上下の歯の凸凹を非抜歯で治療した症例
上顎前突(出っ歯)と叢生(でこぼこ)を抜歯して治療した症例写真です。
公開日:2019/10/01 更新日:2019/11/25
記事提供
目次
はじめに
患者さんのお口の中の状態は人によって違います。ご自身と似た症例を御覧頂き、治療を検討する際のご参考として治療前・治療後の症例を紹介いたします。
歯を抜かずに叢生(でこぼこ)を治療した症例
患者様 : Hさん 男性
症状 : 歯列の叢生(デコボコ)
抜歯 : なし
この症例はガタガタ(叢生)がありますが、臼歯を後ろに移動させ、前歯部が並ぶスペースを作り出す事により、歯を抜かずに治療しました。
歯を抜くか抜かないかは、歯形やX線写真などから得られる客観的データに基づき、ガタガタの度合い、歯の出ぐあい、あごの骨の形、奥歯の咬み合わせの状態などとともに、ご希望の治療目標を総合的に判断して、治療をお受けになる患者さんご本人と保護者の方との話し合いにより決定します。
治療前

初診時の状態です。上下の歯並びがガタガタしています。
治療中

まず上下の奥歯をゆっくりと後方に移動していきます。
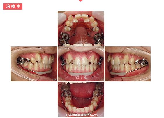
治療中

奥歯の位置を調整しながら前歯にも装置を付けていきます。
歯列内にスペースができています。
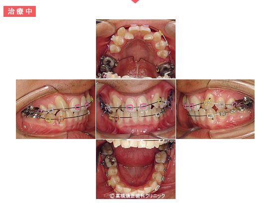
治療中

できたスペースをうまく利用して前歯を並べていきます。
治療中

細かい仕上げをしていよいよ完成です。
治療後

装置は歯に接着してあるだけですので、専用の器具で簡単にはずせます。
治療終了後は歯の裏側にリテーナーを装着し、年に1度くらいの定期検査を続けます。
※治療方法・治療結果は、患者様によって個人差があります。
あわせて読みたい記事
メディア運用会社について

株式会社メディカルネット(東証グロース上場)は、より良い歯科医療環境の実現を目指し、インターネットを活用したサービスの提供にとどまらず、歯科医療を取り巻く全ての需要に対して課題解決を行っています。
当サイト「矯正歯科ネット」を通して生活者に有益な医療情報を歯科治療の「理解」と「普及」をテーマに、自分に最適な歯科医院についての情報や、歯の基礎知識、矯正歯科などの専門治療の説明など、生活者にとって有益な情報の提供を目指しています。
矯正歯科歯科医院を探すなら「矯正歯科ネット」
矯正歯科治療を行なっている歯科医院を、全国から簡単に検索できます。お近くの矯正歯科歯科医院をお探しの場合にもぜひご活用ください。