デコボコと出っ歯がある歯並びの治療例(成人・裏側矯正)

叢生(歯並びがガタガタ)で上顎前突(出っ歯)の患者様を矯正した例です。初診時から治療後を写真とともにご紹介します。「矯正歯科ネットは矯正に関する情報を発信しているポータルサイトです。」

記事提供

目次

  1. 叢生と上顎前突 複数の不正咬合がみられる患者様
  2. 初診~治療開始
  3. 出っ歯と叢生を裏側矯正で治療するため、遠方からの通院された患者様
  4. 治療について(小臼歯の抜歯と裏側矯正)
  5. 治療後
  6. 治療前後の比較 (口蓋・舌側)
  7. 治療前後の比較 (正面・側方)

叢生と上顎前突 複数の不正咬合がみられる患者様

叢生と上顎前突 複数の不正咬合がみられる患者様

歯列矯正で2つの悩みを改善
不正咬合は1つの種類とは限りません。受け口や出っ歯があり、歯並びのデコボコもある患者様もいらっしゃいます。

このページでは、外に突き出た前歯(出っ歯)と、歯列のデコボコ(叢生・乱杭歯)がある患者様を裏側矯正で治療した例をご紹介します。

初診~治療開始

出っ歯と叢生を裏側矯正で治療するため、遠方からの通院された患者様

出っ歯と叢生を裏側矯正で治療するため、遠方からの通院された患者様

この写真の患者様は、高校3年生のときに、裏側矯正(舌側矯正)で治療する医院を探して、四国から神奈川県の当院まで初診カウンセリングを受けにこられました。治療期間中、大学進学してからは、山梨県から通院されました。担当医のしっかりとした治療計画と、患者様のご協力があれば、遠方からの矯正治療も可能です。

治療について(小臼歯の抜歯と裏側矯正)

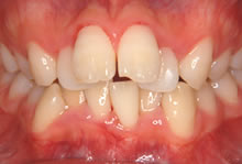
正面から見ると、歯がデコボコに生えています。特に下顎の前歯は大きく乱れています。また、上顎のお口の中(口蓋)を撮影した写真を見ると、前歯が突き出ているのがわかります。精密検査の結果、上下の小臼歯を抜歯して治療する計画を立てました。

治療後

治療前後の比較 (口蓋・舌側)

治療前後の比較 (口蓋・舌側)

治療後の写真です。治療前と比較すると、前歯が内側に入り、デコボコだった歯列がきれいに並んでいます。

治療前後の比較 (正面・側方)

治療前後の比較 (正面・側方)

下は、正面と横から撮影した写真の比較です。正面から撮影した写真を見ると、前歯の真ん中(正中)が上下一致して、かみ合わせも改善されています。治療前と比べて全体的に引き締まった口元になり、笑顔がもっと素敵になりました。


※治療効果は、患者様によって個人差があります。

あわせて読みたい記事

メディア運用会社について

メディカルネット

株式会社メディカルネット(東証グロース上場)は、より良い歯科医療環境の実現を目指し、インターネットを活用したサービスの提供にとどまらず、歯科医療を取り巻く全ての需要に対して課題解決を行っています。

当サイト「矯正歯科ネット」を通して生活者に有益な医療情報を歯科治療の「理解」と「普及」をテーマに、自分に最適な歯科医院についての情報や、歯の基礎知識、矯正歯科などの専門治療の説明など、生活者にとって有益な情報の提供を目指しています。

矯正歯科歯科医院を探すなら「矯正歯科ネット」

矯正歯科治療を行なっている歯科医院を、全国から簡単に検索できます。お近くの矯正歯科歯科医院をお探しの場合にもぜひご活用ください。