【交叉咬合[こうさこうごう]】すれ違い咬合・クロスバイト

不正咬合のひとつである【交叉咬合】はクロスバイトとも呼ばれ、上下の歯を噛み合わせた時に、上下の歯列がどこかで交叉しているかみ合わせのことをいいます。ここでは症例写真を用いながら交叉咬合について詳しく解説しています。ご自分のかみ合わせが気になる方、矯正治療をお考えの方はこちらをご覧ください。

記事提供

目次

  1. 上の奥歯が下の奥歯の内側で咬み合わされていて、上下が逆の咬合
  2. 交叉咬合(すれ違い咬合/クロスバイト)の基礎知識
  3. 【症例写真】左右の第二大臼歯の鋏状咬合と、叢生を治療した症例
  4. 治療前
  5. 治療中
  6. 治療後
  7. 歯のしくみ

上の奥歯が下の奥歯の内側で咬み合わされていて、上下が逆の咬合

交叉咬合(すれ違い咬合/クロスバイト)の基礎知識

交叉咬合とは

正常な咬合は、上アゴが下アゴを覆うように均等に噛み合っていて、上の歯列全体が下の歯列よりもやや外側に出ています。交叉咬合[こうさこうごう]は、「すれ違い咬合」やクロスバイトとも呼ばれ、上下の歯を噛み合わせた時に、上下の歯列がどこかで交叉しているかみ合わせのことをいいます。

例えば、上顎右側の奥歯は下顎の奥歯のやや外側に位置しているのに対して、左側奥歯では右側とは反対に、歯列の途中で上と下の歯の咬み合わせの位置が交叉して、上の奥歯が下の歯の内側に咬み合わされているケースなどがあります。

【症例写真】左右の第二大臼歯の鋏状咬合と、叢生を治療した症例

ここで紹介する写真は、左側の第一大臼歯の交叉咬合と、歯列が凸凹の「叢生」の症例です。上下顎の左右の第一小臼歯(真ん中から4番目)合計4本を抜歯後、矯正装置を20ヵ月装着して治療をしました。

外から目立ちにくい、クリアタイプのブラケットを使用した表側矯正装置を装着し、また、お口の裏側(口蓋)から、徐々に歯列の幅を広げる「クワドへリックス」を併用して治療をしました。20ヵ月の動的治療後、第一大臼歯の交叉咬合と歯列の凸凹もキレイに改善され、上顎の歯列が均等に下顎の歯列に咬み合っっている正常な咬み合わせになりました。

患者様 : 19歳女性
診断名 : 左側第一大臼歯交叉咬合を伴うアングル?級叢生症例
治療法 : 上下顎両側第一小臼歯抜歯ケース。「018x025スタンダードエッジワイズブラケット(クリアタイプ)」、「クワドへリックス」
動的治療期間 (矯正治療期間) :20ヵ月

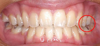
治療前

治療前

赤い円で印された左上顎の第一大臼歯が下顎の歯列の内側に入り込んでいます。

治療中

治療中

上顎に目立たないクリアタイプのブラケットを使用した表側矯正装置と、歯列弓の幅を徐々に広げる「クワドヘリックス」を装着している写真。クワドヘリックスは先に外します。

治療後

治療後

動的治療開始から20ヵ月後。上下の咬み合わせが改善され、正常になりました。

歯のしくみ

歯のしくみ

人の歯の数は乳歯では20本、永久歯は28本(親知らずを含めると32本)です。

あわせて読みたい記事

メディア運用会社について

メディカルネット

株式会社メディカルネット(東証グロース上場)は、より良い歯科医療環境の実現を目指し、インターネットを活用したサービスの提供にとどまらず、歯科医療を取り巻く全ての需要に対して課題解決を行っています。

当サイト「矯正歯科ネット」を通して生活者に有益な医療情報を歯科治療の「理解」と「普及」をテーマに、自分に最適な歯科医院についての情報や、歯の基礎知識、矯正歯科などの専門治療の説明など、生活者にとって有益な情報の提供を目指しています。

矯正歯科歯科医院を探すなら「矯正歯科ネット」

矯正歯科治療を行なっている歯科医院を、全国から簡単に検索できます。お近くの矯正歯科歯科医院をお探しの場合にもぜひご活用ください。