外科的矯正の治療例 (骨格性上顎前突、下顎前突、他)

矯正治療単独だけでは治療が困難な症例の治療方法を症例写真とともにご紹介します。

記事提供

目次

  1. 健康保険の適用ができる外科的矯正の症例
  2. 外科的矯正で治療した症例の紹介
  3. 1. [骨格性上顎前突・過蓋咬合・空隙歯列弓]
  4. 2. [骨格性下顎前突・前歯部反対咬合・叢生]
  5. 3. [骨格性下顎前突・前歯部開咬・叢生]
  6. 4. [右側唇顎口蓋裂 狭窄歯列弓・ 前歯部反対咬合]
  7. 5. [左側唇顎口蓋裂 狭窄歯列弓・ 叢生]
  8. 6. [両側性唇顎口蓋裂 狭窄歯列弓・臼歯部交叉咬合および前歯部反対咬合]

健康保険の適用ができる外科的矯正の症例

矯正治療単独だけでは治療が困難な症例の治療方法です。
顔のゆがみや、顎の出っ張り等、矯正治療と外科的手術を併用した治療方法です。矯正治療単独ではだけでは十分な噛み合わせを確立することが困難な場合、外科的手術を併用する矯正治療をおこなうことで、噛み合わせのみならず、顔貌の改善も可能とする治療方法です。

外科矯正治療の主な治療は、 【術前矯正約1年】→【外科手術入院5日~10日】→【術後矯正約1年】→【保定1~2年】 という流れが一般的です。

これらの治療・手術にはすべて健康保険が適応されます。健康保険適応の施設は大学病院などの施設と大学病院と同等の施設を有している医療機関のみです。
更生医療指定機関の指定を受けている医院では、外科矯正治療に健康保険が適応することができます。

外科的矯正で治療した症例の紹介

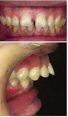
1. [骨格性上顎前突・過蓋咬合・空隙歯列弓]

治療前

骨格性上顎前突・過蓋咬合・空隙歯列弓(正面) 治療前治療前

治療後

骨格性上顎前突・過蓋咬合・空隙歯列弓(正面) 治療前治療後

2. [骨格性下顎前突・前歯部反対咬合・叢生]

治療前

骨格性下顎前突・前歯部反対咬合・叢生 治療後治療前

治療後

骨格性下顎前突・前歯部反対咬合・叢生 治療後治療後

3. [骨格性下顎前突・前歯部開咬・叢生]

治療前

骨格性下顎前突・前歯部開咬・叢生 治療前治療前

治療後

骨格性下顎前突・前歯部開咬・叢生 治療前治療後

4. [右側唇顎口蓋裂 狭窄歯列弓・ 前歯部反対咬合]

治療前

右側唇顎口蓋裂 狭窄歯列弓・ 前歯部反対咬合治療前

治療後

右側唇顎口蓋裂 狭窄歯列弓・ 前歯部反対咬合治療後

5. [左側唇顎口蓋裂 狭窄歯列弓・ 叢生]

治療前

左側唇顎口蓋裂 狭窄歯列弓・ 叢生 治療前治療前

治療後

左側唇顎口蓋裂 狭窄歯列弓・ 叢生 治療前治療後

6. [両側性唇顎口蓋裂 狭窄歯列弓・臼歯部交叉咬合および前歯部反対咬合]

治療前

両側性唇顎口蓋裂 狭窄歯列弓・臼歯部交叉咬合および前歯部反対咬合治療前治療前

治療後

両側性唇顎口蓋裂 狭窄歯列弓・臼歯部交叉咬合および前歯部反対咬合治療前治療後

あわせて読みたい記事

メディア運用会社について

メディカルネット

株式会社メディカルネット(東証グロース上場)は、より良い歯科医療環境の実現を目指し、インターネットを活用したサービスの提供にとどまらず、歯科医療を取り巻く全ての需要に対して課題解決を行っています。

当サイト「矯正歯科ネット」を通して生活者に有益な医療情報を歯科治療の「理解」と「普及」をテーマに、自分に最適な歯科医院についての情報や、歯の基礎知識、矯正歯科などの専門治療の説明など、生活者にとって有益な情報の提供を目指しています。

矯正歯科歯科医院を探すなら「矯正歯科ネット」

矯正歯科治療を行なっている歯科医院を、全国から簡単に検索できます。お近くの矯正歯科歯科医院をお探しの場合にもぜひご活用ください。