¦ÉûºîÍÑ¡Ë
¡¦¶ºÀµÁõÃÖ¤ÎÁõÃ塦ĴÀ°¤Ë¤è¤ê¡¢°ãÏ´¶¤äÄˤߤ¬½Ð¤ë¤³¤È¤¬¤¢¤ê¤Þ¤¹¡£
¡¦ÁõÃÖÁõÃåÃæ¤Ï»õ¤ß¤¬¤¤¬¤·¤Ë¤¯¤¯¤Ê¤ê¡¢Ãî»õ¤ä»õ¼þɤΥꥹ¥¯¤¬¹â¤Þ¤ê¤Þ¤¹¡£
¡¦»õ¤Î°Üư¤Ë¤è¤ê¡¢»õº¬µÛ¼ý¤ä»õ·Ô¤¬²¼¤¬¤ë¤³¤È¤¬¤¢¤ê¤Þ¤¹¡£
¡¦¤´¤¯¤Þ¤ì¤Ë¡¢»õ¤Î¿À·Ð¤Ë¾ã³²¤¬À¸¤¸¤ë¤³¤È¤¬¤¢¤ê¤Þ¤¹¡£
¡¦ÊÝÄêÁõÃÖ¤ò»Ø¼¨¤É¤ª¤ê»ÈÍѤ·¤Ê¤¤¤È¡¢¸åÌá¤ê¤¬µ¯¤³¤ê¤ä¤¹¤¯¤Ê¤ê¤Þ¤¹¡£
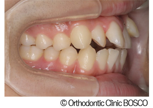
¡Ú¾ÉÎã3¡Û³«Òû¤Î΢¦¶ºÀµ¼£ÎÅ
- ¼£ÎÅÁ°
- ¼£ÎŸå
- ¼£ÎÅ̾
- ³«Òû¤Î΢¦¶ºÀµ¼£ÎÅ
- ÈñÍÑ
- 1,688,500±ß¡ÊÀǹþ¡Ë
- ÈñÍÑÆâÌõ
- ÁêÃÌÎÁ 5,500±ß¡ÊÀǹþ¡Ë¡¿¸¡ºº¡¦¿ÇÃÇÎÁ 55,000±ß¡ÊÀǹþ¡Ë¡¿´ðËÜÎÁ 1,430,000±ß¡ÊÀǹþ¡Ë¡¿Ä´À°ÎÁ 6,600±ß¡ÊÀǹþ¡Ë¡ß30²ó
- ´ü´Ö
- 2ǯ9¥õ·î
- ÀÊÌ¡¦Ç¯Âå
- ½÷À¡¦20Âå
¼£ÎÅÆâÍÆ
-
´µ¼ÔÍͤξɾõ
-
Á°»õ¤Ç³ú¤á¤Ê¤¤¤³¤È¤òµ¤¤Ë¤µ¤ì¤ÆÍ象¤µ¤ì¤Þ¤·¤¿¡£
-
¼£ÎÅÊýË¡
-
¾å²¼º¸±¦4ÈÖ¤ÎÈ´»õ¤ò¤·¡¢¥ê¥ó¥¬¥ë¥Ö¥é¥±¥Ã¥ÈÁõÃ֡ʾ岼΢¦¡Ë¤Ë¤è¤ë¼£ÎŤò¹Ô¤¤¤Þ¤·¤¿¡£
¤Þ¤¿¡¢Àå¤Î¥¯¥»¤ä¤ª¸ý¤¬ÊĤ¸¤Ë¤¯¤¤¾õÂÖ¤¬¤ß¤é¤ì¤¿¤¿¤á¡¢¸ý¹Ð¶Úµ¡Ç½ÎÅË¡¡ÊMFT¡Ë¤âÊ»¤»¤Æ¼Â»Ü¤·¤Þ¤·¤¿¡£ -
¼£ÎÅ·ë²Ì
-
Òû¤ß¹ç¤ï¤»¤¬²þÁ±¤µ¤ì¡¢¥Ð¥é¥ó¥¹¤Î¤È¤ì¤¿¸ý¸µ¤È¤Ê¤ê¤Þ¤·¤¿¡£
¤Þ¤¿¡¢MFT¤Ë¤è¤êÀå¤ä¤ª¸ý¤Þ¤ï¤ê¤Î¶ÚÆù¤Î¥Ð¥é¥ó¥¹¤âÀ°¤¤¤Þ¤·¤¿¡£
¼£ÎŤò¹Ô¤¦¾å¤Ç¤ÎÃí°ÕÅÀ¡Ê¥ê¥¹¥¯¡¦ÉûºîÍÑ¡Ë
¡¦¶ºÀµÁõÃÖ¤ÎÁõÃ塦ĴÀ°¤Ë¤è¤ê¡¢°ãÏ´¶¤äÄˤߤ¬½Ð¤ë¤³¤È¤¬¤¢¤ê¤Þ¤¹¡£
¡¦ÁõÃÖÁõÃåÃæ¤Ï»õ¤ß¤¬¤¤¬¤·¤Ë¤¯¤¯¤Ê¤ê¡¢Ãî»õ¤ä»õ¼þɤΥꥹ¥¯¤¬¹â¤Þ¤ê¤Þ¤¹¡£
¡¦»õ¤Î°Üư¤Ë¤è¤ê¡¢»õº¬µÛ¼ý¤ä»õ·Ô¤¬²¼¤¬¤ë¤³¤È¤¬¤¢¤ê¤Þ¤¹¡£
¡¦¤´¤¯¤Þ¤ì¤Ë¡¢»õ¤Î¿À·Ð¤Ë¾ã³²¤¬À¸¤¸¤ë¤³¤È¤¬¤¢¤ê¤Þ¤¹¡£
¡¦ÊÝÄêÁõÃÖ¤ò»Ø¼¨¤É¤ª¤ê»ÈÍѤ·¤Ê¤¤¤È¡¢¸åÌá¤ê¤¬µ¯¤³¤ê¤ä¤¹¤¯¤Ê¤ê¤Þ¤¹¡£
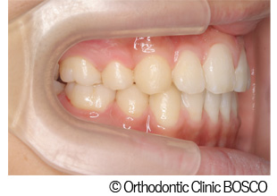
¡Ú¾ÉÎã4¡Û¾å³ÜÁ°ÆÍ¡Ê½Ð¤Ã»õ¡Ë¤Î³°²Ê¶ºÀµ¼£ÎÅ
- ¼£ÎÅÁ°
- ¼£ÎŸå
- ¼£ÎÅ̾
- ¾å³ÜÁ°ÆÍ¡Ê½Ð¤Ã»õ¡Ë¤Î³°²Ê¶ºÀµ¼£ÎÅ
- ÈñÍÑ
- 207,370±ß¡ÊÀǹþ¡Ë
¢¨¸øÅª°åÎÅÊݸ±¿ÇÎÅ¡¦¼ê½ÑÂå¤Ï´Þ¤Þ¤ì¤Æ¤ª¤ê¤Þ¤»¤ó - ´ü´Ö
- 2ǯ6¥õ·î
- ÀÊÌ¡¦Ç¯Âå
- ½÷À¡¦20Âå
¼£ÎÅÆâÍÆ
-
´µ¼ÔÍͤξɾõ
-
½Ð¤Ã»õ¤Ç¸ý¸µ¤¬µ¤¤Ë¤Ê¤ë¤È¤Î¤³¤È¤ÇÍ象¤µ¤ì¤Þ¤·¤¿¡£
-
¼£ÎÅÊýË¡
-
¾å²¼º¸±¦4ÈÖ¤ª¤è¤Ó¾å²¼º¸±¦8ÈÖ¡Ê¿ÆÃΤ餺¡Ë¤òÈ´»õ¤·¡¢¥Þ¥ë¥Á¥Ö¥é¥±¥Ã¥ÈÁõÃ֡ʾ岼ɽ¦¡Ë¤Ë¤è¤ë¶ºÀµ¼£ÎŤò¹Ô¤¤¤Þ¤·¤¿¡£
¤µ¤é¤Ë¡¢¾å²¼³Ü¤Î¹üÀÚ¤ê½Ñ¤òÊ»ÍѤ·¡¢Òû¤ß¹ç¤ï¤»¤È¹ü³Ê¤Î²þÁ±¤ò¿Þ¤ê¤Þ¤·¤¿¡£ -
¼£ÎÅ·ë²Ì
-
»õʤӤÈÒû¤ß¹ç¤ï¤»¤¬²þÁ±¤µ¤ì¤Þ¤·¤¿¡£
¹üÀÚ¤ê½Ñ¤òÊ»ÍѤ·¤¿¤³¤È¤Ç¹ü³ÊŪ¤Ê²þÁ±¤âÆÀ¤é¤ì¡¢¸ý¸µ¤Î°õ¾Ý¤¬Â礤¯ÊѲ½¤·¡¢¥Ð¥é¥ó¥¹¤Î¤È¤ì¤¿²£´é¤È¤Ê¤ê¤Þ¤·¤¿¡£
¼£ÎŤò¹Ô¤¦¾å¤Ç¤ÎÃí°ÕÅÀ¡Ê¥ê¥¹¥¯¡¦ÉûºîÍÑ¡Ë
¡¦¶ºÀµÁõÃÖ¤ÎÁõÃ塦ĴÀ°¤Ë¤è¤ê¡¢°ãÏ´¶¤äÄˤߤ¬½Ð¤ë¤³¤È¤¬¤¢¤ê¤Þ¤¹¡£
¡¦ÁõÃÖÁõÃåÃæ¤Ï»õ¤ß¤¬¤¤¬¤·¤Ë¤¯¤¯¤Ê¤ê¡¢Ãî»õ¤ä»õ¼þɤΥꥹ¥¯¤¬¹â¤Þ¤ê¤Þ¤¹¡£
¡¦»õ¤Î°Üư¤Ë¤è¤ê¡¢»õº¬µÛ¼ý¤ä»õ·Ô¤¬²¼¤¬¤ë¤³¤È¤¬¤¢¤ê¤Þ¤¹¡£
¡¦¤´¤¯¤Þ¤ì¤Ë¡¢»õ¤Î¿À·Ð¤Ë¾ã³²¤¬À¸¤¸¤ë¤³¤È¤¬¤¢¤ê¤Þ¤¹¡£
¡¦ÊÝÄêÁõÃÖ¤ò»Ø¼¨¤É¤ª¤ê»ÈÍѤ·¤Ê¤¤¤È¡¢¸åÌá¤ê¤¬µ¯¤³¤ê¤ä¤¹¤¯¤Ê¤ê¤Þ¤¹¡£
¡¦³°²Ê¼ê½Ñ¸å¤ÎÄˤߡ¢¼ð¤ì¡¢ÃÎ³ÐÆßË㤬½Ð¤ë¤³¤È¤¬¤¢¤ê¤Þ¤¹¡£
¡Ú¾ÉÎã5¡Û¾å³ÜÁ°ÆÍ¡Ê²¼³Ü¸åÂà¡Ë¤Î»Ò¤É¤â¤Î¶ºÀµ¼£ÎÅ
- ¼£ÎÅÁ°
- ¼£ÎŸå
- ¼£ÎÅ̾
- ¾å³ÜÁ°ÆÍ¡Ê²¼³Ü¸åÂà¡Ë¤Î»Ò¤É¤â¤Î¶ºÀµ¼£ÎÅ
- ÈñÍÑ
- 516,450±ß¡ÊÀǹþ¡Ë
- ÈñÍÑÆâÌõ
- ÁêÃÌÎÁ 4,950±ß¡ÊÀǹþ¡Ë¡¿¸¡ºº¡¦¿ÇÃÇÎÁ 55,000±ß¡ÊÀǹþ¡Ë¡¿´ðËÜÎÁ 385,000±ß¡ÊÀǹþ¡Ë¡¿Ä´À°ÎÁ 5,500±ß¡ÊÀǹþ¡Ë¡ß13²ó
- ´ü´Ö
- 1ǯ6¥õ·î
- Ä̱¡ÉÑÅÙ
- 1¡Á2¥õ·î¤´¤È
- ÀÊÌ¡¦Ç¯Îð
- ÃËÀ¡¦10ºÐ
¼£ÎÅÆâÍÆ
-
´µ¼ÔÍͤξɾõ
-
¾å¤Î»õ¤¬Á°¤Ë½Ð¤Æ¤¤¤ë¤³¤È¤È¡¢¸ý¤¬ÊĤ¸¤Ë¤¯¤¤¤³¤È¤¬µ¤¤Ë¤Ê¤ë¤È¤Î¤³¤È¤ÇÍ象¤µ¤ì¤Þ¤·¤¿¡£
-
¼£ÎÅÊýË¡
-
²¼³Ü¤ÎÀ®Ä¹ÉÔ¤ˤè¤ë¾å³ÜÁ°ÆÍ¤Î¤¿¤á¡¢FKO¡Ê¼è¤ê³°¤·¼°¤Îµ¡Ç½Åª³Ü¶ºÀµÁõÃ֡ˤò»ÈÍѤ·¡¢²¼³Ü¤ÎÀ®Ä¹¤òÂ¥¤·¤Þ¤·¤¿¡£
-
¼£ÎÅ·ë²Ì
-
ÁõÃÖ¤òÎɹ¥¤Ë»ÈÍѤǤ¤¿¤³¤È¤Ç²¼³Ü¤ÎÀ®Ä¹¤¬Â¥¤µ¤ì¡¢¾å³ÜÁ°ÆÍ¤¬²þÁ±¤µ¤ì¤Þ¤·¤¿¡£
¤ª¸ý¤¬ÊĤ¸¤ä¤¹¤¯¤Ê¤ê¡¢¥Ð¥é¥ó¥¹¤Î¤È¤ì¤¿¸ý¸µ¤È¤Ê¤ê¤Þ¤·¤¿¡£
¼£ÎŤò¹Ô¤¦¾å¤Ç¤ÎÃí°ÕÅÀ¡Ê¥ê¥¹¥¯¡¦ÉûºîÍÑ¡Ë
¡¦¶ºÀµÁõÃÖ¤ÎÁõÃ塦ĴÀ°¤Ë¤è¤ê¡¢°ãÏ´¶¤äÄˤߤ¬½Ð¤ë¤³¤È¤¬¤¢¤ê¤Þ¤¹¡£
¡¦¶ºÀµÁõÃ֤λÈÍѾõ¶·¤Ë¤è¤ê¡¢¼£ÎÅ·ë²Ì¤ä¼£ÎÅ´ü´Ö¤Ë±Æ¶Á¤·¤Þ¤¹¡£
¡¦»õ¤Î°Üư¤Ë¤è¤ê¡¢»õº¬µÛ¼ý¤ä»õ·Ô¤¬²¼¤¬¤ë¤³¤È¤¬¤¢¤ê¤Þ¤¹¡£
¡¦¤´¤¯¤Þ¤ì¤Ë¡¢»õ¤Î¿À·Ð¤Ë¾ã³²¤¬À¸¤¸¤ë¤³¤È¤¬¤¢¤ê¤Þ¤¹¡£
¡¦³Ü¤ÎÀ®Ä¹È¯°é¤Ë¤è¤ê¡¢Òû¤ß¹ç¤ï¤»¤ä»õʤӤ¬ÊѲ½¤¹¤ë¤³¤È¤¬¤¢¤ê¤Þ¤¹¡£
¢¨¼£ÎÅ·ë²Ì¤Ï´µ¼ÔÍͤˤè¤Ã¤Æ¸Ä¿Íº¹¤¬¤¢¤ê¤Þ¤¹¡£
¼£ÎÅ¥µ¡¼¥Ó¥¹
| ¶ºÀµ¤Î¼ïÎà | Éôʬ¶ºÀµ / ¥¤¥ó¥×¥é¥ó¥È¶ºÀµ / À®¿Í¶ºÀµ / ÌÜΩ¤Á¤Ë¤¯¤¤¥ï¥¤¥ä¡¼ / ¿³Èþ¥Ö¥é¥±¥Ã¥È |
|---|---|
| ¶ºÀµÃæ¤Î¼£ÎÅ | ¸ý¹Ð¶Úµ¡Ç½ÎÅË¡¡ÊMFT¡Ë |
| ¤½¤Î¾¤Î¥µ¡¼¥Ó¥¹ | È´»õÂбþ / ž±¡Âбþ |
°å±¡¾ðÊó
| ½»½ê | ¢©700-0085 ²¬»³¸©²¬»³»ÔË̶èÄÅÅçÆî1-1-2 ÃÏ¿Þ |
|---|---|
| TEL | 086-253-8020 ¢¨¤ªÅÅÏäˤƤ´Í½Ì󡦤´ÁêÃ̤¤¤¿¤À¤¯¾ì¹ç¤Ï¡¢¡Ö¶ºÀµ»õ²Ê¥Í¥Ã¥È¤ò¸«¤¿¡×¤È¸À¤Ã¤Æ¤¤¤¿¤À¤±¤ë¤È¥¹¥à¡¼¥º¤Ç¤¹¡£ |
| ¸ø¼°¥Û¡¼¥à¥Ú¡¼¥¸ |
|
| ¿ÇÎÅ»þ´Ö | Ê¿Æü 11:00¡Á18:00 ÅÚÍËÆü10:00¡Á17:00 |
| µÙ¿ÇÆü | ·î¡¦Æü¡¦½Ë ¢¨¤½¤Î¤Û¤«¡¢ÉÔÄê´ü¤Ç¤ªµÙ¤ß¤ò¤¤¤¿¤À¤¯¤³¤È¤¬¤¢¤ê¤Þ¤¹ |
| ¥¢¥¯¥»¥¹ |
²¬ÅÅ¡¦ÃæÅ´Àþ¡ØÉðÆ»´Û¸ý¥Ð¥¹Ää¡Ù¤è¤êÅÌÊâ1ʬ JRÀþ¡Ø²¬»³±Ø¡Ù¤è¤ê²¬ÅÅ¡¦ÃæÅ´¥Ð¥¹¤Ø¾è¤ê´¹¤¨¡Ø²¬ÅťХ¹Ää¡Ù¤Ç¹ß¼Ö Ãó¼Ö¾ì3Âæ´°È÷ |

















































