ひろ矯正歯科クリニック
美しいだけじゃない!ロスフィロソフィーで機能的かつ健康な歯へ

得意・専門とする治療や研究分野
院長:竹下 寛
-
1978年 明治学院高等学校卒業
1984年 昭和大学歯学部卒業 歯科医師国家試験合格
1984年 鶴見大学歯学部歯科矯正教室入局
1985年 同 診療科助手
1989年 同 助手として大学の教育に携わる
1993年 ひろ矯正歯科クリニック開設
・公益社団法人 日本矯正歯科学会 認定医
得意・専門とする治療や研究分野
当クリニックでは、「ロスフィロソフィー」の考えに基づいた矯正治療を行っております。
ロスフィロソフィーとは、米国の矯正歯科医ロナルド・ロス先生によって開発された矯正治療の技術です。下顎の位置や機能的な噛みあわせを精密に診査・診断し、健全な顎関節と噛みあわせを実現しながら歯並びを整えていきます。
いくら見た目だけ歯並びを綺麗に整えても、噛み合わせと顎関節の状態が悪ければ、歯は長持ちせず、頭痛や肩こりなどの体への悪影響が出るケースもあります。
15年前にロスフィロソフィーの技術を習得して以来、患者様により良い治療を提供するために日々研鑽[けんさん]を積んでいます。
休日の過ごし方や、趣味について
最近は有難いことに仕事が忙しくてなかなか時間が作れていないのですが、昔からスポーツが好きで、サッカーやスキー、時には水上スキーなどを楽しむこともあります。
教えてひろ矯正歯科クリニックのこと!

-

- 院長の竹下 寛です。
快適で良質な矯正治療を目指しています。

-

- 矯正歯科ネット運営スタッフです。
医院のこだわりについて教えてください。
当クリニックでは、ただ単純に歯並びを綺麗に整えるだけの治療は行いません。
美しい歯並びは当然のことながら、美しい口元のライン、健康な歯周組織、そして健全な顎関節を実現することを重視した治療を提供致します。
充実した設備で精密に顎関節の状態を診断し、顎関節と噛み合わせ、そして歯並びを総合的に判断することで、審美的にも機能的にもより良い治療結果を目指します。
診療において大切にされていることは何ですか?
実は私も40歳のころに矯正治療を受けました。矯正治療中のわずらわしさを経験しているので、患者様の体への負担が少ない治療を心掛けています。
具体的には、患者様のお口や歯に触れる際にはできるだけ力をかけないようにし、矯正のワイヤーを取り外したりするときは、ワイヤーが唇に当たらないように注意しつつ、長時間大きな口を開けていなくても済むように工夫をしています。
これからも患者様に対して誠実に向き合って、お一人おひとりに合った治療を提供していきたいと思っています。
写真でわかるひろ矯正歯科クリニックのこだわり!
答えてくれるのは・・・
竹下 寛 院長先生
患者様が安心して治療を受けられる医院づくりを常に心掛けています。
当クリニックでは、できるだけ痛みが少ない矯正治療を心掛けています。
通常より細いワイヤーや弾性の強いやわらかいワイヤーを利用することで、痛みは軽減されます。
さらにワイヤーをブラケットに留めるための針金も細いものを使用し、無理な力を掛けずに巻き付けます。
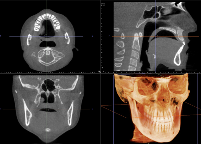
良質な矯正治療のためには、顎の状態や歯を支える骨の状態を精確に把握することが大切です。
当クリニックでは、最新の歯科用CT(コンピュータ断層撮影装置)を導入し、3D画像によって通常のレントゲンでは確認できない部分も精密に把握することで、より的確な診断を可能にしています。
当クリニックでは、無料カウンセリングを実施しています。これまで3,500症例以上の矯正治療を行ってきた経験を活かし、患者様お一人おひとりに合った治療をご提供致します。もちろん、無理に矯正治療を勧めることも致しません。治療費や治療期間といった質問にもお答えします。ぜひ一度ご来院ください。
医院選びで迷っている患者様へのアドバイス
ホームページなどにも歯科医院の情報はたくさん載っていますが、本当に自分に合っている医院かどうかを見極めるためには、実際にいくつかの矯正歯科にカウンセリングに行ってみることをお勧めします。
当クリニックでは、初診のカウンセリングは無料で行っておりますので、歯並びでお悩みのことがあれば、どうぞお気軽にご相談ください。
また、歯並びだけでなく噛み合わせを重視した治療を行っておりますので、重症の顎関節症や、不正な噛み合わせによる頭痛や歯ぎしりにお悩みの方のお力にもなれます。
矯正治療は、患者様の一生の健康に大きく影響を与えるものです。当クリニックは、見た目の美しさだけでなく機能的にも心からご納得いただける治療を提供致します。




